查看: 3435|回复: 0

[骨肌] 骨硬化性肿瘤和肿瘤样病变

[复制链接]

864

主题

373

回帖

299

日志

荣誉会员

积分
7096
QQ
发表于 2024-12-6 14:31:29 | 显示全部楼层 |阅读模式
常见硬化性骨肿瘤及肿瘤样病变如下图
20937f0d57fc189328ca4ddf9641e7cd.jpg
骨纤和嗜酸性肉芽肿更多见于骨溶解性病变,但可为硬化性病变。注意,许多在较年轻年龄组常见的良性溶骨性病变可在中年组趋向稳定,并以硬化性病变的形式出现。所有年龄的人都可以会有感染,特别是慢性骨髓炎可能有硬化的表现。
ef959c8c0fa8502d0fac3f1720075a5f.jpg
骨梗死典型表现:干骺端或骨干的中央病变,有明确的蛇形边界。可能类似软骨肿瘤。原因:皮质类固醇使用,镰状细胞疾病,创伤,戈谢病,肾移植。骨梗死是指骨干或干骺端的骨坏死,如果骨坏死位于骨骺,则使用缺血坏死一词。下图X线表现为股骨干骺端和胫骨干骺端典型的骨梗死,MR边缘低信号环,压脂可见水肿。
8f175b5edc902c7e31f13ff1c91b8b7b.jpg
在平片上鉴别骨梗死与软骨瘤或低级别软骨肉瘤是困难的,甚至是不可能的。
软骨性肿瘤,尤其是软骨肉瘤,可能表现为骨内扇贝样压迹,而骨梗死则不然。软骨样肿瘤比骨梗死更常见。
骨岛良性病变,由髓腔内分化良好的成熟骨组织组成。形状通常是圆形或椭圆形。经常被认为是偶然发现的,可以在任何骨头中找到。偶尔可以看到缓慢的增大。骨岛在发现时可能很大。骨扫描无高活性,与低级别骨肉瘤相反
e4c932c22ecfb74c28f09e9da61c90c2.jpg
软骨母细胞瘤典型表现:小于20岁的患者,跖骨、髌骨或长骨骨骺有明显的溶骨性病变,伴有关节疼痛和肿胀。大量水肿几乎总是存在。鉴别:GCT,ABC,软骨瘤。下图是一个位于肱骨近端外膜和干骺端的病变,以钙化为主。冠状位T1W图像显示边缘分叶状,周围低信号带,原因是钙化。
ce0d7ae04ca28efa8aa01b3f7ba88e12.jpg
软骨肉瘤较常见的恶性骨肿瘤,多为低度恶性。原发部位:近端长骨,膝盖周围,骨盆和肩,通常是中央和干骺端。X线:形成软骨样(软骨)基质,表现为点状或爆米花样钙化状。软骨样基质从几乎不存在到牙齿状结构致密的软骨样基质,其数量是可变的。已存在的软骨瘤中钙化的消失应引起对恶性转化的怀疑。
87c62dcb6e92486afa6224f8749c64f0.jpg
下图显示胫骨近端钙化病变,边缘不清。还有其他的特征有利于诊断低级别的软骨肉瘤,如骨扫描阳性和MRI上皮质骨的骨内膜扇贝样压迹(未列出)。活检诊断为软骨肉瘤。
a8cba3f89c2aeba9011518204f5f3271.jpg
下图一位44岁的男性,第五掌骨混合溶骨和硬化性的肿块,软组织内有钙化。T2加权轴位MR图像显示掌骨肿瘤的高信号,并伴有分叶状软组织肿块。
8fef2ac94e87d5e6d654154e9cd78f99.jpg
下图左髂骨软骨肉瘤。由于X线平片及轴位T2加权MR图像上软组织巨大,故怀疑为高级别软骨肉瘤。
69249131baaa78ddce8001e32b249b7a.jpg
继续骨扫描,在高级别软骨肉瘤中,骨显像的摄取强度很高。
6daecb0e82e676e2fdf05d42796a54c3.jpg
下图两个不同患者均为软骨肉瘤。根据影像学表现,肱骨头硬化性病变很可能是良性软骨瘤,其实境界不清还是比较令人怀疑其为恶性。然而,在长骨软骨样病变的成人患者通常没有症状。体积较大的,通常被认为是低度软骨肉瘤的可能性很大。
c8762dff290da51425a25ef6346da74c.jpg
下图X线平片和冠状位T1加权对比增强脂肪抑制MR图像显示股骨远端骨干的混合溶骨和硬化的病变。注意皮质骨的均匀增厚。MR图像显示病灶呈分叶状轮廓和结节状强化。均匀强化并伴有水肿和皮质增厚不是低度恶性软骨肉瘤的典型表现。在鉴别诊断中必须考虑到高级别的软骨肉瘤。活检显示为去分化软骨肉瘤。

