查看: 8372|回复: 0

[骨肌] 纤维性肿瘤影像表现大全

[复制链接]

864

主题

373

回帖

299

日志

荣誉会员

积分
7094
QQ
发表于 2023-8-29 11:36:41 | 显示全部楼层 |阅读模式
1常见良性纤维性肿瘤
纤维组织肿瘤

  • 定义:起源于纤维组织的肿瘤称纤维组织肿瘤。主要由纤维母细胞/肌纤维母细胞肿瘤(fibroblastic/myofibroblastic tumours)及富含血管的胶原间质成分组成。
  • 好发部位:主要发生于肌肉、腱膜、筋膜而富于胶原纤维成分的纤维组织肿瘤,也可发生于小肠系膜, 结肠系膜、胃结肠韧带、大网膜及后腹膜等全身各个部位均可发病。
  • 临床表现:多数以局部肿块或局部压迫产生症状就诊;少数患者有局部疼痛、皮温增高等。


分类:按良恶性分类(2013WHO 组织学分类)。根据独特临床和组织学可分为:反应增生性病变,以结节性筋膜炎、增生性筋膜炎、肌纤维母细胞增生为代表;肿瘤性病变,良性纤维瘤、纤维组织细胞瘤、纤维瘤病及纤维肉瘤代表。

组织学分类

良性

1.结节性筋膜炎(nodular fasciitis)

2.增生性筋膜炎(proliferative fasciitis)

3.增生性肌炎(proliferative myositis)

4.骨化性肌炎(myositis ossificans)

5.纤维组织增生性纤维母细胞瘤(desmoplastic fibroblastoma)

6.指(趾)纤维骨性假瘤(fibro-osseous pseudotumour of digits)

7.缺血性筋膜炎(ischaemic fasciitis)

8.弹力纤维瘤(elastofibroma)

9.婴儿纤维性错构瘤(fibrous hamartoma of infancy)

10.颈纤维瘤病(fibromatosis colli)

11.幼年性透明性纤维瘤病(juvenile hyaline fibromatosis)

12.包涵体纤维瘤病(inclusion body fibromatosis)

13.腱鞘纤维瘤(fibroma of tendon sheath)

14.乳腺型肌纤维母细胞瘤(mammary-type myo fibroblastoma

15.钙化性腱膜纤维瘤(calcifying aponeurotic fibroma)

16.血管肌纤维母细胞瘤(angiomyo fibroblastoma)

17.细胞性血管纤维瘤(cellular angiofibroma)

18.项型纤维瘤      (nuchal-type fibroma)

19.Gardner 纤维瘤(Gardner fibroma)

20.钙化性纤维性肿瘤(calcifying fibrous tumour)



中间性(局部侵袭性)

1.掌/跖纤维瘤病(palmar/plantar fibromatoses)

2.韧带样型纤维瘤病(desmoid-type fibromatoses)

3.孤立性纤维性肿瘤(solitary fibrous tumour)

4.恶性孤立性纤维性肿瘤(solitary fibrous tumour,malignant)

5.脂肪纤维瘤病(lipofibromatosis)

6.巨细胞纤维母细胞瘤(giant cell fibroblastoma)

7.隆突性皮肤纤维肉瘤

8.纤维肉瘤样隆突性皮肤纤维肉瘤

9.色素性隆突性皮肤纤维肉瘤

10.炎性肌纤维母细胞性肿瘤(inammatory myofiboblastic tumour)

11.低级别肌纤维母细胞肉瘤(low grade myofibroblastic sarcoma)

13.粘液样炎性纤维母细胞肉瘤(myxoinflammatory fibroblastic sarcoma)

13.非典型性粘液样炎性纤维母细胞肿瘤(atipical myxoinflammatory fibroblastic tumor)



恶性

1.恶性纤维组织细胞瘤(malignant fibrous histiocytoma)

2.成人型纤维肉瘤(adult fibrosarcoma)

3.粘液纤维肉瘤(myxo-fibrosarcoma)

4.低级别纤维粘液样肉瘤(low grade fibromyxoid sarcoma)

5.透明性梭形细胞肿瘤(hyalinizing spindle cell tumour)

