查看: 2961|回复: 0

[心胸] 随机分布肺结节

[复制链接]

864

主题

373

回帖

299

日志

荣誉会员

积分
7094
QQ
发表于 2024-6-29 13:43:47 | 显示全部楼层 |阅读模式
随机分布肺结节也被称为粟粒性结节, 血行分布/播散是其特点。肺结节的分布特征决定其影像学鉴别诊断。因此,在进行肺结节的讲解时, 我们分为两方面进行:1. 肺结节分布特征识别;
2. 鉴别诊断。
从以上的叙述可以显而易见的发现, 肺结节分布特征识别至关重要, 因为一旦分布特征确定, 鉴别诊断的范畴也已经确定。
肺小结节的分布分三类:随机分布/粟粒状(血行)小叶中心(小气道或血管)和周围淋巴管分布。
小叶中心分布:病灶位于小叶中心, 无叶间裂/胸膜受累
c4231ebdcf46478c78a421d8af22f367.png
小叶中心分布肺结节彩图示意:白色球为肺结节。
周围淋巴管:倾向于沿叶间裂/胸膜和支气管血管束聚集/分布
44b1a74cb3a2171ea0d8729fca804844.png
周围淋巴分布结节彩图示意, 白色球示意肺结节。
随机(粟粒状):整个肺部均匀分布
    ○  叶间裂/胸膜分布可以发生, 但不具备聚集特点。也就是说, 随机分布结节的胸膜受累/分布不像周围淋巴分布结节那么明显

2c83c8787296f49a1673d08986fa5f89.png
随机分布结节彩图示意, 白色球为肺结节。
常见疾病鉴别诊断:1. 结核;2. 真菌感染;

结核随机/粟粒性结节的重要病因为结核;鉴于粟粒性结核的高死亡率,在确诊前开始经验性治疗是合理的;偶尔伴有坏死性纵隔淋巴结肿大。
ef4d4599c198373f641b9aa1ee6b53b6.png
粟粒性结核, 随机分布肺结节, 该病致死率高, 可以行经验性治疗。

真菌感染组织胞浆菌病:最常见的真菌感染常见于免疫功能低下患者慢性感染可能表现为钙化粟粒状结节
c1103ac85090fbe0607849962f8dbc6c.png
随机分布结节, 组织胞浆菌病感染。

ac530325f0d1ad382537b5aee81c3cc6.png
真菌感染患者, 随机分布结节在平片上往往有表现。但需要在 HRCT 上确认其分布特点/类型。

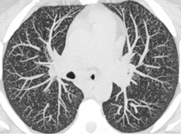
4e4eb9e4a330502e02ca9d2de2f8eed8.png
同一患者, CT 确认为随机分布结节。

37a9b02b72871c55ab3fdad17f0713b4.png
同一患者, 矢状面重建, 显示均匀分布结节。注意:结节没有融合趋势, 这是随机分布结节的特点, 有别于周围淋巴结节。
少见疾病鉴别:血行转移
血行转移已知恶性肿瘤病史
    ○ 肺癌:特别是如果存在EGFR突变
    ○ 甲状腺乳头状癌

9e8dc4165bcadfe7c19ac07f1a89e2e3.png
肺癌患者, 双肺血型播散结节, 右侧胸水。

885a0bfc30943430f18ec98365bbd605.png
同一患者, CT 显示随机分布肺结节, 右侧胸水。

f55b465f2bc2d8465502fa3fce4972d3.png
同一患者, 冠状面重建, 显示均匀分布的随机分布结节。

罕见疾病鉴别
粟粒性微结节的罕见原因通常是排除诊断良性转移性平滑肌瘤病
    ○ 更常见表现为离散的血行性肺部结节(即典型的血行转移)
    ○ 粟粒型罕见但有报道卡介苗牛分枝杆菌感染
    ○ 用膀胱内卡介苗(BCG:牛分枝杆菌)治疗膀胱癌
       * 接受治疗的患者出现粟粒状;在接受膀胱内 BCG 治疗的所有受试者中,约有 4% 发生这种情况
      * 通常需要开胸肺活检来确认结节病
    ○ 结节病可能模仿粟粒型,称为粟粒性结节病
      * 由于胸膜下间质受累不明显,没有出现裂隙结节
      * 分化可能具有挑战性,通常需要开放性肺活检

cc7c3b8a4b09742e2ee65487f432d493.png
以上是我的幻灯截屏, 便于大家记忆。

参考文献:
  • Kimmig L et al: Miliary nodules: not always tuberculosis. Ann Am Thorac Soc. 14(12):1858-60, 2017
  • Laack E et al: Miliary never-smoking adenocarcinoma of the lung: strong association with epidermal growth factor receptor exon 19 deletion. J Thorac Oncol. 6(1):199-202, 2011
  • Furqan M et al: Miliary pattern on chest radiography: TB or not TB? Mayo Clin Proc. 85(2):108, 2010
  • Raoof S et al: Pictorial essay: multinodular disease: a high-resolution CT scan diagnostic algorithm. Chest. 129(3):805-15, 2006
  • Gruden JF et al: Multinodular disease: anatomic localization at thin-section CT--multireader evaluation of a simple algorithm. Radiology. 210(3):711-20, 1999
  • Lee KS et al: Diffuse micronodular lung disease: HRCT and pathologic findings. J Comput Assist Tomogr. 23(1):99-106, 1999

主讲医生:张子曙教授
拥有美国USMLE医学执照,美国最高级放射学执照ABR。湖南省首位影像介入学博士;芬兰kuopio大学医学院博士后。具有20余年放射及介入学工作经历,包括10余年欧美工作经历。曾担任美国Wayne大学医学院放射学助理教授,美国密西根大学放射学助理教授,现任中南大学放射学教授。致力于美国医疗精准化、规范化理念体系的引入,希望对从事放射与介入的临床、教学及科研工作者带来帮助。


希望疫情早日结束!
回复 关闭延时

使用道具 举报

您需要登录后才可以回帖 登录 | 注册  

本版积分规则

快速回复 返回顶部 返回列表