查看: 18739|回复: 0

[腹盆] 急性内脏缺血的影像指南

[复制链接]

864

主题

373

回帖

299

日志

荣誉会员

积分
7094
QQ
发表于 2025-2-1 16:38:37 | 显示全部楼层 |阅读模式
本帖最后由 hyc3140 于 2025-2-1 16:47 编辑

ef3a909eb079ec18ccfa9879d59fc4e4.png
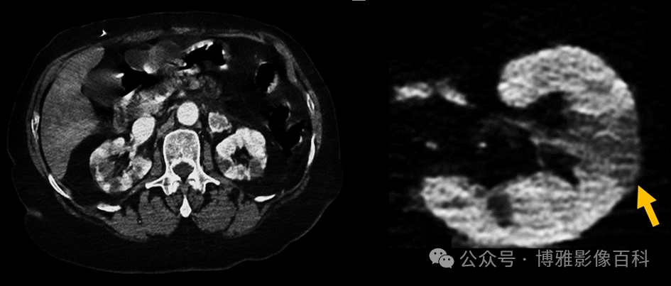
图1:有血管门的器官无血管门的器官:动脉分布在外表面,并从那里渗透到器官内部。梗死从最外层(粘膜肌层)开始,后来变成透壁。示例:肠和胃
a36e06a65c8458596597b0b1c1cda339.png
图2:无血管门的器官
肝血管形成:门静脉(75%的血流,50%的含氧血),肝动脉(25%的血流,50%的含氧血)。
肝缺血:不常见的原因是:双重血管供应,经常存在依赖于胃左动脉和肠系膜上动脉的副动脉循环(第三供应)。
原因:医源性(介入手术、手术)、外伤、移植后、高凝状态、血管炎或感染(感染性休克)
影像表现:节段性分布的灌注缺损,定位于:外围:楔形(箭头)
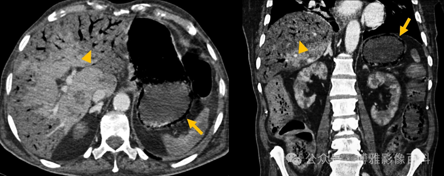
1158ec61701c046f759c3f2eaf921fdd.png
图3:CT门静脉期。Whipple手术后患者中央:椭圆形/圆形(箭头)或不规则的管状形状,平行于胆管
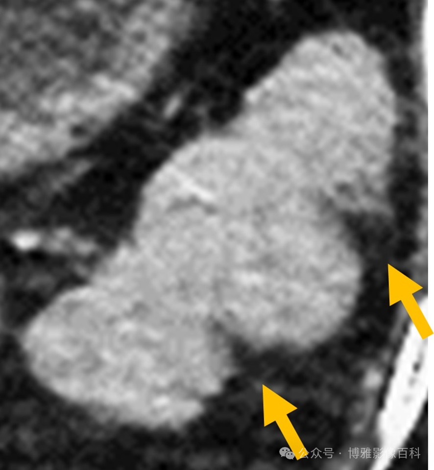
f1ba046e851eef7b6c012cb252944bb5.png
图4:CT门静脉期。因急性肠系膜缺血而进行肠切除术。梗死更常发生在肝右叶,尽管原因不明。我们可以区分缺血(动脉期无强化,但门脉期等强化)和梗死(所有期相均无强化)。由于保留了未移位的门静脉束,它们可能有斑片状和不均匀的强化。这使得它能够与其他低增强病变(脓肿、胆汁瘤、血肿等)相鉴别。其轮廓是由病变时间决定的。在急性梗死中,边界更模糊,而在亚急性/慢性梗死中,边界更清晰。在无菌性和感染性梗死中都可能气体形成。无菌坏死气体继发于组织坏死。在特定的临床背景下,医生可能会怀疑存在继发感染。

后遗症:胆囊囊肿或胆囊湖:胆管上皮坏死导致胆汁外渗,最终被纤维组织(胆汁瘤)包围,形成肝内胆管局灶性扩张胆道狭窄胆囊回缩
688d7baa4c53ee83534c2f831846e34b.png
图5:CT门静脉期。门静脉血栓形成引起的急性缺血(箭头)。
a1c09eed2dc5222c2fa3b23ea9547341.png
图6:CT门静脉期。右门静脉血栓形成引起的急性缺血。
b20108a41ad349e78b5977e71e11ee56.png
图7:CT门静脉期。Whipple手术后的亚急性梗死。
胆囊血管形成:胆囊动脉(在70%的病例中,它起源于右肝动脉)。胆囊缺血:非结石性胆囊炎占胆囊炎病例的5-10%,通常与急性全身性低灌注状态有关。
原因:休克、医源性(介入手术、手术)、外伤影像表现:胆囊膨胀,壁缺失或不规则,低强化或无强化,膜结构(胆囊壁的上皮细胞脱落,形成膜状结构)或腔内出血和胆囊周围积液。
c4e6505ce70397128fed19c923039ec8.png
图8:一名女性因Stanford A型主动脉夹层。上图:胆囊膨胀,胆囊壁模糊,周围有液体。箭头:肾皮质坏死。下图:胆囊腔内出血(箭头)

