查看: 3830|回复: 0

[腹盆] Radiographics:脾病变放射诊断-病理相关性

[复制链接]

864

主题

373

回帖

299

日志

荣誉会员

积分
7078
QQ
发表于 2024-7-20 19:19:37 | 显示全部楼层 |阅读模式
Radiographics:脾病变放射诊断-病理相关性
d3d1e95f188bd9437ceaf5f13fff79cc.png
孤立性囊性病变
上皮囊肿:边界清楚、单房、壁菲薄、钙化罕见、无强化、内含单纯至复杂的液体;壁光滑、纤维小梁、内衬上皮细胞、内容物为浆液或浑浊粘稠
假性囊肿:边界清楚、单房、壁厚进行强化、可见钙化、含铁血黄素(T2低信号)、内含单纯至轻度复杂的液体;无内衬上皮、厚的纤维壁包裹、含铁血黄素或胆固醇,内容物为血液、坏死物
包虫囊肿:边界清楚、单房>>多房、子囊、浓缩母体基质(无强化、高密度、T1高信号);外周致密纤维囊,可有钙化、层状纤维膜、内生发层组成子囊

多发性囊性病变
感染性:真菌或分枝杆菌(多发微小液性病变、低密度)、US靶征、MRI炎性边缘含铁巨噬细胞呈T1/T2较低信号、经治疗的亚急性或慢性病变边缘环形强化、经治疗的病灶可见钙化、化脓性(单发/少量、可见气体、边缘强化);化脓性(孤立性、较大)、真菌或分枝杆菌(多发、微小)、不规则厚壁、白细胞浸润淋巴管瘤:边界清楚的薄壁多房囊性结构、干预性纤维基质或瘢痕可进行性强化、锯齿状边缘;薄壁囊肿、内容物为淋巴样液体、基质为平滑肌,可有钙化、中心瘢痕、D2-40抗体阳性

孤立性脾囊肿几乎总是良性的,通常分为寄生性或非寄生性;然后,非寄生性囊肿被细分为原发性真性囊肿或继发性假性囊肿,根据是否存在上皮衬里来确定。继发性囊肿更常见,也称为非胰腺假性囊肿,与创伤有关,包括出血、梗死或炎症(表1)。
715f1b8962678368bf2bef95cb2456b5.png
表1:囊性脾病变-关键放射学和病理学特征,按数量上皮囊肿临床特征:
上皮囊肿,也称为真性囊肿或表皮样囊肿,是先天性非肿瘤性病变,最常见于儿童和年轻成人人群,好发于女性。上皮囊肿很少见,据报道患病率为0.07%,上皮囊肿的检出率正在增加。症状与囊肿的大小相关;许多患者无症状,个别患者则表现为脾肿大或左上腹疼痛。发病机制尚不清楚,但支持先天性间皮内陷、内胚层包涵体和获得性亚临床创伤伴间皮移位的理论。在大囊肿患者中,已注意到CA19-9和癌胚抗原(CEA)水平升高。
病理特征—较大上皮囊肿具有光滑囊壁,内部有粗大的纤维小梁。液体内容物可以是稀薄浆液性的或浑浊粘稠状。在组织学上,囊肿壁由纤维组织和上皮衬里组成,前者可能含有钙化,后者由分层的鳞状、柱状或立方体(间皮)上皮组成。免疫组化将显示对细胞角蛋白(上皮标志物)或钙结合蛋白(间皮标志物)的反应性。
e30979add70ce9132908e29c466a2c46.png
图2.28岁女性上皮囊肿伴左上腹疼痛。(A)大体标本显示光滑的囊壁(弯曲的箭头)和厚的小梁隔(直箭头)。(B)显微照片显示囊肿的淡染的上皮细胞衬里(箭头)。注意正常的脾脏有红髓(R)和白髓(W)。*=囊肿管腔。(C)脾脏超声显示孤立的、薄壁的、单房的、低回声的囊性病变,伴有低水平回声(*)和薄的外周隔膜(箭头)。S=正常脾脏。(D)在增强CT上,囊肿边界清晰,有一层菲薄囊壁(箭头)和均匀的液体密度(*)。(E)T2囊肿边界清晰且壁薄(箭头),具有均匀的高信号(*)。
影像学特征—上皮囊肿是孤立的、单房的、充满液体的囊肿,在所有成像方式下。超声和MRI显示,当囊肿含有胆固醇晶体或出血时,内部内容物比单纯液体更复杂。与囊肿内容物相比,超声和MRI分别显示小梁为高回声带或T2低信号带。囊肿壁难以发现或较薄;钙化不常见,更可能见于假性囊肿。没有对比增强。

假性囊肿
临床特征—非胰腺假性囊肿是继发性假性囊肿的另一种说法,是最常见的非寄生虫性脾脏囊肿,由创伤后血肿或梗死的液化引起。在极少数情况下,假性囊肿由溶解消退的脓肿引起。大多数是偶然发现的,尽管大的假性囊肿患者可表现为左上腹疼痛或饱胀感。

