查看: 3849|回复: 0

[中枢神经] 环状侧脑室结节-见过就不会忘

[复制链接]

864

主题

373

回帖

299

日志

荣誉会员

积分
7094
QQ
发表于 2024-6-1 11:14:26 | 显示全部楼层 |阅读模式
环状侧脑室结节病例展示
男,49 岁,当地医院体检发现侧脑室壁结节,考虑占位,随来我院进一步检查,MR 如下图绿箭头所示。

67de3421fb674321bf1efe0fae7cdb6d.jpg
右侧侧脑室壁见结节样异常信号,T2WI 周围低信号,中心高信号,T1WI 呈周围等信号,中心低信号,FLAIR 呈高信号,DWI 及 ADC 图呈等信号。
高年资医生阅片之后告诉患者不要有任何担心,该吃吃该喝喝,并不是占位。
所以是什么呢?
环状侧脑室结节
环状侧脑室结节(Ring-shaped lateral ventricular nodules,RSLVN)往往是在接受颅脑 MR 检查患者偶然发现的,有研究发现 RSLVN 的患病率为 0.45%。RSLVN 无具体临床意义,最重要的一点是不要误认为是占位性病变或者结节性硬化的室管膜下结节。
RSLVN 病理
RSLVN 的病理:包括神经胶质/胶质室管膜囊肿、室管膜炎症或反应性形成、室管膜下静脉附近的星形胶质细胞增生反应等。‍‍
1b2db00b0eb7514755761445dcf6e26b.png
a 内镜下显示一个清晰、坚实的白色肿块突出到侧脑室。b-c 缺乏异型性的椭圆形细胞簇嵌在纤维背景中,微晶结构在中部突出。
MR 表现
MR 表现:表现为室管膜下单个或多个结节样信号,体积往往比较小,即使多个大小也相当。T1WI 表现为结节样等信号,中心呈低信号,T2WI 表现为等信号,中心高信号,FLAIR 呈稍高信号,增强扫描不会出现强化。
他山之石

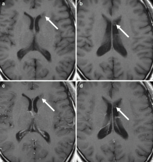
75c1babc3e7df12cc63063be4516899d.png
1 例多发的环状侧脑室结节

0fe8da3e0a5e9e1a6d27e928cefa1fd5.png
1 例单发的侧脑室环状结节

f5798921fb1772dec062a211972f9175.png
2 例单发侧脑室环状结节,增强检查均未见强化

来源:丁香园影像时间
作者:影像shine
参考文献
  • SHIMONO T, HOSONO M, ASHIKAGA R, et al. Ring-shaped lateral ventricular nodules: an incidental finding on brain magnetic resonance imaging.[J]. Neuroradiology,2009,51(3):145-150
  • Is This Truly A "Leave-Me-Alone" Lesion? An Unusual Case of Multiple Ring-shaped Lateral Ventricular Nodules[J]. World neurosurgery,2020,13632-36
  • NAKAJIMA,R., UCHINO,A., SAITO,N., et al. Ring-shaped lateral ventricular nodules detected with brain MR imaging[J]. Magnetic resonance in medical sciences: MRMS : an official journal of Japan Society of Magnetic Resonance in Medicine,2013,12(2):105-110


希望疫情早日结束!
回复 关闭延时

使用道具 举报

您需要登录后才可以回帖 登录 | 注册  

本版积分规则

快速回复 返回顶部 返回列表