后纵隔髓外造血(extramedullary hematopoiesis)CT病例描述中英文对照

已有 3166 次阅读2019-7-19 17:30 |个人分类:医学影像|系统分类:医学科学| 髓外造血

  后纵隔髓外造血(extramedullary hematopoiesis)CT病例描述中英文对照

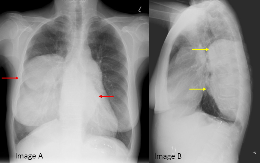
  The frontal chest radiograph shows a lobulated soft tissue masses (image A, red arrow), much greater on the right. The lateral radiograph localizes the mass to the posterior mediastinum (image B, yellow arrows).

  正位胸部X线片显示分叶状软组织肿块(图A,红色箭头),右侧较大。 侧位X线片显示肿块位于后纵隔(图B,黄色箭头)。

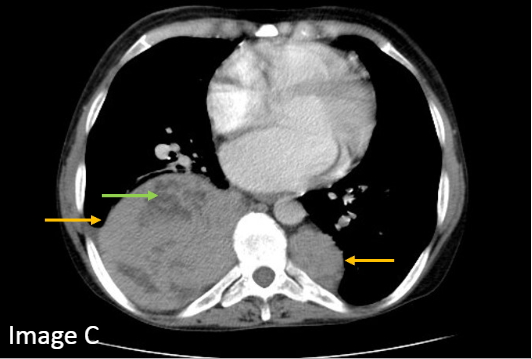
  Axial CT in this patient with a history of splenectomy, shows bilateral paraspinal masses with soft tissue attenuation (image C, orange arrows) that have hypoattenuation, likely representing central fatty change (image C, green arrow). Findings are consistent with extramedullary hematopoiesis.

  患者有脾切除史,横轴位CT显示双侧椎旁软组织密度肿块(图C,橙色箭头),其内可见散在低密度区,可能提示肿块中心脂肪变(图C,绿色箭头)。 影像表现符合髓外造血。

  讨论:髓外造血是一种多能干细胞异常增殖生成血细胞的方式,是骨髓造血功能不足的生理性补偿。地中海贫血、镰状细胞性贫血或遗传性球形红细胞增多症常并发髓外造血。而骨髓造血功能丧失是产生髓外造血的常见原因,如缺铁性贫血、恶性贫血或骨髓纤维化及白血病等。髓外造血多发生于肝脏和脾脏,而后纵隔是较为少见的部位。脊柱旁髓外造血在影像学上一般表现为后纵隔双侧多发瘤样肿块,单侧或单发罕见。

  后纵隔髓外造血易误诊为神经源性肿瘤。胸部MRI检查可见后纵隔脊柱旁多发丘型或类圆形病灶,一般无椎间孔扩大,邻近椎体或肋骨骨质无破坏。再结合患者一般存在地中海贫血或慢性贫血病史,可以与神经源性肿瘤区别。髓外造血是一种良性疾病,无并发症时,一般无需外科手术。瘤体组织对小剂量射线较为敏感,放疗能取得一定效果。

  在临床工作中对于后纵隔占位患者,特别是脊柱旁双侧多发瘤样肿块,应该引起重视。结合患者有无慢性造血功能障碍或慢性贫血病史,必要时请血液科会诊,排除髓外造血可能,避免不必要的手术治疗,具有重要意义。


路过

鸡蛋

鲜花

握手

雷人

评论 (0 个评论)

facelist

您需要登录后才可以评论 登录 | 注册

返回顶部