病理特征—大多数假性囊肿是单房的,含有浑浊的液体。内表面粗糙且出血。根据定义,没有上皮衬里;壁由致密的纤维组织组成,其中可能含有钙化、含铁血黄素或胆固醇结晶。在组织学上,内部内容物由血液和坏死碎片组成。可以进行全细胞角蛋白的免疫组织化学检查,以确认上皮衬里的缺失。
f43fe2bcfc54eaf92385c18ab62d91ca.png
图3.67岁男性的假性囊肿。(A)大体标本显示,厚层的纤维壁周围有钙化物(箭头)。(B)壁的显微照片显示显著纤维化和炎性浸润(*),而没有真正的上皮衬里(箭头)。(C)增强CT清晰显示钙化(箭头);假性囊肿是单房的,含有异质的、大部分是低密度的液体,没有增强(*)。T1(D)和T2(E)上,假性囊肿含有混合信号的蛋白质或出血性物质(*)。厚壁(箭头)具有低信号,对应于钙化。
影像学特征—脾假性囊肿的多模态成像反映了其复杂的病理改变,具有较厚的纤维壁、内部碎屑和分隔。厚厚的纤维壁经常含有钙化。大多数假性囊肿是单房的,复杂的内内容物在超声下表现为内部回声碎屑,在MRI下表现为可变的T1信号。假性囊肿通常在CT上有液体密度,超声、CT和MRI可见薄层分隔。

寄生虫性(棘球蚴)囊肿临床特征—包虫囊肿是最常见的寄生性脾囊肿,由细粒棘球蚴引起。其他棘球绦虫很少引起人类感染。包虫病好发于南美洲、地中海地区、中东、非洲和澳大利亚不发达国家。虽然大多数包虫病累及肝脏,但也可能发生脾脏受累;报告的患病率为0.9%—8%。脾棘球蚴囊肿是通过破裂的肝棘球蚴囊肿的全身播散或腹膜内播散而形成的。患者可能出现无症状、腹痛、脾肿大或发热。病理特征—与细粒棘球蚴相关的包虫囊肿通常形成单房囊肿;罕见的种类,如多房棘球绦虫和沃格利棘球绦虫,形成多房囊肿。包虫囊肿由外层纤维层压脱细胞膜组成,内层由子囊肿组成的内生发层组成,包虫囊肿可能被外层致密纤维囊周层包围,常伴有钙化。包虫囊肿液为透明或淡黄色。当存在子囊肿类似于一串葡萄。幼虫口部的头节是组织学诊断证据。
a10a54ff32e04f3953293c31a20250ab.png
图4.38岁女性棘球蚴囊肿。(A)大体标本显示一个单房囊肿,含有多个子囊肿(*),脾脏(S)呈“葡萄串”外观。(B)增强CT显示一个边界清晰单房囊肿,包含多个外周低密度子囊肿(*),由相对高密度的碎片(箭头)分隔,也称为包虫沙或凝结浓缩的母体液。这种液体不会增强,这有助于区分棘球蚴囊肿和分隔型多房囊肿。S=正常增强脾脏。
391bdea33eb2dc86a9df50a8b40c9f75.png
影像学特征—通常为孤立性,根据囊肿的复杂性,包虫囊肿多模态影像学表现多样性:1型为无内部结构的简单囊肿,2型为子囊肿和母体基质浓缩,3型有壁钙化,4型有并发症特征,如破裂或重叠感染。50%–90%的病例由于寄生膜老化和退化而发生破裂。多发性囊性肿块许多多发性囊性肿块患者有症状或临床怀疑患有脾疾病。细菌性和真菌性脾脓肿可见于免疫抑制患者,也可见于外伤或栓子形成后。虽然淋巴管瘤可表现为孤立性囊性病变,但更常见于多发性或弥漫性(表1)。

感染性病变临床特征—脾脓肿可以是细菌性、分枝杆菌性或真菌性,可由血行播散、直接扩展、外伤后遗症或既往梗死引起。

细菌性脓肿的常见病因包括心内膜炎、肺炎、胃肠道穿孔或动静脉畸形。最常见的细菌微生物包括大肠杆菌、葡萄球菌、链球菌和沙门氏菌。结核分枝杆菌肉芽肿性感染可由于血源性播散性粟粒性播散导致脓肿。真菌性微脓肿通常发生在长期中性粒细胞减少症患者中。诱发因素包括HIV感染、化疗、器官移植免疫抑制或免疫缺陷导致的免疫功能低下。最常见的真菌病原体是念珠菌、曲霉菌和隐球菌。临床上患者表现为发热、腹痛、寒战、全身症状,有时还会出现感染性休克。

