设为首页
收藏本站
切换到宽版
登录
注册
搜索
搜索
本版
帖子
用户
快捷导航
首页
科学资讯
SCI期刊
中文期刊
科学基金
科学笔记
科学群组
科学群组
科学文库
科学家园
科学图片
查询
AI助手
问卷调查
相册
Album
爱科学
»
文库
›
医学文库
›
医学技术
›
简单粗暴肝叶分段(只适合影像科快速报告和非专业解读) ...
返回列表
查看:
863
|
回复:
0
[腹盆]
简单粗暴肝叶分段(只适合影像科快速报告和非专业解读)
[复制链接]
hyc3140
hyc3140
当前离线
积分
6867
859
主题
372
回帖
298
日志
荣誉会员
积分
6867
收听TA
发消息
发表于 2025-2-1 16:25:58
|
显示全部楼层
|
阅读模式
本帖最后由 hyc3140 于 2025-2-1 16:27 编辑
第一步:先找胆囊和下腔静脉,分肝左叶和右叶。找到胆囊和下腔静脉,画个虚拟线,鼠标放上不动,上下翻动,只要在这个鼠标(虚拟线)左侧的都是左叶,右侧的都是右叶。即使看不到胆囊,也要想象这个虚拟线存在。
下图看不见胆囊,但仍然想象虚拟线存在(鼠标)
第二步、找肝裂,把肝左叶分为肝左内叶、肝左外叶。
同样,鼠标不动,上下翻动。
第三步、门脉左支分肝外叶为II、III段,门脉左支上方为S2段,下方为S3段。
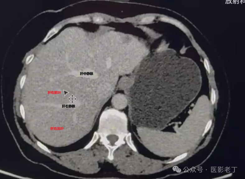
第四步、找肝右静脉,分肝右前后叶。肝右静脉为界,前方为肝右前叶,后方为肝右后叶。
第五步、找门静脉右支,分肝右叶上段和下段.门静脉上方的为上段,及S7、S8段;门静脉下方为下段,即S5、S6段
第六步、找肝尾叶;下腔静脉和门静脉夹着的是尾状叶,即S1。
总结:1、胆囊和下腔线分肝左右叶;2、镰状韧带分左叶为内外叶;3、门静脉左支分肝外叶为S2 S3段,上2下3;4、肝右静脉分肝右叶为前后叶;5、门静脉右支分肝右叶上下段。
上78 42
下65 43
肝脏
相关帖子
•
肝格林森(Glisson)鞘水肿影像学改变
•
肝脏血液系统疾病的影像表现
•
一过性肝脏异常灌注_一过性肝脏信号差异解剖机制及影像学
•
淤血性肝病的病理生理及影像表现
•
肝脏感染性病变影像表现与鉴别诊断
•
肝内胆管癌的影像诊断与鉴别
•
异源性肝转移瘤常见影像学特征
•
FNH及FNH样病变影像表现
•
肝脏局灶性结节增生影像诊断
•
肝硬化伴肝内局灶性病变影像诊断
回复
关闭延时
使用道具
举报
返回列表
高级模式
B
Color
Image
Link
Quote
Code
Smilies
您需要登录后才可以回帖
登录
|
注册
本版积分规则
发表回复
回帖并转播
回帖后跳转到最后一页
浏览过的版块
经典素材
扫码关注爱科学公众号
快速回复
返回顶部
返回列表