查看: 38330|回复: 0

[中枢神经] 临床超声进展

[复制链接]

639

主题

457

回帖

80

日志

管理员

积分
6049
QQ
发表于 2019-4-25 10:40:03 | 显示全部楼层 |阅读模式
Sriharsha Gummadi,John Eisenbrey, Jingzhi Li, Zhaojun Li, Flemming Forsberg, Andrej Lyshchik, Ji-BinLiu编者按:美国托马斯杰斐逊大学医院超声研究所综合排名全美第一,长期致力于超声临床诊疗、科学研究和教育培训,其在现代超声医学发展中占有重要地位。介入超声和超声造影剂的研究更是独树一帜。该研究所Ji-Bin Liu 教授、Sriharsha Gummadi博士等学者简述了超声医学的技术前沿、发展,临床应用拓展,以及高新科技在超声医学教育和患者服务的渗透,以飨读者。
摘要 现代临床超声的进展包括超声信号处理,成像技术和临床应用的拓展。超声信号处理将在以下几个方面改进:对比度、高保真超声成像,以及扩展二维成像和微血管(或微腔)识别;相似的应用软件,如容积超声,自动或智能超声和融合成像等,均是立足于复杂的解剖空间结构识别技术,以解决单平面超声图像信息的有限性和超声图像的操作员技术的依赖性。超声设备发展逐步便携化,微型化及远程5G时代。超声探头技术的发展,使得浅表器官如眼睛、皮肤、神经阻滞、血管介入等学科迅速发展。本篇论文对超声发展方向未来潜在的临床应用作以概述……
2c1d3fd71713959f38971a2e55c880d2.jpg
图1. 微泡非线性散射:亚谐波(1/2基波频率)和二次谐波(2倍基波频率)及超谐波(n倍基波频率)。

f79e5f2b4994f24b12a4bf8bc1d4ac88.jpg
图2. 超声造影结合微血管成像技术:肾皮质微血管树(MFI,佳能医疗)。

d5f4723546e5226036a9cce4654e2ee9.jpg
图3.  亚谐波超声造影三维成像:兼顾肾脏血管的宏观和微观显像。

b6330b4d541f3850bf15d43c0c4747f1.jpg
图4.高分辨率超声结合高级动态血流技术:食指末梢血管网(图片由佳能医疗提供)。

1a8b87678de2f5573214188427071f85.jpg
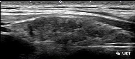
4f9bfee1855311714340ef2f7ff4e7be.jpg
图5.二维超声显示甲状腺肿瘤(A)和SMI技术显示丰富的肿瘤滋养血管(B)。图片由佳能医疗提供。

413d0b1e5f21e7f141eaf3cd4fd5d80b.jpg
图6.容积三维:清晰的子宫内胎儿面部形态及三维空间解剖结构。

11b11a8beee061e4de2432354f77344c.jpg
图7.  盆腔容积超声:智能识别盆腔结构和自动测量。图片由迈瑞公司提供。

9e965b2532c12fd6d79e6886b86edf4b.jpg
图8. 智能心脏三维定量(HeartModelᴬ⋅ᴵ⋅)是一个三维定量工具,可以在数秒内提供可靠的、可重复的射血分数(EF),从单个容积中同时计算左心室和左心房的容积。飞利浦医疗供的图像。 LV:左心室; LA:左心房

623dfd1dde99de2f4d4493b5706f31b7.jpg
图9.超声造影-CT融合成像:实时融合图像导航靶向肝脏组织活检。图片由佳能医疗提供。

5c31073bfa37719f7f63771f7aff7f40.jpg
图10.超声造影急诊中的应用:超声造影显示腹部创伤脾破裂(SP)、血肿(H)及出血点(箭头)图片由吕发勤(Faqin Lv)博士提供。

87e98f893d97bfc2cbb742caf0c2e389.jpg
图11. 便携式超声:携带方便笔本电脑式的超声仪器(开立公司,深圳,中国)。

6f1d83b523dbdf28fba6bbaa7ada1ca2.jpg
图12.掌上超声:与智能手机无线连接,实时传输显像。 (Sonostar,广州,中国)。

62a073a9f73c393e4d7f891b4733fe3e.jpg
图13.5G便携式超声:可实现实时远程会诊 (深圳华声医疗技术有限公司).