病理特征—脓肿是孤立的或多发的、大小不一的、红黄色的圆形囊性病变;化脓性脓肿通常比真菌性或分枝杆菌微脓肿大。分枝杆菌结节可能含有干酪状区域,为质软苍白色物质。脓肿壁厚且不规则。感染性病原体通常诱发急性炎症反应,在组织病理学上表现为局灶性或弥漫性白细胞浸润伴大面积坏死。真菌性脓肿具有特征性的微观外观,中央坏死菌丝周围有活菌丝,外周炎性浸润边缘。通过培养和使用特殊染色剂来鉴定特定的微生物学。
a46a78117ae181cce1226b4dcd95e00e.png
影像学特征—由于存在脓液、出血或碎屑,脓肿具有边界不清的不规则边缘和中央复杂的液体成分。脾性化脓肿可以是单发性的,也可以是多发性的。气体US表现为高回声病灶,伴有“脏”的声学阴影,CT显示最好。

真菌性和分枝杆菌微脓肿通常是多发性的。超声表现的真菌性脓肿与组织学表现相关,坏死菌丝的中央低回声病灶周围有高回声同心带(活的真菌成分),周围被低回声边缘(炎症区)包裹,具有所谓的靶标或轮中轮模式。在CT和MRI中,播散性真菌性微脓肿表现为散布在整个脾脏中的多个小(<1cm)低密度或液体信号/密度病变。
4302a30e0d56a2871fcae2db7f3ffacb.png
图5.62岁中性粒细胞减少症患者的真菌性微脓肿。(A)增强CT显示多个微小的低密度性囊性病变(箭头)散布在脾脏中,伴有腹腔中央淋巴结肿大。(B)T2显示病变中的信号略有增加(箭头)。(C)在弥散高信号。(D)在增强T1上,病变(箭头)不会增强。

在所有MRI序列中,亚急性或慢性炎症浸润可见病灶周围的低信号边缘,对应于铁负载的巨噬细胞。急性微脓肿与边缘增强无关,这可能是由于中性粒细胞减少患者不能产生强烈的炎症反应;亚急性或慢性治疗脓肿可在CT和MRI上显示周边边缘强化。

经治疗的微脓肿在CT上表现为点状钙化,或在梯度回波(GRE)T1成像上表现为晕染开花伪影病灶。由心内膜炎相关的脓毒性栓子引起的脓肿可呈楔形外观。脾分枝杆菌受累最常表现为脾肿大和许多边缘边界不清的微小脾病变。脾受累见于广泛的疾病,通常表现为低密度淋巴结肿大、结节性腹膜增厚、高密度性腹水和胸腔积液。

淋巴管瘤临床特征—淋巴管瘤是脾淋巴管的罕见畸形,其特征是吻合、扩张、薄壁、充满液体的囊性结构,类似于血管瘤。大多数发生在儿童人群中,被认为反映了先天性发育异常。另一种假设认为,淋巴管瘤反映了因出血或炎症而阻塞的淋巴管毛细血管扩张症。与血管瘤一样,脾脏淋巴管瘤可以是孤立的、多灶性的或弥漫性的。临床表现取决于大小;大多数是偶然发现和无症状的。体积较大或多灶性淋巴管瘤可导致脾肿大、左上腹疼痛和恶心。

病理特征—脾脏可以是正常的,也可以是肿大的,这取决于淋巴管瘤的大小和数量。大多数孤立性淋巴管瘤是包膜下病变;多灶性或弥漫性淋巴管瘤更常见于儿童。淋巴管瘤看起来像多个大小不一的薄壁囊肿,里面充满了透明液体。可以看到实性区,反映中央瘢痕。
1bb035588a8960a9c80824ad418de0b5.png
图6.20岁女性淋巴管瘤,患有Klippel-Trénaunay-Weber综合征和左上腹痛。(A)大体标本显示,整个脾脏有无数大小不一的囊性间隙,包括一个较大的囊肿(箭头),具有薄纤维壁。(B)显微照片显示多个囊性区,内皮细胞排列扁平,并含有无细胞蛋白液(*)。(C)超声显示多个不同大小的单房或多房无回声或低回声病变(箭头)。(D)增强CT显示脾脏肿大,伴有许多边界清晰、薄壁、单房或多房大小不一的低密度病变(箭头),但无增强。

在组织学上,囊腔内排列着扁平的内皮细胞,可形成乳头状突起。囊肿内充满水样的嗜酸性蛋白液,其中可能含有组织细胞、胆固醇结晶和淋巴细胞。其间的胶原基质可含有平滑肌或钙化。免疫组化是确认淋巴来源的必要手段;淋巴内皮内层的D2-40(podoplanin)抗体呈阳性,CD34、CD31和因子VIII的染色可能性较小。

影像学特征—多模态成像反映的是大体外观,具有明确的薄壁单房或多房囊肿。其间纤维基质可能表现为分隔,伴有钙化或进行性增强。囊内碎屑或出血在超声下可能表现为高回声,在MRI下可表现为T1信号增加。
adf95bddf9332e647fa7bb4e26a249cb.png
图7.22岁女性出现淋巴管瘤,有Klippel-Trénaunay-Weber综合征病史。(A)T2显示整个肿大的脾脏内有许多大小不一的薄壁单房或多房高信号囊性病变(弯曲箭头),在多房病变内可见低信号分隔(直箭头)。(B)平衡期的增强MR显示多房病变内的分隔进行性增强(箭头)。

