查看: 4045|回复: 0

[腹盆] 溃疡性结肠炎、克罗恩病的影像图例及鉴别诊断

[复制链接]

864

主题

373

回帖

299

日志

荣誉会员

积分
7096
QQ
发表于 2024-7-20 18:09:43 | 显示全部楼层 |阅读模式
溃疡性结肠炎、克罗恩病的影像图例及鉴别诊断
炎症性肠病INFLAMMATORY BOWEL DISEASES
炎症性肠病(IBD)是指一组以肠道炎症为特征的疾病,有额外肠道表现和复发过程。溃疡性结肠炎(Ulcerative colitis,UC)和克罗恩病(Crohn’s disease,CD)是两种不同的特发性炎症性疾病,占了IBD的大多数病例。

UC是一种表浅炎症性疾病,特征是对称、均匀和连续,通常累及直肠,向近端延伸至整个结肠受累,产生全结肠炎。CD是一种肉芽肿病程,特点是透壁性和不连续性肠道炎症,常并发肠瘘和脓肿,可影响胃肠道的任何部位,从口至肛门,常涉及多个不连续段。80%为小肠受累,最常见于回肠末端。
溃疡性结肠炎ULCERATIVE COLITIS

7230532a5d9f1120d76393b32c584d45.png
溃疡性结肠炎,乙状结肠颗粒状黏膜

dd96553e76847abff3a4c133525da78e.png
溃疡性结肠炎,降结肠纽扣状溃疡

c7f8bb690407a27f0d8586eb3c9fd622.png
溃疡性结肠炎,弥漫性结肠受累伴溃疡、假性息肉和结肠袋运动特征消失

f506d616638dec5d26debff4ebbaebb9.png
全结肠炎,结肠狭窄和缩短

496a25cb66dfb937e7cfa2943b85ada8.png
溃疡性结肠炎逐渐好转,可发展为多发炎症性肠息肉,代表局部急性炎症后残留的肉芽组织

4a8af164c81287d7b2e6d9bd0af8bdd4.png
溃疡性结肠炎,CT增强显示升/降结肠轻度对称性壁增厚

073f93f7e00ef42aea8389cbbb1671e7.png
活动性溃疡性结肠炎,PET显示直肠、乙状结肠和降结肠高代谢

95d5e7048e1ebfcd41b03ba1375a7789.png
纽扣状溃疡可见于:溃疡性结肠炎、阿米巴结肠炎、克罗恩病、缺血性结肠炎、肠结核细菌性痢疾
克罗恩病CROHN’S DISEASE

4f60eedbcd3bff7bb1f4e3d05246c4e5.png
回肠末段匐行性溃疡

ab3cd6d152d72026b5ec04dd27630c46.png
回肠末段裂隙状溃疡

f1c27c0daf229a629e1ae2181b8f70f4.png
回肠长段的“鹅卵石征”,回盲部未受累 (箭头)

37089a298942c9f66109319d94d7162b.png
多发性偏心狭窄伴其间局限性扩张

4c21e5815af3c229129986ea77d96158.png
肠腔不对称狭窄,肠系膜对侧缘假囊袋形成

0bda0c9a8a1d23f63039d893f7fc0b15.png
回肠局限性穿孔 (箭头)

cfde66946d7005b32c49dfbb76e556f4.png
回肠不对称性壁增厚,假囊袋形成。

1ff84d03f9b5408f24b4a57819475761.png
回肠跳跃性病变,壁增厚并强化,回盲部未受累

998694194e2eb182f0719a4f4c6118c6.png
肠系膜血管充血,肠系膜纤维脂肪增生,多发增大淋巴结

eb074e1646d76ce5eb5b00de8893132f.png

238c750e39836c0ef434999d06144488.png
回肠袢多发瘘管形成,并膀胱右外侧壁炎性软组织密度灶,造影证实回肠-膀胱瘘(箭头)