5ba0063b55ad792b7acf7e7877d11e92.jpg
图14.轻型六轴机器人系统:机器人超声检查系统,探头(箭头)操作灵活、稳定。(Kuka,Augsburg,德国)。

bf363b768d9a889d1fc3b677dac064fd.jpg
图15.  机器人远程超声系统:远程操作,远程会诊(Mode MGIUS-R3, MGI Tech Co., LT,中国深圳)。

20d960b14b3a250a0c418c5fefd8a336.jpg
图16.  超高频超声:70 MHz 超声显示皮肤层:表皮(E),真皮(D)和皮下层(S)及真皮内静脉(箭头)。

9396a0b5fe1da6c24efd17d75c8ebef2.jpg
图 17.超高频超声生物显微镜成像:正常眼睛浅表组织的解剖结构。图片由杨文利(Wenli Yang)博士提供。

546fc486f13a3b0a0ad7cef530abdd2b.jpg
图18.超声造影评估原发性干细胞肝癌(A)治疗前及经动脉化学栓塞治疗(TACE)后2周(B),MRI随访6个月确认肿瘤完全治愈。

611829f61febeebbbd360c1998ac2939.jpg

图19. 肾脏不确定病灶的定性:超声造影明确为多发肾囊肿,特点,壁薄、内部无血供。


219d4a41f54507d4bc077da011e8c73f.jpg
图20.胆道超声造影:胆管癌患者,经左肝管PTCD引流管注射超声造影剂,仅显示左肝内胆管分支,而左肝管被截断,右肝内胆管和胆总管未显示。图片由郑荣琴(Rongqin Zheng)博士提供。

618972069d2e6a7614b451a689b27e17.jpg
图21.淋巴结超声造影:猪黑色素瘤周围皮下注射Sonazoid后,显示前哨淋巴结(SLN)和引流淋巴通道(箭头)。

111abc988fe7bfaa8b43747affb004ce.jpg
图22.超声引导颈神经阻滞。清楚显示针尖和针轨道(箭头)及第五颈神经根(白色箭头)与前斜角肌(黄色箭头)的解剖关系。图片由陈定章(Dingzhang Chen)博士提供。

9f42cf6c45bdeb2ee3a3bf411ac4dd1b.jpg
图23. 实时超声引导:24G导管(箭头)插入左桡动脉(RA-LEFT)。
AbstractAdvancesin modern clinical ultrasound include developments in ultrasound signal processing,imaging techniques and clinical applications. Improvements in ultrasoundprocessing include contrast and high-fidelity ultrasound imaging to expandB-mode imaging and microvascular (or micro-luminal) discrimination. Similarly, volumetric sonography, automated or intelligent ultrasound, and fusion imaging developedfrom the innate limitations of planar ultrasound, including user-operatortechnical dependencies and complex anatomic spatial prerequisites.  Additionally, ultrasound techniques andinstrumentation have evolved towards expanding access amongst clinicians andfor patients. To that end, portability of ultrasound systems has becomeparamount. This has afforded growth into the point-of-care ultrasound andremote or tele-ultrasound arenas. In parallel, advanced applications ofultrasound imaging have arisen. These include high frequency superficialsonograms to diagnose dermatologic pathologies as well as variousintra-cavitary or lesional interrogations by contrast-enhanced ultrasound. Propertiessuch as real-time definition and ease-of-access have spurned procedural andinterventional applications for vascular access. This narrative review providesan overview of these advances and potential future directions of ultrasound.
Keywords: High resolution ultrasound; Point of care ultrasound; Contrast enhanced ultrasound
源引:ADUT, 2018,2(2):  51-63.
作者:Sriharsha Gummadi, John Eisenbrey, Jingzhi Li, ZhaojunLi, Flemming Forsberg, Andrej Lyshchik, Ji-Bin Liu本文引用格式:Sriharsha Gummadi, John Eisenbrey, Jingzhi Li, Zhaojun Li, Flemming Forsberg, Andrej Lyshchik, Ji-Bin Liu. Advances in Modern Clinical Ultrasound. AUDT,2018, 2(2): 51-63. http://www.journaladvancedultrasound.com/EN/abstract/abstract17.shtml
通信作者简介
1a30aaa842093028f91668904f677109.jpg Ji-Bin Liu, MD, FAIUMEditor-in-ChiefAdvanced in UltrasoundDiagnosis and Therapy
回复 关闭延时

使用道具 举报

您需要登录后才可以回帖 登录 | 注册  

本版积分规则

快速回复 返回顶部 返回列表