孤立实性肿物
孤立性实性脾脏病变包括良性血管性病变(血管瘤、错构瘤、硬化性血管瘤样结节转化[SANT])和恶性血管性肿瘤(血管肉瘤)。血管瘤是最常见的,淋巴瘤和良性非血管肿瘤和肿瘤样病变也可表现为孤立的实性肿块。仅靠影像学检查可能难以明确诊断,但区分良性病变与恶性病变(如淋巴瘤和血管肉瘤)非常重要。值得注意的是,良性病变几乎总是无症状的,而恶性肿瘤很少是偶然或孤立的发现(表2)。表2:实体脾病变-关键放射学和病理学特征,按数量
3ea8c8b96f03fbcb5e96982b5ec76769.png

45a003ba1601ba2016555a6fe2de9037.png
孤立性实性非血管性病变
淋巴瘤:最常见的累及脾的恶性肿瘤,通常为继发性(罕见原发性脾淋巴瘤)、表现多样取决于亚型(脾大、微小弥漫性粟粒性结节、小结节或较大孤立性肿块)、脾呈均匀低回声低密度低强化、扩散受限、FDG PET/CT上高活性;大小不等的肿瘤性淋巴细胞、白髓结节至弥漫性片状浸润、免疫组化对确定具体病理很重要炎性假瘤(IPT):良性、边界清楚的肿块、炎性浸润呈低密度低强化、中心纤维瘢痕呈T2低信号并进行性强化;混合炎性细胞和梭形细胞增生、散在纤维基质、坏死/出血/硬化

多发实性病变
炎性病变(结节病):良性、多发微小低密度低强化实性结节、所有MRI序列上均呈低信号,T2WI脂肪抑制和增强图像上显示更清晰;多发边界清楚的非干酪样肉芽肿
窦岸细胞血管瘤(LCA):良性、大量进行性强化结节、T2信号不同(富细胞LCA信号较高、含铁血黄素存在时信号降低);无包膜、多发、吻合的血管通道、CD8阴性(与正常的窦岸细胞不同)转移瘤:恶性、不常见、几乎仅在已知或广泛存在癌症的患者中发现、影像表现多样取决于原发肿瘤;病理表现取决于原发肿瘤
血管瘤临床特征—血管瘤是脾脏中最常见的良性病变。大多数是在无症状患者中偶然发现的。血管瘤通常是孤立的,可以是多发性的或弥漫性的;血管瘤病可反映Klippel-Trénaunay综合征中全身性血管瘤病的表现。
Kasabach-Merritt综合征(贫血、血小板减少症和凝血病)与大血管瘤有关。

病理特征—血管瘤是无包膜的紫红色海绵状结节,边界不规则。较小的血管瘤可能表现为实性,而较大的病变可能表现出明显的囊性变。纤维化区可能含有钙沉积物。在组织学上,血管瘤由大小不一的血管间隙组成,内衬由单层平坦的内皮细胞组成。囊性间隙可能很小(毛细血管状),最常见的较大(海绵状),充满血细胞和蛋白质液体。中间的隔膜薄而呈纤维状;当存在大量硬化症时,管腔可能会闭塞消失。免疫组织化学分析显示对血管相关标志物(ERG、肾母细胞瘤蛋白1[WT1]、CD31、CD34、因子VIII)具有反应性,但对CD8呈阴性,因此可以区分血管瘤和脾错构瘤。

影像学特征—脾血管瘤可显示典型肝血管瘤的良性影像学特征:(a)超声时边界明确的高回声肿块,无后声阴影;(b)边界清楚的肿块,伴有外周结节不连续的早期增强和CT和MRI的均匀进行性增强;(c)MRI时均匀的T2高信号。脾血管瘤并发纤维化、出血或囊性变性可能具有可变的多模态影像学表现。血管瘤很少在彩色或功率多普勒US下显示血流。脾血管瘤最好使用动态增强CT或MRI进行评估。它可以具有不同的动态增强模式,包括早期均匀增强延迟期持续增强、早期外周增强延迟均匀增强、具有向心性进展的外周增强。囊性变性区域不会增强,纤维化区可能表现出进行性增强。氟脱氧葡萄糖(FDG)PET/CT可用于具有非典型特征的病变或恶性肿瘤或转移性疾病高风险患者,因为血管瘤不会显示代谢活动。
850f36bd91f505824b4f54288ecd5dbc.png
图8.58岁女性血管瘤,伴有进行性散发性呕吐和左上腹剧烈疼痛。(A)脂肪饱和T2显示边界明确的实性肿块,带有高信号区(箭头)。(B)T1显示肿物(*)等信号。(C)动脉期显示肿块的早期外周增强(*)。(D)门静脉期显示肿块进行性均匀增强(*)。
143a0388971be4548e83e22afbf14c45.png
脾错构瘤临床特征—脾错构瘤是一种罕见的(患病率为<1%)良性结节畸形,仅由杂乱无章的红髓组成,无白髓组织,发病机制不确定;大多数人认为它是一种先天性畸形,尽管真正的红髓起源的肿瘤或对先前创伤的反应性增殖反应也是可能的。错构瘤也称为脾瘤或脾脏局灶性结节性增生,没有年龄或性别偏好,最常见于无症状患者。女性更有可能出现有症状的较大病变,这表明激素刺激起作用。较大的错构瘤可表现为脾肿大。极少数情况下,血液系统疾病(包括全血细胞减少症、贫血或血小板减少症)可由造血细胞隔离引起。脾错构瘤与其他错构瘤病变有关,包括结节性硬化症。