6.硬化性上皮样纤维肉瘤(sclerosing epithelioid fibrosarcoma


滑动查看更多


2影像学检查
X 线平片:可显示肿瘤所致局部软组织肿胀,瘤内钙化、骨化及其邻近骨质情况。

CT:可明确肿瘤部位、大小及与邻近组织关系,肿瘤内部结构(出血、坏死、囊变、钙化);但以上检查缺乏良好软组织分辨力。

超声检查:超声检查方便快捷,有较高软组织分辨力,可以显示肿瘤的边界、形态、内部性质等情况;另超声可以引导对肿瘤的穿刺或针吸活检。但难以显示肿瘤全貌,且受操作者经验影响

MRI 检查

  • 多参数多平面成像,能更好显示和检出病灶;
  • 与其它影像学检查有更好的软组织分辨力;
  • 可清楚的显示肿瘤的范围,肿瘤周围的水肿组织;
  • 可以了解到肿瘤内部结构,是否有出血、囊变及坏死,对恶性肿瘤还是良性肿瘤的鉴别诊断有帮助。
  • 还可以指导手术的设计,切除的范围;功能磁共振可对化疗、放疗后疗效早期评估。


深部或较大软组织肿瘤应以 MR 检查为主。



一、 结节性筋膜炎
是一种良性、成纤维细胞增殖性病变,病因不明,多认为是与外伤有关的反应性病变。
  • 多见于 20-40 岁。
  • 按部位可分为皮下型、肌间(筋膜)型和肌内型三种。
  • 病理上结节性筋膜炎分黏液型、细胞型和纤维型。
  • 临床表现:为单发、实性、快速生长的皮下或深部肌组织内结节,常伴疼痛和触痛
  • X/CT:表现均无特异性,主要表现为圆形及类圆形软组织肿块,实性多见,也可为囊性、囊实性,体积一般较小,边界清晰。
  • MRI: 表现为圆形及类圆形软组织肿块,信号特点与其组织成分密切相关。


1.     黏液型和细胞型:T1WI 呈等、稍高信号,T2WI 显著高信号。
2.     纤维型:T1WI、T2WI 都低于周围肌肉信号。
3.     混合型:T1WI 等稍低信号,T2WI 不均匀高信号及索条状低信号。
4.     增强:细胞型明显持续性强化;粘液型和纤维型强化不明显

173269423_1_20191015073619613.jpg
左肩三角肌内结节性筋膜炎
细胞型、肌肉。T2WI 示病灶呈不均匀高信号(白箭),中央可见条带状低信号纤维化(红箭);T1WI 示病灶呈等信号(白箭),中央可见条带状低信号纤维成分;增强扫描示病灶明显不均匀强化(箭),边界清晰,中央低信号强化不明显。


173269423_2_20191015073619691.jpg
粘液型结节性筋膜炎
T1WI:左前壁皮下稍高信号结节灶,无包膜,边界模糊。T2WI:皮下混杂高信号结节灶,内见条带状低信号(红箭),邻近筋膜与病灶关系密切、增厚。增强扫描显示病灶周边及邻近筋膜明显强化,可见「筋膜尾征」(蓝箭),病灶中央强化不明显。


鉴别诊断:
  • 神经鞘瘤:一般无疼痛;易出血、囊变。
  • 纤维肉瘤:易出血、坏死;瘤周水肿明显。
  • 纤维瘤病/侵袭性纤维瘤病:一般呈侵袭性生长;中央见长 T1 短 T2 信号胶原纤维。
  • 滑膜肉瘤:常见出血坏死、钙化。


173269423_3_20191015073619754.jpg
左侧前壁神经鞘瘤:出血、囊变,T2WI 可见液平。


173269423_4_20191015073619801.jpg
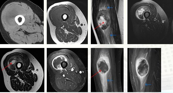
左上臂肱二头肌成人型纤维肉瘤。
CT 示边界不清低密度灶,内见小片状、索条样稍高密度(胶原纤维)。MRI 见沿肱二头走形软组织肿块,呈分叶状,边界不清,信号不均,内见低信号分隔,瘤周水肿明显;T1WI 呈稍高信号,无包膜,与邻近肌肉分界不清,内见小斑片状高信号(白箭);T2WI 及脂肪抑制序列肿块呈不均高信号,见片状稍信号区;增强后病灶明显不均匀强化,见小斑片状无强化区,内部低信号分隔未见明确强化。(病理:成人型纤维肉瘤,部分细胞丰富)