36c8129edae0ce6816993d345efbd926.png
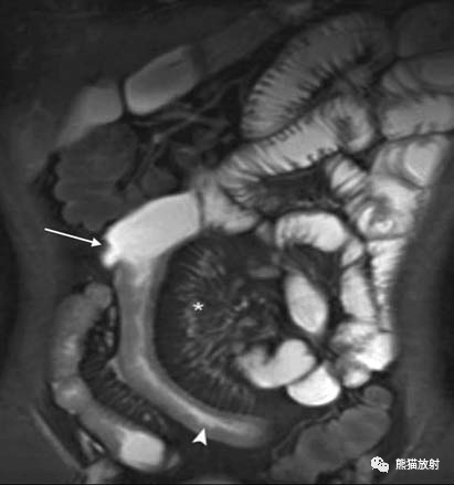
MRI显示肠系膜血管充血呈梳状征(*),小肠壁增厚(箭头)和溃疡(箭头)

d806fbc2c9474aaed7832ddce8af1fdb.png
结肠克罗恩病,鹅口疮样溃疡:溃疡处钡剂点状聚集,周围透光性晕样水肿

c6df99f7ea21de5286898f3b73c434a8.png
随着疾病的进展,鹅口疮样溃疡扩大并合并,形成线样溃疡跳跃式受累导致节段性结肠炎

779b4af2292ac2e7b5d1eb4cbb9bab20.png
结肠克罗恩病,鹅卵石征。疾病进展可能形成鹅卵石样外观,纵向溃疡被残留区域的粘膜水肿分隔所致

0b3221b30784225117857ebb78c19d80.png

溃疡性结肠炎和克罗恩病的影像表现对比
累及部位
UC:结直肠
CD:消化道任何部位
累及程度
UC:弥漫
CD:段性、跳跃性
小肠受累
UC:反流性回肠炎
CD:常见
消化道钡餐检查
UC:黏膜颗粒状、息肉常见、鹅卵石征不常见、拇指印征不常见、穿孔/肠瘘罕见、恶变风险高
CD:黏膜光滑、息肉不常见、鹅卵石征常见、拇指印征不常见、穿孔/肠瘘很常见、恶变风险低
超声检查
UC:肠壁中度增厚、低回声、肠壁解剖分层仍保持
CD:肠壁明显增厚、低回声、肠壁解剖分层完全消失
CT扫描
UC:肠壁分层结构可见、中度增厚、密度不均匀、肠系膜不受累
CD:肠壁分层急性期有而慢性期无、壁明显增厚、慢性期密度均匀、肠系膜血管增多并纤维脂肪增生

33d0e9443dcd6e42993c03a98176abd8.png

197f7d630efe0f10ca8d07410d727f09.png
肠结核与克罗恩病的影像表现对比(消化道钡餐检查及CT表现)
消化道钡餐检查(狭窄、溃疡、并发症)
IT:肠腔狭窄处短、向心性、轮廓光滑、近侧肠腔明显扩张;纵行溃疡(大于CD的类圆形溃疡);并发症里肠结石多见,穿孔、肠瘘罕见,无癌变
CD:肠腔偏心性狭窄(不对称受累)、近侧肠腔无明显扩张;鹅口疮样溃疡、节段性受累;并发症里肠结石罕见,穿孔、肠瘘及癌变较常见
CT扫描
IT:肠壁增厚并分层表现消失、肠腔向心性狭窄、肠系膜纤维脂肪增生非常罕见、肠系膜炎症但无血管充血、淋巴结增大并密度减低/环形强化、可见较高密度腹水
CD:肠壁增厚、急性期肠壁分层结构可见、肠腔偏心性狭窄、肠系膜纤维脂肪增生、肠系膜血管充血(梳征)、淋巴结轻度增大、可见脓肿形成
以上内容译自:《Diagnostic Radiology:Gastrointestinal and Hepatobiliary Imaging》
来源:熊猫放射

希望疫情早日结束!
回复 关闭延时

使用道具 举报

您需要登录后才可以回帖 登录 | 注册  

本版积分规则

快速回复 返回顶部 返回列表