设为首页
收藏本站
切换到宽版
登录
注册
搜索
搜索
本版
帖子
用户
快捷导航
首页
科学资讯
SCI期刊
中文期刊
科学基金
科学笔记
科学群组
科学群组
科学文库
科学家园
科学图片
查询
AI助手
问卷调查
相册
Album
爱科学
»
文库
›
医学文库
›
医学技术
›
门静脉海绵样变性影像诊断详解
返回列表
查看:
10417
|
回复:
0
[腹盆]
门静脉海绵样变性影像诊断详解
[复制链接]
hyc3140
hyc3140
当前离线
积分
7078
864
主题
373
回帖
299
日志
荣誉会员
积分
7078
收听TA
发消息
发表于 2023-4-5 18:00:59
|
显示全部楼层
|
阅读模式
门静脉海绵样变性影像诊断详解
70岁女性,腹痛、黄疸就诊。
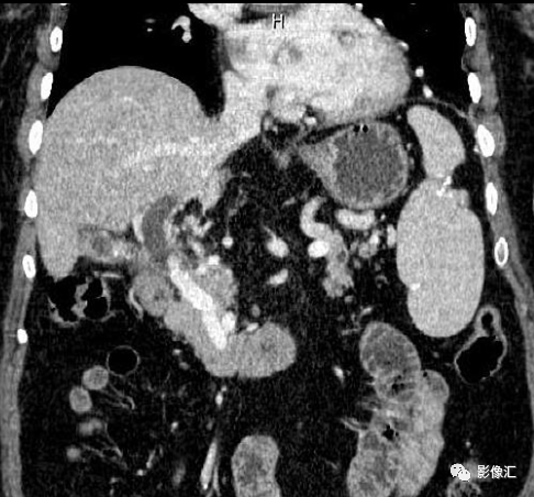
影像所见:胆囊已切除,肝内胆管和肝外胆管扩张,胆总管远端结石。门静脉区域可见多发迂曲血管丛结构,与门静脉海绵状变一致,迂曲的血管丛对胆总管局部造成压迫。脾脏增大,高度测量为 158 毫米。
病例结果:门静脉海绵样变性
门静脉海绵样变性
临床概述:门静脉海绵样变是指门静脉主干或其分支完全或部分阻塞后,其周围形成侧支或阻塞后的再通,是机体为保证肝脏血流量和肝功能正常的代偿性病变。病因分为原发性和继发性,原发性CTPV多见于小儿,主要多见于门静脉先天性发育异常,如门静脉先天性缺失、狭窄或闭锁;继发性CTPV多见于成年人,主要是由各种原因造成的门静脉完全或部分闭塞引起,如门静脉栓塞、门静脉分流术、凝血机制异常等。
门静脉解剖学特点:①门静脉始末两端为毛细血管,使得各种栓子易于在门静脉停留。②门静脉与机体其他部位的静脉不同之处是缺少静脉瓣,栓子一旦形成,可迅速蔓延至整个门静脉的分支、属支。③在肝门区有1/4的门静脉管壁薄、弹性差,易形成血栓。
(一)门静脉海绵样变直接征象动态增强CT扫描门静脉期,于肝门区门静脉主干周围及肝内门静脉左、右支周围见大量迂曲、扩张的静脉血管丛为诊断门静脉海绵样变的最直接征象(图1A)。正常情况下,门静脉周围仅见肝固有动脉伴行,极少数可见胃右动脉或胆囊动脉显影或存在解剖变异,故通常以门静脉周围出现多于3个血管断面作为侧支循环开放标准。门静脉海绵样变患者肝门区正常门静脉结构消失(图1),或见门静脉管腔内充盈缺损影(癌栓或血栓)(图2,3),门静脉周围开放的侧支静脉迂曲、扩张,呈结节或团块状表现,直径不一,而且在静脉期明显强化;肝裂内,门静脉左、右分支明显变细或显示不清,周围亦见多发的蜂窝状侧支血管,向肝门区延续并逐渐增粗,呈海绵状改变,为门静脉海绵样变典型表现。
识别向肝性和离肝性侧支静脉对于正确评价门静脉海绵样变患者病情和估计预后具有重要意义。根据多层螺旋CT检查中侧支静脉部位及走行,可以判断侧支静脉来源。胆囊静脉与胆管周围静脉丛相交通,沿胆囊管达胆囊,汇入胆囊周围静脉,引流门静脉血进入门静脉右支的肝内分支,并使胆囊壁呈锯齿状明显强化(图4)。
胆管周围静脉丛由许多细小的静脉血管组成,起自胰十二指肠后上静脉、幽门十二指肠静脉或门静脉主干,表现为胆总管周围扩张、迂曲的静脉血管网,与胆囊静脉、胆囊周围静脉合称为胆囊静脉系,沿胆总管壁、门静脉主干周围呈蔓状向上延伸(图3,5)。胰十二指肠后上静脉在扩张状态下显示为位于胆总管与十二指肠降段之间、胰十二指肠沟内增粗的圆点状强化血管影(图4,5)。此三组侧支静脉为向肝性侧支循环的主要内容,是门静脉海绵样变与其他原因所致门静脉高压鉴别的特征性表现。离肝性侧支静脉见于各种原因所致的肝源性(如肝硬化)和肝外性(如门静脉栓塞)门静脉高压患者,表现没有特征性,其中以食管下段、胃底静脉的曲张情况最为重要,是导致上消化道出血的主要原因。