e7a31106e1de7fd14f2103154eb3fd68.jpg
周围软骨肉瘤占所有软骨肉瘤的8%。遗传性多发性骨软骨瘤,恶变率为3-5%。骨盆、髋部和肩部的骨软骨瘤恶变较常见。骨骺闭合后,还继续生长的骨软骨瘤,无论是否疼痛,均须考虑恶变可能。

显示恶性肿瘤的X线或CT特征:骨软骨瘤在骨骼成熟患者中继续生长不规则或模糊的表面邻近骨的侵蚀或破坏伴有散在或不规则钙化的软组织肿块应用MRI压脂序列(T2 FS)测定软骨帽厚度,当软骨帽直径大于10 mm时,考虑骨软骨瘤进展为软骨肉瘤。当发现邻近皮质骨的伴钙化的病变时,在鉴别诊断中应考虑软骨肉瘤的可能。

下图 骨膜或关节旁软骨肉瘤,这是一个在肱骨近端部分钙化的肿块,在轴向CT图像上累及皮质骨。T2加权MR图像显示高信号的分叶状肿块。骨软骨瘤可能有同样的影像学表现,然而概率要小得多。
88a311aa17996df1a34bc3cb15124170.jpg
软骨瘤最常发生在手足的小骨头上的骨肿瘤。

下图X线片上,一个典型的软骨瘤的软骨样基质钙化。软骨瘤是一种相当常见的良性软骨病变,可表现为完全溶骨性病变,无钙化、致密钙化或混合溶骨和钙化。在MRI或骨扫描中,软骨瘤和低度恶性软骨肉瘤是常见的偶发性发现。
d4ace646243f6e055c19338ae2e09dd7.jpg
嗜酸性肉芽肿典型表现为扁平骨、椎骨或长骨骨干的溶解性病变。可能会出现硬化性表现。
MR通常在骨和软组织中表现出大量的反应性改变。在活动期有多层骨膜反应,骨组织和软组织水肿。嗜酸性肉芽肿和骨髓炎,可完美模仿恶性肿瘤(尤其是尤文肉瘤)。应包括在年轻患者多发性朗格汉斯细胞组织细胞增生症的鉴别诊断中。
61398f097a593caed55eff21a6611a1e.jpg
下图这是一个20岁的病人,在锁骨上有硬化性扩张性病变。注意,有小范围的境界不清的骨溶解。在老年患者中,应首先考虑骨转移瘤。如果病人有发烧和其它的临床体征,骨髓炎将在鉴别诊断中。
c4f1cbef6d4d3a44f8b0848f2863fe48.jpg
骨纤FD通常是纯粹的溶骨性病变,但可能有一个磨玻璃外观,因为基质钙化。鉴别诊断包括:已被填充的非骨化纤维瘤。成釉细胞瘤可伴有胫骨多处囊性灶。下图偏心性、硬化性的骨纤
99b0bdd1e2b6ebb4586030246e7ce3c7.jpg
骨显像可以是阴性或显示有限的摄取。纤维发育不良可以是单发性的,也可以是多发性的。通常是儿童期或青壮年的发病,在晚年偶然发现的情况并不少见。