病理特征—错构瘤几乎总是孤立单发病变,通常4-5厘米(范围1-20厘米)。大体上,这是一个边界清楚、无包膜、隆起的暗红色病变,与未受累的脾脏分界清晰。组织学上,错构瘤由红髓组成,没有正常的白髓成分。有许多紊乱的窦和索,排列着丰满的内皮细胞。组织学上的变异是基于红髓中一种或多种成分的显性表达。
8bf584b880d7dd023a3219d36b7080bc.png
图9.错构瘤的病理学和放射学特征。(A)大体标本显示,在脾脏切开面上方有一个边界清晰的无包膜肿块(*)凸起。(B)彩色多普勒显示具有血流的边界清晰的均匀肿物(*)。(C)非增强CT仅显示肿块的轻微轮廓异常(*)。(D)动脉期CT显示弥漫性早期肿块明明显增强(*)。(E)门静脉期CT显示肿块持续延迟增强(*),与脾脏平衡。(F)T2显示肿块(*)轻度高信号。MRI动态增强模式与CT相似。偶尔存在大而奇异的基质细胞。存在不同的炎症细胞,但没有组织良好的淋巴滤泡(与正常脾脏和血管瘤相反)。可能存在纤维化、出血和钙化,尤其是在长期病变中。可能存在髓外造血功能。血管通道内皮内衬CD8免疫组织化学染色阳性是与血管瘤的关键鉴别特征。

影像学特征—反映其病理外观,大多数错构瘤是边界明确的实体血管肿块,类似于多模态成像中的脾红髓。在超声区,它们通常是均匀、边界清晰的肿块,在不并发出血或囊性改变的情况下,相对正常背景脾脏为高回声。在CT中难以识别,因为它们与相邻的脾实质等密度,较大的病变可能显示轮廓异常,这是唯一值得注意的发现。在MRI中,错构瘤为脾脏T1等信号和轻度T2高信号。血管过多的红髓成分表现为彩色多普勒超声时血流量增加。动态对比增强CT和MRI显示早期动脉增强和持续延迟增强,与背景脾脏接近。可能存在钙化和囊性改变。硬化性血管瘤样结节转化临床特征—SANT是一种形态学上独特的良性血管病变。早期的类似病变被描述为毛细血管瘤、多结节性血管瘤和脾血管内皮瘤。发病机制尚不清楚;根据组织病理学特征,它被认为反映了由于炎症、出血或创伤性损伤导致的过度基质增殖所捕获的红髓改变。SANT主要在无症状患者中偶然发现,可与其他恶性肿瘤同时出现。患者很少出现贫血、脾肿大或腹痛。

病理特征—粗略地说,SANT是一个孤立的、边界清晰的、无包膜的单个和聚集的红棕色结节肿块,嵌入致密的纤维基质中,通常有一个中央棕褐色的星状瘢痕。在组织学上,血管瘤样结节由红髓组成,在正常红髓中可见到所有三种免疫组织化学上不同类型的血管(静脉、毛细血管和血窦),这与血管瘤、错构瘤和窦岸细胞血管瘤(LCA)不同,后者仅包含一种类型的血管通道。结节间基质由粘液样至致密纤维基质组成,具有硬化或纤维蛋白样无细胞物质,以及散在的肌成纤维细胞和炎性细胞。
515aa734a119439e9a4b47b75b1112f5.png
图10.SANT的病理学和放射学特征。(A)大体标本显示一个边界清晰的坚硬多结节肿块,由红褐色结节组成,中央有一个星状棕褐色疤痕(箭头)。(B)显微照片显示血管瘤样结节类似于红髓(*),带有结节间带状纤维基质(箭头)。(C)US中央星状疤痕(箭头)是高回声。(D)增强CT显示以低增强为主的肿块,伴有低密度的线样星状瘢痕(箭头)。(E)脂肪抑制T2显示肿块由低信号血管瘤样结节(箭头)和中间的辐轮状高信号带(箭头)组成,这些结节与结节间纤维基质相关。(F)增强MR显示肿块周边血管瘤样成分增强(箭头),类似于背景红髓,以及沿放射纤维带(箭头)的轻度进行性增强。