胰腺血管形成:胰头和钩突(胰十二指肠上动脉和下动脉的前后支),胰颈部、胰体和胰尾部(脾动脉的分支:胰尾、大胰、下胰和背胰)。胰腺缺血:继发于严重胰腺炎。
原因:最常见的是胆结石和酗酒
影像表现:胰腺炎死亡率的增加与腺体坏死的发展和扩展有关。为了对胰腺炎进行分期,当在48-72小时后进行增强CT时,获得更可靠的结果,因为坏死通常在24-48小时后开始。确定坏死是浅表性还是透壁性很重要,因为后者累及胰管的破坏,易导致积聚、腹水、假性动脉瘤的形成。透壁坏死通常发生在胰腺颈部,因为它是腹腔干灌注和肠系膜上动脉灌注之间的分水岭区域。
胰腺外坏死:脂肪密度增加(大于脂肪束)胰内坏死:实质低强化区。将脾脏作为正常增强实质的参考
2833312b36ba00f3ddb0d3fee03cab96.png
图9: CT 门静脉期。上图:胰腺外坏死。下图:胰腺内坏死患病率(从最高到最低):胰腺坏死和胰周组织(75%)、胰周组织坏死(20%)、胰腺坏死(5%)。
2f376ecde83ef6de7a7fd526801a8154.png
预后:胰周组织坏死>胰腺坏死。胰腺炎积液:
552676e8352afff7fe56871a4ab86002.png
图10:CT门静脉期。左图:急性坏死积液聚集(<4周)。右图:纤维包裹性坏死(>4周)唯一可能表明积聚合并感染的发现是气体的存在。影像表现必须与适当的临床背景相关联。没有气体并不能排除感染。坏死出血物向肾旁间隙延伸,体格检查时出现GrayTurner征,而向小网膜和镰状韧带延伸则出现Cullen征。
172f74ce1ec74b33e63011284e666d9d.png
图11
脾血管形成:脾动脉。在到达胃门之前,脾动脉会发出短胃动脉,与胃动脉左和左网膜上动脉的分支吻合。
脾缺血:原因:栓塞、血液疾病、休克、门静脉高压、胰腺炎、外伤、医源性(介入手术、手术)
影像表现:梗塞的外观取决于闭塞的位置,无论是由于栓塞或异常细胞(血液学过程):脾动脉实质内分支:楔形低密度,顶点位于远端梗阻处,基底部朝向脾包膜。
3beac00f451eea73897133446db643ab.png
图12:CT门静脉期。楔形脾梗死脾动脉:普遍性实质密度减退或不增强,脾增大(由于水肿)   

