查看: 3943|回复: 0

[心胸] 纵隔淋巴结分区速记

[复制链接]

864

主题

373

回帖

299

日志

荣誉会员

积分
7078
QQ
发表于 2024-6-15 23:41:49 | 显示全部楼层 |阅读模式
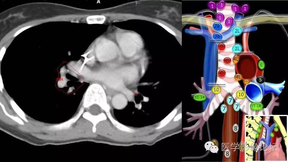
纵隔淋巴结分区速记口诀
f4847f564ec258113a9a31217bf92dcb.jpg

41713c0c6a95e203fb177984f82041e9.jpg


acf12a2e48f5da63b147dceb506ac270.jpg

a2198c36eb08116b35e7c73e8d15764e.jpg

f74275ec077b22b4c50275a9d0c0e76e.jpg

942b5e9d4865da5f77c8ab38406ba788.jpg

aa9b04641e9ccf2c784a7c33330b3f6f.jpg


ed8e34cffa4a3fc4fabf3980a27aa0f5.jpg

20153556215a5c9f2409229dd0f9e386.jpg

f9f244ed163aa2f72befc7342496fecf.jpg


749db0d1f2479532f792b711f3515abb.jpg

021a916a4b9c9b2c8e5ad8ae3c9c4564.jpg

c64841d97a0d28c17857b5c8a84abe8e.jpg

76a88f82725d3f06689ee63152203cd0.jpg

ef14945f7d1e88dfbbddcdb091ef2651.jpg

ef682d431e0555c95c43e89eeb45760d.jpg

4830fd916dfdfdecdbeb6b36ec846c47.jpg

4c288dbca18a46ce28bfac7094cad972.jpg

22e8e80190953ecf1b4d1ec761f2d115.jpg

a74acc7a8c177130aafa9d51dffc1380.jpg

546928cd4373c459d0c45b285a79fc8d.jpg

b8e1c7ec4af75874f339f6fed626a665.jpg

aa9e419407bacf303dcb523b13a34f39.jpg

2fce1f1245d77eeaeed4d8a0c5164f77.jpg

9d97e86917c1b4082676a9f73aff31ab.jpg

305e468a8779f2c0a5c0219468e44adf.jpg

319b52b868118bc58cbb1eb1b00b1d43.jpg

52a82d1c4ffcd3a905f9a14b39cf71bb.jpg

5a8195fb6e0ec77fe4daa2c7f6b61e84.jpg

9a491b6f7fb63cd129c109d8dc8e7a37.jpg

801028dcc924eff506797cdb426c1907.jpg

4169cf19f6a7d9186c5a2e54f8ab42e9.jpg

b1ecab058929969b0d2e560907c9eee7.jpg

693beeec566ad08f3be2b8a4dfebc626.jpg

bf4edd3f197192fd3f29c4ac6ac6a1bd.jpg

d4230f4df0eee7313d7f76f46a8509a1.jpg

973f41ce8d33510efb45a0f3511f1866.jpg

72c415cbac1fa56260b169d9ca0b71e4.jpg

6ea50e9a5879a53c45affca2c4c7f0c6.jpg

fb538c0f313f742405fb3bbfa23c03f5.jpg

7ac45ae0e4e19b53d2a8d5091a7c0883.jpg

cdd8aed8a7af2372bca39dcaa2350376.jpg

582a042ddd2f16db28dc1617fb724e58.jpg

175e49caee42d69898e82dbf28745ec4.jpg

b15cf16c541f103970d8ce4c639b1a5a.jpg

dc6fe6a4ab914342511e9d59c5ec59ee.jpg

572d39c5a65647281d65b5510d526acd.jpg

4c7da459cea1420c701ad3f811ceb33c.jpg

967ed369f38b6fee554d01223b04a773.jpg

57631631efe1be1d5a758db2be920bbf.jpg

b060463cb886ee6d3885e053af5de0ba.jpg

676a0aefaba0b02e136d122a35300cee.jpg

aae44d44a5344a2bc443a1227f1ea51b.jpg

f2fdee5ae70a8939d8324113a28db047.jpg
文章来源:医学影像论坛-END-
希望疫情早日结束!
回复 关闭延时

使用道具 举报

您需要登录后才可以回帖 登录 | 注册  

本版积分规则

快速回复 返回顶部 返回列表