进行性中心增强被认为反映了血管瘤样结节的进行性增强与纤维带的进行性增强相结合。

影像学特征—SANT的多模态影像学特征通常与肉眼外观平行,表现为一个定义明确的孤立肿块。增强US、CT和MRI的特征性表现是早期周边边缘增强,伴有渐进性向心增强的放射带,描述为辐轮外观。在MRI中,向肿块中心延伸的放射T2低信号带被认为反映了纤维基质。易感伪影可指示含铁血黄素的存在。血管肉瘤临床特征:虽然血管肉瘤是最常见的原发性非血淋巴样恶性脾肿瘤,但血管肉瘤很少见。患者几乎完全在40岁以后出现腹痛和其他恶性肿瘤全身症状,如体重减轻、发热和疲劳。高达30%的患者可出现自发性脾破裂。可见贫血、血小板减少症和白细胞增多症。脾脏起源通常在诊断时播散,初次就诊时可转移至肝、肺、淋巴结和骨骼,因此脾源可能难以证明。

病理特征—原发性脾血管肉瘤起源于内皮细胞,内皮细胞在整个红髓中含量丰富;这些肿瘤可表现为孤立的、边界明确的实性结节,以弥漫边界不清的紫红色坏死和出血性肿块。脾脏通常肿大。在显微镜下,存在杂乱无章、不规则、吻合的血管通道,具有非典型内皮细胞(淡黄色或梭形)、高有丝分裂指数和深染的细胞核。
c163933f54bfbf2cf8b0f3ba8bca0332.png
图11.72岁男性患者的血管肉瘤,患者伴有间歇性发热、体重减轻和跌倒后持续的左上腹钝痛。(A)大体标本显示结节性脾脏增大,带有多个紫红色肿块(*)。T2(B)和增强T1(C)显示多个肿块,在整个增大的脾脏内信号不均匀,中央T2低信号出血区(B中的箭头)和实性成分和血管通道的不均匀奇异结节状强化。肝脏也可见多个T2高信号和强化的肿块(箭头)。被恶性内皮细胞覆盖的状突起可能突出到血管囊性间隙中。在免疫染色时,血管肉瘤的内皮标志物染色呈阳性,包括ERG、肾母细胞瘤蛋白1(WT1)和CD31(CD31被认为是最敏感的标志物)。可能存在纤维化、出血、含铁血黄素和钙化。

影像学特征—伴随着不同的血管肉瘤的病理表现,影像学特征是异质性和非特异性的。脾脏常肿大,当弥漫性血管肉瘤浸润时,会不均匀强化。分散的血管肉瘤表现为一个大的优势肿块或多个肿块。由于出血和囊性坏死很常见,血管肉瘤可能表现为囊性。在彩色多普勒US中可以显示奇异和扩张的血管通道中的血流增加。在CT和MRI中,血管肉瘤可以是孤立的或多发的、边界不清的、不均匀的结节性肿块(由于既存在实体成分又存在出血和坏死区域)伴有实体成分和血管通道的异质性结节性增强。淋巴瘤临床特征。淋巴瘤是累及脾脏的最常见恶性肿瘤。原发性脾淋巴瘤(定义为局限于脾脏和脾周淋巴结的淋巴瘤)很少见,占所有淋巴瘤的不到1%。大多数患者表现为淋巴瘤的典型全身症状,包括体重减轻、疲劳和发热。脾受累患者可表现为左上腹疼痛和脾肿大。

病理特征—广泛的淋巴瘤(B细胞淋巴瘤和T细胞淋巴瘤、霍奇金病)可导致多种肉眼外观,包括无明确肿块的脾肿大、微小的弥漫性粟粒性结节、小结节性肿块或大的孤立性肿块。在显微镜下,大小不一的肿瘤淋巴细胞在白髓中以结节或弥漫性片状浸润的形式存在。免疫组化对于确定肿瘤的特定谱系至关重要。
e2f82270e580c5559c12ce28b6574f46.png
图12.淋巴瘤,37岁男性,伴有疲劳、体重减轻、早饱和脾肿大。(A)切除的肿大脾脏的照片显示,脾实质几乎完全被无数轮廓分明、坚实的棕褐色结节(箭头)取代。(B)增强CT显示脾肿大和无数均匀的低密度结节(箭头),这些结节对残余正常脾脏的增强减低。
76ebd6f3c38871552ff128a54a3f45fc.png
影像学特征—脾淋巴瘤的影像学特征反映了病理表现,可表现为脾肿大、弥漫性浸润、多个小/大结节、孤立肿块。与其他地方一样,淋巴瘤结节通常是均匀的和血少管的。在US中,淋巴瘤与邻近脾脏低回声,在彩色多普勒US处显示散在的穿透性血管。在CT上,它们是低密度的实性病变,相对邻近的脾实质为进行低增强。在氟脱氧葡萄糖(FDG)PET/CT时,脾淋巴瘤是FDG显著高代谢(标准化摄取值[SUV]=6.9±7.9)。在MRI中,淋巴瘤通常为T1低信号,并且具有可变的T2信号。与邻近的正常脾实质相比,淋巴瘤的扩散受限性增加。增强后可能显示轻度增强,但病变通常低于正常脾脏。

