查看: 638|回复: 0

[中枢神经] 基底节区、丘脑对称性病变影像表现

[复制链接]

864

主题

373

回帖

299

日志

荣誉会员

积分
7034
QQ
发表于 2025-10-9 21:50:00 | 显示全部楼层 |阅读模式
本帖最后由 hyc3140 于 2025-10-9 21:51 编辑

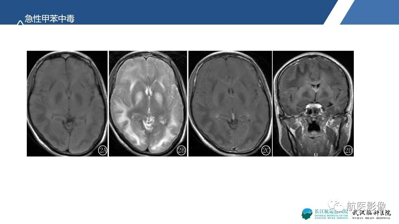
基底节区、丘脑对称性病变影像表现
6202012da49f2b5f34d5ddc2ebd03eca.jpg
dcc3b2a49e4f4d98078c8b6777822518.jpg
10fc6a44ddf82e8c932d7be5323cb28c.jpg
3671c2fecb9b19de59991e01f40c97c0.jpg
ccae627ff0b5ab276f587ad1db2be29c.jpg
d7eace0bd6400ae3ad5e8d7c8b6ba699.jpg
e7dc75c68e5ab5e897341102046d2c75.jpg
e002ebdd896505d3f667ea008a11f9bc.jpg
66f376642e6d5844560991028cac32ea.jpg
66e18be233a9617761121663848ca5ce.jpg
f880dd03bc5c8ad4306f7b8c0f83afc4.jpg
53024fd8e414a79b4f0bc934506e758c.jpg
c1ee2ea2c856ce88065dc0d706966822.jpg
6e599d899f18706cb2ae51061ae97d61.jpg
f0a5eda16004dd3381c3655eff3ae656.jpg
81c6d32430ae2da5b62e3e3e38d40961.jpg
1676276cbe29e10ca85a055bbb9325db.jpg
5eb5ef12a275471b9752582fa58c51f0.jpg
72f3de895fc79a2351899d1c88b1c573.jpg
e8b63e00e8ff3bcbb730b4f916496e6b.jpg
c234a23b737a417d6a11076b2e75c70b.jpg
655de49b5854517e9702ee52651c5185.jpg
9d5c52a9d1305205099023ec7ec819ab.jpg
adef268f3fe16ad5bbb5de6863bf505f.jpg
133b49b1c15c8babc85e65fdba40b5da.jpg
fac5261770800d77fe8488c1e907f6a4.jpg
c0665f819d90591e4b4c188956c557d7.jpg
b1a685052bac4da89e0de32091a4d00c.jpg
回复 关闭延时

使用道具 举报

您需要登录后才可以回帖 登录 | 注册  

本版积分规则

快速回复 返回顶部 返回列表