173269423_5_20191015073619863.jpg
左侧臀部侵袭性纤维瘤:T2WI 呈稍高信号,中央见索条状低信号 (胶原纤维);增强 COR 示病灶沿肌肉走形方向生长与臀部肌肉分界不清;除中央胶原纤维成分外其余明显强化;瘤周无水肿。


二、 非骨化性纤维瘤/骨纤维组织细胞瘤
非骨化性纤维瘤 (纤维骨皮质缺损):
骨纤维组织细胞瘤:
非骨化性纤维瘤 (纤维骨皮质缺损):

  • 镜下主要由良性纤维组织增生性纤维母细胞瘤组成。
  • 好发于 10-20 青少年,多位于四肢干骺端,但不侵及骨骺线。
  • 病因不明,一些学者认为由局限性纤维骨皮质缺损发展而来,纤维骨皮质缺损未能自愈,膨入髓腔。
  • 临床一般无症状。


骨纤维组织细胞瘤:

  • 镜下主要由增生性纤维母细胞瘤和组织细胞组成。
  • 20-60 岁,多位于四肢干骺端,向骨干髓腔内生长。
  • 因组织学与非骨化性纤维瘤无法区别,病理学一些学者认为是非骨化性纤维瘤成熟型。
  • 临床常表现为疼痛,活动后或夜间加重。


X/CT:

  • 干骺端圆形、类圆形或多房样异常低密度区,多为偏心性。
  • 轻度膨胀性生长,边缘清晰锐利,有硬化缘。
  • 可形成髓腔软组织肿块,可突破骨皮质形成局部软组织肿块。
  • 密度均匀,无钙化。
  • 病灶的长轴与骨的长轴一致。


MRI:因组成成分比例不同,信号有差异。

  • T1WI 一般呈等稍低信号。
  • T2WI 呈均匀或不均匀高信号,内可见低信号纤维成分;周边可见低信号硬化缘。
  • 增强后病灶明显持续性强化,纤维成分强化不明显。
  • 可合并动脉瘤样骨囊肿或病理性骨折。


173269423_6_20191015073619926.jpg
右股骨远端纤维骨皮质缺损
15 岁,男。右侧股骨远端骨皮质局限性低密度区,骨皮质轻度膨胀,病灶向髓腔内突,周边见硬化缘,骨皮质未见中断,病灶长轴与骨干方向一致。


173269423_7_20191015073619988.jpg
右股骨远端纤维骨皮质缺损
T1WI 右侧股骨远端后方骨皮质内低信号软组织影,,周围见完整硬化缘(黑箭);T2WI 见不均匀高信号,内见条带样低信号(绿箭);增强后病灶明显显强化,中央纤维成分强化不明显。


173269423_8_2019101507362019.jpg
左腓骨非骨化性纤维瘤
左侧腓骨中上段髓腔内轻度膨胀性低密度区,骨皮质变薄,周围见硬化缘,骨皮质未见中断;CT 示髓腔内脂肪被软组织密度影取代。


173269423_9_2019101507362066.jpg
腓骨非骨化性纤维瘤
腓骨中上段异常信号灶,T1WI 呈等信号,中央见更低信号;T2WI 及脂肪抑制序列呈不均匀高信号,中央见条带样低信号;增强后病灶明显不均持续性渐进强化,中心低信号区延迟渐进轻度强化。

173269423_10_20191015073620129.jpg
尺骨良性纤维组织细胞瘤
病灶与 X/CT 相似,病变累及髓腔范围广,与骨干长轴一致。T1WI 呈稍高信号,中央见条片状低信号(蓝箭);T2WI FS 呈高信号呈明显高信号,中央见条片状低信号;增强后病灶明显强化,中央低信号区强化不明显(代表纤维化成分)。


鉴别诊断:骨巨细胞瘤

  • 好发 20-40 岁;
  • 长骨骨端;横向生长为主;膨胀性生长;
  • 周围无硬化缘;
  • 易出血坏死、囊变,可见含铁血黄素沉着。
  • 无钙化或骨化
  • 65% 富血供,血供多少与肿瘤良恶性关系不大