炎性假瘤临床特征—炎症性假瘤(IPT)一词已用于描述在全身发现的反应性肿瘤样病变,很少在脾脏中发现。脾IPT最初于1984年描述,最常见于中年或老年患者。脾IPT与EB病毒(EBV)感染密切相关。IPT样滤泡树突状细胞(FDC)肿瘤是EBV相关IPT最常见的亚组。患者的临床表现范围很广,从无症状到左上腹痛或上腹痛、发热、体重减轻和脾肿大。贫血、血小板减少症、高丙种球蛋白血症和炎症标志物水平升高也有报道。病理特征—脾IPT是一个坚实、边界分明的黄白色或棕褐色肿块。坏死、出血或硬化的区域可能非常明显。在组织病理学上,它由炎性细胞和梭形细胞增殖的混合物组成,并散布着胶原基质。梭形细胞的EBV呈阳性。
76d3f86f2e5ec391d2a517041a8c6b5e.png
图13.59岁女性出现胸痛的IPT。(A)大体标本显示有一个边界分明的黄白色肿块。(B)门静脉期的增强CT显示边界明确的孤立性低增强肿块,伴有中央点状钙化(箭头)。影像学特征—US可能表现为孤立的、边界明确的、低回声的实性肿块样病变。病变在CT时等密度,但在增强后更明确的显示为大而边界明确的低增强孤立性肿块,纤维成分进行性增强。可能存在钙化。MRI时,病变为T1等信号到低信号,T2信号不均,通常伴有中央星状低信号瘢痕。

MRI特征是延迟增强,可能是由于纤维基质丰富所致。多个实性肿物很少偶然发现多发性实性脾脏肿块;大多数患者会出现症状或临床上可能会出现脾脏疾病。最常见的来源是弥漫性炎症性疾病(结节病)或传染病(微脓肿,前面讨论过的多发性囊性肿块)。多发性实体肿块的其他疾病谱包括淋巴瘤、LCA和转移瘤。虽然LCA通常偶然见于无症状患者,但淋巴瘤和转移瘤与症状或广泛的原发性恶性肿瘤有关(表2)。

炎症性病变临床特征—结节病是一种病因不明的全身性肉芽肿性疾病,是一种累及脾脏的炎症过程。脾受累通常无症状,但可表现为脾肿大。更常见的受累部位包括肺、纵隔和肺门淋巴结。病理特征—结节病表现为多个实性结节,这些结节可以融合形成更大的肿块。组织学特征包括边界明确的肉芽肿,伴有明显的上皮样巨噬细胞和中间的红髓。可能存在一些小的坏死病灶。陈旧性肉芽肿可显示纤维化和透明改变。巨细胞包涵体(Schaumann小体(具有由脂粘糖蛋白组成的嗜碱性球状体)和星形小体(星状嗜酸性粒细胞包涵体)的存在提示结节病,尽管在其他肉芽肿性疾病中也可见。
4f4951ff7405ed0dd7370acdcbfd3b57.png
图14.38岁女性结节病,有肺部表现。(A)切除的脾脏标本显示,脾实质几乎完全被大小不一的实性、分散或汇合的结节取代。增强CT(B)和T1(C)显示整个脾脏有无数低增强的实性结节(箭头)。
53e1e8830acb059abb1c53fe1f9aa6ad.png
影像学特征—多模式成像可能显示脾肿大或多发性结节。在超声下,离散结节呈低回声;当结节边界不清且为多发性时,脾脏可能表现为弥漫性不均质。虽然在CT平扫难以显示,但脾结节病结节在增强CT上比邻近的正常脾实质呈低强化,最好在早期观察。在MRI上,所有序列的病灶都是低信号,低强化,但在T2脂肪抑制和增强后上最明显

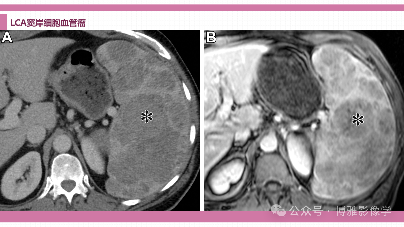
窦岸细胞血管瘤临床特征—LCA是一种良性血管肿瘤,被认为起源于脾窦内壁的窦岸细胞。LCA主要发生在没有性别偏好的成年人中,是良性的。大多数患者无症状,大多数肿瘤是偶然发现的。一些患者可能出现脾功能亢进的体征,包括脾肿大、血小板减少或贫血。病理特征—LCAs表现为多个海绵状和囊性结节,与背景脾实质轮廓分明,范围从红色到黑色(图E6)。在组织学上,LCAs边界不清,没有明确的包膜,由多个不规则的囊性血管通道组成,这些通道由饱满的立方形内皮细胞排列而成。血管通道可以具有不规则的管腔,具有进入血管空间的乳头状突起。血管间隙中可能存在大量从内层内皮分离的窦岸细胞和脱落的巨噬细胞。在免疫染色中,细胞对内皮标记物(CD31,因子VIII相关抗原)呈阳性,但对CD8始终呈阴性(不同于正常的窦岸细胞)。