烛泪样骨病是一种骨发育不良,其特征是成熟骨附着在皮质骨的外表面或内表面。通常是一根骨头,骨骺、干骺端和骨干可能受累,一侧的皮质可能会发生完全的包绕。发生于骨表面的成骨性骨肉瘤需要与其鉴别。如下图所示,轴位T1加权MR图像表现为均匀的低信号强度,这是由于紧密的骨连接所致。
544185647e3a442a97e92615cc689463.jpg
转移瘤在40岁以上的患者中,任何硬化性骨病的鉴别诊断都必须包括硬化性骨转移。最常见来源于前列腺癌和乳腺癌,较少来自肺癌、淋巴瘤或类癌。在乳腺癌中,转移可能表现为溶骨性病变,可能成为硬化性病变,对化疗有良好的反应。下图是一位乳腺癌患者,肱骨干骺端有转移,表现为轻度硬化性病变。这可能是一种成骨细胞转移,也可能是对化疗有反应的溶骨转移。
e36f71487dd5bca1fa71b427309acfeb.jpg
非骨化性纤维瘤(NOF)有时可作为部分或完全硬化性病变,典型的NOF表现为偏心的、边界清晰的溶解性病变,通常为偶然发现。这些病变通常会自发消退,然后可能会硬化。
其他良性病变,如孤立性骨囊肿、骨纤、软骨母细胞瘤和其他良性骨肿瘤可能会变得惰性,也可能发生硬化。下图显示  左侧有一个典型的溶骨性NOF和一个尖锐的硬化边缘。右边的图像是一个不同的病人,他有一个老的NOF,显示完全硬化。
13f2f03109adfe3789d80a9925e46eda.jpg
骨软骨瘤是一种由软骨帽覆盖的骨质突出症,与母骨皮相连,髓腔相通,背向关节面生长,一直到骨骺板闭合,停止生长。成人期骨软骨瘤生长,其特征是软骨帽较厚(T2WI上高信号),应增加进展为外周性软骨肉瘤的可能性。下图是一位广基底的骨软骨瘤患者,注意软骨帽有部分溶解并伴细微钙化。软骨帽对应于T2-WI上的高信号区,这是骨软骨瘤进展为周围软骨肉瘤的一个例子。
f67b49d409151f73d3de42a318896f33.jpg
在平片或CT上应引起怀疑恶性转变的X线摄影特征包括:骨骼成熟患者骨软骨瘤的生长不规则或模糊的表面病灶内部局部溶解区邻近骨的侵蚀或破坏伴散在或不规则钙化的软组织肿块

骨样骨瘤有或不伴有中心钙化的小骨溶骨性病变(可达1.5厘米)。由于骨膜和骨内膜反应而被反应性硬化症的明显区域所包围,这可能掩盖了中央结节。在关节旁定位中,反应性硬化症可能不存在.定位:股骨,胫骨,手足,脊柱(弓)。须和Brodie脓肿、成骨细胞瘤、应力性骨折鉴别下图有反应性硬化症,其结节在X线片(蓝色箭头)上几乎看不见,但在CT(红色箭头)上明显可见。
ec35ab79d8f40b3b8cdd65e201709c28.jpg
CT扫描通常有助于发现结节,鉴别骨样骨瘤与其他硬化性病变,如成骨细胞瘤、骨髓炎、关节炎、应力性骨折和子骨质疏松症。MR除发现结节外,还能发现伴发的骨髓和软组织水肿。