173269423_11_20191015073620191.jpg
男,35 岁,骨巨细胞瘤


三、纤维瘤病
纤维瘤病:是一种起源于肌肉、筋膜或腱膜结缔组织的软组织肿瘤,具有良性肿瘤的组织学表现,呈侵袭性生长。
  • 又称侵袭性纤维瘤病、韧带样纤维瘤、硬纤维瘤。
    无包膜,组织学特征是成纤维细胞和肌纤维母细胞增殖、富含血管间质及胶原纤维。
  • 好发 30-40 岁,男女比 1:2,占所有纤维性肿瘤的 3.5%。
  • 根据发病部位可分为腹内型、(50% ~ 60%),腹外型和腹壁型。
  • 常表现为无痛性肿块,可产生压迫症状;术后易复发,但不转移。


CT:

腹外型:常见骨肌系统,四肢及臀部多见。

平扫多为分叶状、不规则状稍低或等密度软组织肿块,无明确边界;增强后病灶呈持续、渐进强化,呈快进慢出,强化不均匀;肿块内可见索条状、裂隙样稍高密度,增强无明显强化。

腹壁型:主要累及腹壁肌肉。

位置表浅,病灶通常较小;圆形或类圆形等或稍低密度软组织肿块,密度均匀;增强后病灶轻度强化。

腹内型:主要累及肠系膜、腹膜后、盆腔及胃网膜韧带。平扫多为不均匀低密度灶,内常见更低密度区(黏液变);持续、渐进中度不均匀强化,低密度区不强化。MRI:

MRI 表现与 CT 相似,能更好显示病灶大小、形态及内部结构

  • 表现为浸润性生长,无包膜,境界不清,沿肌束或筋膜方向呈的「爪」样或「蟹足」样生长;部分可为膨胀性生长;
  • T1WI 呈等或稍高信号;T2WI 呈高信号,脂肪抑制序列呈明显高信号;病灶内可见裂隙样或条片状低信号区(与 CT 稍高密度相匹配);
  • 增强扫描与 CT 增强相似,呈快进慢出强化方式。


173269423_12_20191015073620238.jpg
腹壁侵袭性纤维瘤病
a、b 为同一病人,左侧髂腰肌旁稍低密度结节,膨胀性生长,密度均匀 CT 值约 30 hu(肌肉 38 HU),边界部分不清;增强后中度均匀强化,CT 值约 55 HU。
c 图示中下腹腹直肌梭性等密度软组织肿块,沿腹直肌匍匐性生长,边界不清。


173269423_13_20191015073620301.jpg
腹壁侵袭性纤维瘤病:起源于腹直肌筋膜
CT 示左侧腹直肌旁稍低密度梭性结节灶,与腹直肌分界不清。
MRI:T1WI 呈等信号,T2WI 呈高信号,增强后中度均匀强化,于腹直肌间无明确界限。起源于腹直肌筋膜。


173269423_14_20191015073620347.jpg
右小腿侵袭性纤维瘤病
中央瘢痕为胶原纤维;周边为肌纤维细胞/肌纤维母细胞。


鉴别诊断:

  • 纤维肉瘤:易出血、坏死;瘤周水肿明显。
  • 恶性纤维细胞瘤:老年人,边界不清、不规则软组织肿块;易出血、坏死;
  • 孤立性纤维瘤:边界清楚,包膜完整;可见明显不同密度、信号软组织成分;病灶内部或周边可见流空血管影;
  • 滑膜肉瘤:常见出血坏死、钙化。


173269423_15_20191015073620394.jpg
右股骨粘液样纤维肉瘤:不规则肿块,粘液湖,瘤周水肿
CT 示右侧骨四头肌中部类圆形低密度软组织肿块,密度不均,中央见更低密度区,邻近肌间隙变窄,肌肉受压推移,邻近骨质未见明确破坏。MRI 示右侧股四头肌中部类圆形软组织肿块;T1WI 呈等信号,可见假包膜形成;T2WI 呈不均匀稍高信号,中央见大片明显高信号(粘液变,红箭),沿肌肉走形肿块两端见大片异常高信号(瘤周水肿,蓝箭);增强后病灶实质部分明显强化,中央粘液区无强化,形成粘液湖征。(病理:纤维肉瘤,伴大片粘液变性,提示粘液样纤维肉瘤)。