食管及胃底黏膜下的静脉曲张表现为黏膜下凸向腔内的团状或结节状软组织,位置表浅;动态增强CT扫描门静脉期显示明显血管性强化。这组侧支,出血风险大。严重者适当釆取预防性硬化治疗或栓塞治疗,能够有效避免致命性的上消化道出血。食管周围及胃底周围静脉曲张,表现为局部软组织影;动态增强CT扫描显示管腔外迂曲扩张的强化血管影(图4)。出血风险相对较小,但常与黏膜下静脉丛相交通,是引起食管胃底静脉曲张硬化治疗后再出血的潜在原因。此外,胃左、胃右静脉、脐旁静脉、膈下静脉、心包-膈静脉、胃肾静脉分流等均为常见的门-体分流静脉,提示门静脉高压导致离肝性门静脉循环的存在(图4)。
(二)肝脏表现原发性门静脉海绵样变患者肝脏形态多数正常。继发性门静脉海绵样变患者,根据其原发疾病不同,可有相应表现,肝硬化、肝癌、腹水、脾大常见。部分继发性门静脉海绵样变患者,肝脏中心部分体积增大,周围部分萎缩,表现为尾状叶增大,方叶正常或增大,左外侧叶及右叶萎缩,可能为门静脉阻塞后肝脏外周带血供不足发生萎缩,中央带由门静脉海绵样变侧支血管供血,发生代偿性肥大所致(图1)。
由于存在肝脏血流动力学异常,动态增强CT扫描检查中,门静脉海绵样变患者肝实质异常灌注常见,通常表现为动脉期远离肝门的外周带肝组织带状强化,而在门静脉期整个肝脏呈均匀等密度(图6)。此征象的出现与门静脉阻塞时,门静脉海绵样变侧支血管代偿性供应中央带肝组织,而周围带肝组织门静脉血供减少,引起代偿性肝动脉供血增加有关。此征象缺乏特异性,在各种原因引起的门静脉阻塞患者中均可见到。
(三)胆胰管继发性病变由于胆管周围静脉迂曲、扩张,门静脉海绵样变患者胆总管不规则受压、变窄常见,可呈波浪状或结节状外观。ERCP造影表现为胆管无规律、多发小结节状的外压性缺损,称为“假性胆管癌征”(pseudocholangiocarcinoma sign)。多层螺旋CT动态增强扫描门静脉期薄层图像可见强化的胆囊静脉和胆管周围静脉丛紧贴胆总管和胆囊壁外缘,压迫管壁造成波浪状或局限性凹陷,局部管腔狭窄,其上方胆总管、肝门区胆管及肝内胆管轻度扩张(图5)。伴有继发性胆管周围纤维化改变时,还可见胆管壁不规则增厚,范围较广,可与胆管癌鉴别。胰十二指肠后上静脉曲张还可压迫胰管造成胰管扩张(图7),发生率约占门静脉海绵样变患者的85%。
影像:
①门静脉走行区结构紊乱,正常门静脉系统结构消失:增强扫描动脉期门静脉周边区出现短暂的、杂乱的、迂曲的丛状血管影,门静脉期可见扩张的门静脉内低密度栓子周围侧支血管形成,表现为管样或迂曲窦隙样网状管样结构。
②肝实质灌注异常:在动脉期,对比剂在正常肝实质周边部聚集,形成高密度带状影,而在门静脉期正常肝脏呈均匀等密度影。
③伴门静脉高压患者可在冠状静脉、脐旁静脉、腹膜后腔、肝胃十二指肠韧带及胃底食管连接区见到迂曲扩张、匍行的侧支循环血管。
门静脉海绵样变性临床分型:
Ⅰ型:门静脉海绵样变,无症状,无脾大
Ⅱ型:门静脉海绵样变局限于门静脉,伴有Banti综合征
Ⅲ型:波及大部分肠系膜上静脉及部分脾静脉
Ⅳ型:波及整个门静脉系统
再来一个课件学习一下,来源于东南大学附属中大医院放射科:
来源:影像汇、东南大学附属中大医院医学影像科
影像诊断
相关帖子
•
纵隔节细胞神经瘤的影像诊断、鉴别诊断
•
鞍区少见占位影像诊断思路
•
纤维命名相关骨肿瘤和肿瘤样病变的影像学鉴别诊断
•
肝脏囊性病变的诊断思路
•
肠系膜区实性病变的疾病谱及影像表现
•
椎间盘病变的影像诊断
•
多发性淋巴结增大的影像诊断思路
•
儿童后颅窝肿瘤的影像学诊断思路
•
女性盆腔囊性肿瘤性病变影像诊断
•
肝硬化背景下局灶良恶性病变影像诊断及鉴别
希望疫情早日结束!
回复
关闭延时
使用道具
举报
返回列表
高级模式
B
Color
Image
Link
Quote
Code
Smilies
您需要登录后才可以回帖
登录
|
注册
本版积分规则
发表回复
回帖并转播
回帖后跳转到最后一页
扫码关注爱科学公众号
快速回复
返回顶部
返回列表