骨髓炎是可模仿各种良性和恶性骨肿瘤,可伴随着反应性硬化。
急性骨髓炎的特点是骨溶解。硬化症通常是亚急性和慢性骨髓炎的征象,有时会出现更坚实的骨膜反应,同时伴有皮质增厚和骨变宽。
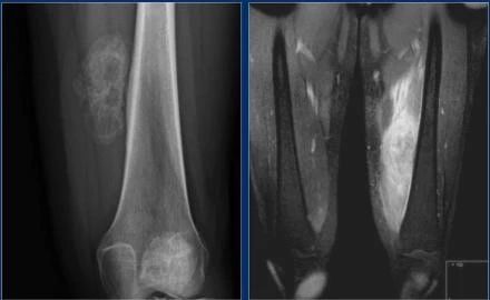
骨肉瘤常见的原发性恶性骨肿瘤。膝盖周围50%。表现:疼痛,肿块,病理性骨折。硬化症出现于肿瘤新骨形成或反应性硬化。年龄:最常见于10-25岁,但可能发生在老年患者。平片典型的表现为过渡区的虫蚀或渗出型病变,皮质破坏不规则,软组织外伸伴骨膜反应中断。骨膜反应科德曼三角:表现为肿瘤使骨膜从下面的骨头上隆起,皮质软组织延伸,破坏刚形成的骨膜新生骨,可产生放射状骨针。下图是右侧股骨骨肉瘤的图像。它在骨头内几乎看不见,但是可以看到一个累进的骨膜炎(箭头)。
0a92e618a343ad20d72a53d3014d41e1.jpg
MR矢状位T1WI和Gd增强的图像显示肿瘤体积大,浸润股骨远端大部分,并延伸至软组织。

a03e743072236df61516a8ab132b8465.jpg
骨旁骨肉瘤
骨旁骨肉瘤是一种起源于骨表面的肉瘤,它主要生长到周围的软组织,但也可能渗入骨髓。它通常位于股骨远端干骺端的后侧。骨旁骨肉瘤的骨化通常在中央比外围成熟,这与骨化性肌炎相反。
Paget病是一种慢性疾病,病因不明,骨破坏增多,新骨形成紊乱,最常见的症状是混合性溶骨和硬化并存。下图可以看到右半骨盆Paget病的三联征:骨扩张、皮质增厚和骨小梁增粗。
524c03f6efe25e97b79688a93e2eedf2.jpg
骨化性肌炎下图是一个在软组织中有矿化肿块的病人。注意,矿化主要在肿块的周围,在肿块和皮质骨之间有一个透亮带。T1加权像增强显示肿块强化不均,周围水肿广泛。
149534256a46bee9f674cf4745737644.jpg
应力性骨折发生在正常(疲劳性骨折)或新陈代谢减弱(未充分骨化)的骨骼中。罕见的是,很难将应力性骨折与骨肿瘤(如骨样骨瘤)或发生在骨肿瘤部位的病理性骨折区分开来。如下图
22cd97c32d685c0a59d2067e191b4a40.jpg
创伤后钙化下图 肱骨近端硬化性肿块(左),这是继发于创伤的反应性钙化。注意,在另一个病人(右),这是一个活检证实的骨肉瘤旁肿块相似。这表明,在某些情况下,区分肿瘤与反应过程是相当困难的。
2c984fe0ae7ae4fe7b94f67c944b699f.jpg
甲下骨瘤是从远端指骨的背侧表面发出的骨性突起,最常见的是拇指。这些病变不是骨软骨瘤,而是反应性软骨化生。放射学表现和位置是典型的。
825e53bfaa052ffe2a5f6a2940e65c0f.jpg
下图中两位患者患有奇怪的骨旁骨软骨瘤性增生(BPOP),也称为Nora‘s病。这种良性反应过程最常见于手足指骨皮质附近(75%),皮质骨和骨髓腔不受影响。矿化体的快速生长并不少见。
b6a939a16caa2fc2b2849d7b815153f1.jpg
本文来源于radiologyassistant,著设如有错误,请留言指正,谢谢!
回复 关闭延时

使用道具 举报

您需要登录后才可以回帖 登录 | 注册  

本版积分规则

快速回复 返回顶部 返回列表