173269423_16_20191015073620457.jpg
恶性孤立性纤维瘤:边界不清,血供丰富, 2 种成分
右足恶性孤立性纤维瘤术后 1 年复发。右足见不规则软组织肿块,呈分叶状,T2WI 不均匀高信号,可见 2 种明显不同信号(箭头所指),未见明确包膜;增强后中度-明显不均匀强化,明显强化区细胞丰富(T2WI 等稍高信号区);可见增强的血管影。


173269423_17_20191015073620519.jpg
肌肉恶性纤维组织细胞瘤: 分叶状,出血坏死,广泛浸润,周围大片水肿

原发于肌肉的 MFH。右大腿恶性纤维组织细胞瘤。病灶呈多结节样、分叶状;内见多发低信号分隔影;病灶内出血呈短 T1 长 T2(双高信号),病灶周围见片状水肿带。


四、 孤立性纤维瘤
孤立性纤维瘤:是起源于间充质梭形细胞的少见软组织肿瘤。2013WHO 将其归于纤维母细胞/ 肌纤维母细胞来源肿瘤的中间型。
  • 分为良性孤立性纤维瘤和恶性孤立性纤维瘤。
  • 约占软组织肿瘤 2%。
  • 多发生于胸膜,近些年其他部位亦见个例报道。


X/CT:
良性:圆形或类圆形等或略低密度软组织肿块, 密度相对均匀,边界清楚,包膜完整。
恶性:不规则软组织肿块,边界不清,密度不均,坏死、出血亦常见。恶性常累及邻近骨质结构。瘤内常见两种明显不同密度的软组织成分。

MRI:
T1WI 多呈等低或等信号;T2WI 信号变化多样, 可为高信号、略高信号和低信号区。部分较大病灶内部或周边可见流空血管影。动态增强多呈持续强化或进行性延迟强化。

173269423_18_20191015073620566.jpg
孤立性纤维瘤:粘液 细胞丰富区域,血管流空
CT 示骶前类圆形软组织肿块,边界清楚,密度欠均,见两种密度不同区,(红箭)粘液成分较多,(黑箭)细胞成分较致密。T1WI 呈等稍高信号,周边见完整包膜,内可见流空样低信号。T2WI 及脂肪抑制序列呈不均匀等-稍高信号及散在小斑片状高信号(粘液区与 CT 低密度区匹配)。增强后病灶明显不均匀强化,粘液区亦明显强化(说明 T2WI 高信号区不是坏死),可见散在强化的血管影。


173269423_19_20191015073620629.jpg
右髋臼恶性孤立性纤维瘤:瘤内出血坏死,周边增粗血管影,轻度膨胀性骨质破坏
右侧髋臼出巨大软组织肿块伴髋臼及耻骨轻度膨胀性骨质破坏,见部分硬化缘(红箭);软组织密度不均匀,呈等低混杂密度,内见斑片状状高密度及更低密度区;增强后实质部分明显强化(更低密度区未见强化,病理证实肿块内有出血、坏死),周边及内部可见增粗迂曲的血管影。


鉴别诊断:
  • 纤维肉瘤:边界不清;瘤周水肿明显;易出血、坏死;无血管流空。
  • 血管源性肿瘤:病灶内见迂曲的血管影;其内实质成分较少。
  • 滑膜肉瘤:边界不清软组织肿块;常见钙化;出血。


173269423_20_20191015073620676.jpg
滑膜肉瘤:斑点状钙化;坏死;轻度不均匀强化


173269423_21_20191015073620738.jpg
原发骨上皮样血管内皮瘤:溶骨性骨质破坏,边缘清晰,轻度硬化边,累及骨皮质及髓腔,无骨膜反应及软组织肿块,明显均匀强化。

希望疫情早日结束!
回复 关闭延时

使用道具 举报

您需要登录后才可以回帖 登录 | 注册  

本版积分规则

快速回复 返回顶部 返回列表