查看: 26069|回复: 0

莫被蛛网膜颗粒 “唬住”

[复制链接]

639

主题

457

回帖

80

日志

管理员

积分
6055
QQ
发表于 2019-4-26 18:33:25 | 显示全部楼层 |阅读模式
蛛网膜颗粒
74a08506d91eba5b4dea80684da01384.jpg


fe73b6bf09a980b3f76721b562716f60.png

静脉窦血栓?占位?

NO!蛛网膜颗粒 是也


e18b6149d31d3e8b5f29cf6d97aaeae1.jpg

蛛网膜颗粒含有不同密度的纤维结缔组织,包括成纤维细胞、散在的蛛网膜细胞巢、不规则的小血管网和潜在的内皮细胞间隙

典型的蛛网膜颗粒包括核心部分及其周边的包膜。

核心部分为疏松的结缔组织,由蛛网膜穿过硬脑膜内的孔聚集而形成,其内有广泛的小梁状的间隙和内皮细胞通道。核心部分的表面为蛛网膜细胞聚集而构成所谓的蛛网膜细胞层。

周边的包膜由纤维组织构成,与硬脑膜相延续,包膜与核心部分之间隔以硬膜下间隙,其在蛛网膜颗粒的顶端逐渐消失。通过电镜下观察发现软脑膜及其外方的脑脊液亦进入蛛网膜颗粒。


d95a8ea68ee6fb4e21b89843bbbc5f33.jpg

33×电镜扫描照片,上矢状窦(sss),ga为蛛网膜颗粒;与硬膜相连;大蛛网膜颗粒可见蒂(p)和体部(co)。

蛛网膜颗粒的功能

目前认为蛛网膜颗粒的功能主要是重吸收脑脊液,当颅内压高于静脉压3~6cmH₂O脑脊液即开始自蛛网膜下腔进入硬脑膜窦 。

蛛网膜颗粒的影像学表现

X线平片仅见蛛网膜颗粒对颅骨形成的压迹,呈边缘锐利的低密度区,一般只累及颅骨内板,少数累及板障和颅骨外板,形成骨缺损。压迹多位于顶前区,中线旁13mm~15mm的区域,为上矢状窦外侧隐窝内的蛛网膜颗粒压迫颅骨所致。


bb433ee3ad8e48e3b6ea742877c83776.jpg

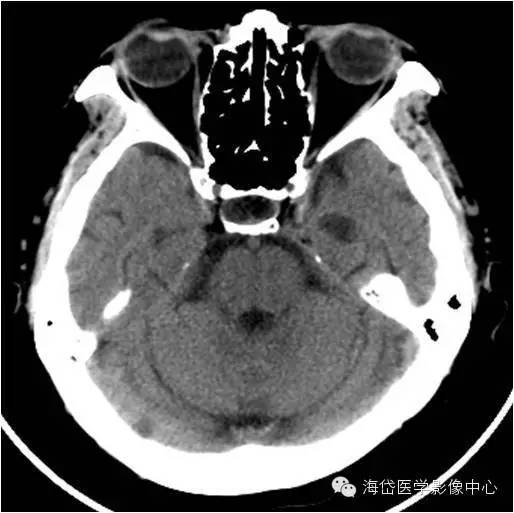
蛛网膜颗粒CT表现

CT平扫和增强均表现为静脉窦内的圆形低密度或充盈缺损,以增强后薄层扫描显示最佳。增强扫描蛛网膜颗粒的中心可有强化,为进入蛛网膜颗粒的静脉强化,或与硬脑膜窦相通的内皮细胞间隙强化所致。

平测CT值绝大多数蛛网膜颗粒和脑脊液的密度相似。少数蛛网膜颗粒可以发生钙化,钙化可以位于蛛网膜颗粒周边、中心或完全钙化。蛛网膜颗粒亦可以有颅骨迹,压迹明显者可达颅骨外板。


d63cdd5cea2ad1d23edc7d33d56e6199.jpg


0ecbccfa794ef5820afaf147ac6a352e.jpg

蛛网膜颗粒磁共振表现

T1加权像:蛛网膜颗粒为低信号;

T2加权像:为高信号,信号强度等同于脑脊液;

质子加权像:蛛网膜颗粒信号变化较大。

FLAIR像:该序列反应的是CSF的信号,90.3%与脑脊液等信号,9.7%信号强度介与脑脊液和脑灰质之间

弥散加权成像(DWI):纤维结缔组织的存在限制了其内水分子的弥散运动,蛛网膜颗粒与脑灰质等信号


dc707e87ad8cb7c8e5f013b69afef844.jpg

895f23ef2fd9d69160e9f2f13464feeb.jpg
29216896ee9cc47431a6dc27b22fa53f.jpg

磁共振各序列信号的变化反应了蛛网膜颗粒的组成成分。

蛛网膜颗粒由纤维结缔组织及其内的脑脊液组成,两者的比例不同导致质子加权像的信号变化;纤维结缔组织的存在限制了其内水分子的弥散运动,而弥散加权成像与脑灰质等信号。常规SE序列及FLAIR则主要反应脑脊液的信号。

注意:静脉可直接进入蛛网膜颗粒内


7e47831b1c203fc5d55da9a102ce2ed0.jpg

2914f30edd81772ac4eba81215771ee6.jpg
与静脉窦血栓鉴别

静脉窦血栓表现为静脉窦内充盈缺损,边界不规则;范围较广,可累及相邻静脉窦、浅表皮层静脉,甚至大脑深静脉,伴所在静脉窦扩张,静脉窦壁侧支循环;血栓信号类似于血肿随时间变化而变化;脑实质内可见静脉性水肿或出血。

蛛网膜颗粒表现为静脉窦内局限性充盈缺损,圆形或半圆形,边界规则;其所在静脉窦不扩张,大多数与脑脊液等信号或等密度;常位于静脉汇入静脉窦处,见静脉直接进入蛛网膜颗粒。
29f7ae64ba07e28e2c82474082d5c2d8.jpg


回复 关闭延时

使用道具 举报

您需要登录后才可以回帖 登录 | 注册  

本版积分规则

快速回复 返回顶部 返回列表