影像学特征—LCA影像学表现是脾肿大,伴有许多进行性增强的结节。超声特征各不相同,包括无离散病变的弥漫性斑驳回声,以及多个低回声、等回声和高回声结节。在CT上,最常见表现是多个低密度病变,最初在早期和门静脉期弱强化,在延迟期上对背景脾脏的呈均匀等密度强化。MRI特征为持续T1低信号并伴进行性增强。T2影像学特征变化更大,信号增加(可能反映细胞性),信号降低(含铁血黄素)。
c7b24884a6d8a5aa4061a921e4c78fa6.png
图15.患有慢性血小板减少症的65岁男性的LCA。门静脉期的增强CT(A)和T1(B)显示脾肿大伴多个低增强病变(*)。
fc396996a31fa6d94563cb6420c28d12.png
转移临床特征—脾转移不常见,通常见于广泛疾病的情况下。转移可以是囊性的或实性的,也可以是孤立的或多发性的。扩散途径被认为是血源性的,最常转移到脾脏的肿瘤是乳腺癌、肺癌、卵巢癌、黑色素瘤和结肠癌。

病理特征—脾脏通常大小正常,有单个或多个转移病灶。囊性转移瘤的组织学表现与原发肿瘤相似。免疫组织化学通常用于转移肿瘤的表型分型,尤其是低分化转移肿瘤。细胞角蛋白通常突出显示癌,SOX10、S100、BRAF、人类黑色素瘤黑–45(HMB-45)和小眼症转录因子(MITF)对黑色素瘤染色阳性。

影像学特征—超声脾转移瘤主要为低回声转移,但也可能是混合回声或高回声转移。在CT上,脾转移表现为具有不同程度增强的低密度或囊性病变。在MRI中,转移通常为T2高信号和T1低信号,根据原发肿瘤类型,其增强程度各不相同。治疗和预后对于脾脏病变的无症状患者,如非寄生虫性囊肿、假性囊肿、淋巴管瘤、血管瘤、错构瘤和SANT,无需治疗,临床观察(可能伴有影像学随访)就足够了。

然而,较大的囊肿、假性囊肿和淋巴管瘤可引起症状或因囊内出血或破裂而并发,而血管瘤、错构瘤和SANT可导致脾功能亢进或增加脾出血或破裂的风险,需要手术干预。为了保护有症状的囊肿或假性囊肿患者的脾功能,微创手术技术——包括造袋术、开窗术或部分切除术取得了良好的效果。

对于较大的或有症状的囊肿和淋巴管瘤,常规治疗是全部或部分脾切除术。由于复发风险高,不推荐对淋巴管瘤采用保守治疗方法,如抽吸、引流和硬化。对于有症状或复杂的血管瘤、错构瘤和SANT,部分或全部脾切除术是一种手术选择;部分脾切除术可能适用于单一病变的患者。脾脏感染性疾病(包括细菌性、真菌性脓肿和寄生虫性脓肿)患者通常有症状;可根据临床、实验室或血清学和影像学特征确定诊断。

经皮穿刺抽吸有助于确诊和直接治疗。未经治疗的脓肿预后不良;治疗可显著改善死亡率,包括内科和外科联合治疗方案。引导下经皮引流已成功用于脓肿的脾脏保留治疗。当靶向药物治疗失败时,可能需要进行脾切除术。对于高手术风险的包虫病患者,经皮抽吸和注射杀虫剂是一种选择,尽管可能溢出和腹膜播散的风险增加。残留的内膜会增加复发或继发感染的风险。保留脾脏的手术选择包括包虫囊肿摘除术或网膜整形取顶术;然而,取顶会留下囊周层,增加术后感染的风险。全脾切除术可治愈。当仅通过影像学不能确定诊断时,需要进行组织取样,这可以通过全脾或部分脾切除术进行,这在历史上是诊断和治疗的主要方法。

使用较小针经皮影像引导活检诊断准确性较高。空芯针穿刺活检有助于前瞻性影像学诊断困难的良性疾病,如SANT、LCA和IPT,从而防止不必要的脾切除术。必要时,可以进行部分脾切除术,以明确诊断和治疗局限性肿瘤。IPT样滤泡树突状细胞(FDC)肿瘤被认为是低级别恶性病变,需要脾切除术和切除后随访。

血管肉瘤是一种高度侵袭性的肿瘤,预后不良;无论治疗情况如何,大多数患者在诊断后12个月内死亡。淋巴瘤的治疗选择取决于阶段,但通常包括化疗。脾转移通常发生在广泛的转移性疾病中,手术可能不是一种选择。在罕见的孤立性脾转移病例中,脾切除术是首选治疗方法。

结论
脾脏病变通常是影像学检查中偶然发现,可能会带来诊断挑战。使用逐步方法,首先确定它们是囊性还是实性,然后进一步将它们描述为孤立性或多发性病变,可以帮助诊断或提供适当的鉴别诊断。
fbea6d965d25ccebb08c9eab28d29afd.png

来源:博雅影像学
李福兴 天津医科大学附属宝坻医院天津市宝坻区人民医院

希望疫情早日结束!
回复 关闭延时

使用道具 举报

您需要登录后才可以回帖 登录 | 注册  

本版积分规则

快速回复 返回顶部 返回列表