图13:CT门静脉期。脾弥漫性梗死与肝梗死一样,其轮廓边缘是由梗死的时间顺序决定的。在某些梗塞中,由于侧支循环(胃短动脉),亚急性期可能出现“皮质边缘征”。
23f78528520d17fb6943d2c68ee69f02.png
图14:脾淋巴瘤患者的梗死和脾破裂(箭头)后遗症:脾脏局灶小梗死:实质回缩(瘢痕)或局灶性钙化弥漫性脾梗死:脾萎缩
80304961563ff0a5593f94cd05647782.png
图15:脾皮质瘢痕形成
肾血管形成:肾动脉逐渐分叉为节段动脉、叶间动脉、弓状动脉和肾小叶间动脉。在到达肾门之前,肾动脉会发出与肾上腺动脉、性腺动脉、腰动脉或膈下动脉吻合的包膜动脉,形成肾周动脉网。
肾缺血:
原因:栓塞、血栓形成、主动脉或肾动脉夹层、血管炎、外伤、休克、医源性(手术、介入手术)
影像表现:梗死的外观取决于闭塞的位置:
肾动脉实质内分支:楔形低密度,顶点位于远端梗阻处,基底部朝向皮质
892f58a7ed00c9c329c0f8526ec46b52.png
图16:CT门静脉期。楔形肾梗死肾动脉:实质广泛性弱强化或无增强,肾脏大小增加 (由于水肿) 和排泄不足
509af20860f14e437ce46f61e49265fe.png
图17:CT门静脉期。弥漫性肾梗死在大面积梗死中,由于侧支循环,6-8小时后(亚急性期)通常出现“皮质边缘征”(箭头)。
b80817e83e76335817fd9ab841c86f12.png
图18: 左:CT门脉期。皮质边缘征(箭头)。患者左肾动脉狭窄50%。右:CT门脉期。皮质边缘征(箭头)。右肾动脉血栓患者(箭头)在长期急性低血容量性休克的情况下,我们可以看到“反向边缘标志”(箭头)。这一发现解释了小叶间动脉血管收缩导致肾小球内皮损伤的皮质坏死的存在。
660369ea95713e16d4bb4109a4515896.png
图19:CT门静脉期。反向皮质边缘征(箭头)。Stanford A 型主动脉夹层患者在一些肾梗死中,我们可以识别“翻转肾强化”。是在增强CT的不同阶段,梗死的肾脏实质在皮质髓质期和肾实质期表现为低密度,而在延迟期则表现为高密度。这种密度交替变化可以在注射造影剂后的24-48小时内,在大约70-75%的肾脏缺血病例中发现。这种现象是由于受损的肾小球毛细血管通透性增加,导致造影剂渗出到细胞外间隙所致。它反映了肾脏梗死区域在不同时间点的血液灌注和造影剂分布的变化,有助于医生诊断和评估肾脏梗死的情况。
50aedee8e717ddbabb79ea4b4069d24d.png
图20: 右:CT增强肾实质期,低密度楔形区(箭头)。左图:同一患者48小时后的基础CT,高密度楔形图像(箭头)
后遗症:肾局灶小梗死:实质回缩(瘢痕)或局灶性钙化弥漫性肾梗死:肾萎缩皮质坏死:线状皮质钙化胃血管形成:胃小弯(左右胃动脉)、胃大弯(左右胃网膜动脉)、胃底(胃短动脉)。
胃缺血:鉴于胃丰富的血管网络,这种情况并不常见。
原因:休克、腹腔干栓塞/血栓形成、梗阻(导致明显的急性胃胀气)
影像表现:低强化增厚胃壁
f9ffb2662dd4736413c4604a7a2fccba.png
图21:CT门静脉期。胃壁增厚伴相关低强化(箭头)。十二指肠显示正常的造影剂摄取(箭头)壁内和门静脉积气、溃疡和胃胀(胃轻瘫)
4626761c291467157f8f483b177d46a4.png
图22:CT门静脉期。胃壁内气肿(箭头)、门静脉气肿(箭头)和肝梗死
肠血管:
动脉:肠系膜上动脉(升结肠和横结肠、小肠)、肠系膜下动脉(降结肠)静脉:肠系膜上静脉(升结肠和横结肠、小肠)、肠系膜下静脉(降结肠)
肠缺血:
原因:栓塞、血栓形成、休克氧气供应的减少逐渐损害肠壁的所有层,导致肠道出现痉挛性收缩,随后出现麻痹性肠梗阻。坏死细胞触发炎症反应,释放细胞因子,改变细胞间连接的通透性,细菌容易通过而播散,这可能导致脓毒性休克、多器官衰竭和最终死亡。
a6238c8e2a5ad0f14df4e2a33046912c.png
图23:肠缺血的生理病理学影像表现:
f0208bc25f92469eea0952485b3bdd3d.png
图24:急性动脉肠系膜缺血的放射学表现
56bc38572a7edfb05e8643d922c34fa3.png
图25: CT门静脉期。肝硬化上消化道出血(低血容量性休克)患者结肠壁的低强化和积气
ccd443158a6d8c8f6721d6c75faf7d10.png
图26: CT门静脉和动脉期。小肠和升结肠的低强化和积气,继发于肠系膜上动脉栓子的门肠系膜积气和腔外气体(与穿孔有关)
91c50c141005f568007969d2ceca8530.png
图27: CT平扫。左图:由于回结肠动脉的栓子,盲肠(箭头)和回肠末端积气。右图:心房粘液瘤是栓塞来源(箭头)
7484ca3b5f469dd24162892699e0ec70.png
图28:急性静脉肠系膜缺血的放射学表现
5d61685266aece934f394a2832f8b453.png
图29:CT门静脉期。上图:门静脉血栓形成(箭头)和肠系膜上静脉血栓形成。底部图像:升结肠和远端回肠壁增厚(“晕”征)(箭头)。了解导致每个器官坏死的生理病理学可以使放射科医生了解放射学表现,甚至确定病变的严重程度及其预后和治疗意义。特别强调了解和识别不可逆损伤的影像表现。
899da9bd308aa668c3b60a7543b4cc78.png

10.26044/ecr2022/C-14511
来源:博雅影像学
回复 关闭延时

使用道具 举报

您需要登录后才可以回帖 登录 | 注册  

本版积分规则

快速回复 返回顶部 返回列表