查看: 22260|回复: 0

陈起航:肺部弥漫性渗出病变的影像思路|CACP 2019

[复制链接]

864

主题

373

回帖

299

日志

荣誉会员

积分
7074
QQ
发表于 2019-7-2 13:15:13 | 显示全部楼层 |阅读模式
9d13fa2d2ee05f6be92ef03cff7f0c8c.jpg

渗出性病变(Exudation)是一个病理生理名词,是炎症局部组织血管内的液体和细胞成分,通过血管壁进入组织间质、体腔、粘膜表面的过程。


渗出性炎症有以下几种类型

63c4b6535cb48ff760aa119c574d1d24.png •浆液性炎症
•纤维素性炎症:血管壁损伤,大量纤维蛋白原渗出到血管外
•化脓性炎症:大量中性粒细胞渗出,伴不同程度的组织坏死和脓液形成
•出血性炎症
•卡他性炎症

「浸润影」代表什么意思?

2006中华医学会呼吸分会CAP诊治指南中提到
1.新近出现咳嗽、咳痰或原有呼吸道疾病症状加重,并出现脓性痰;伴或不伴胸痛
2.发热
3.肺实变体征和/或湿啰音
4.白细胞>10×10^9/L或<4×10^9/L,伴或不伴核左移
5.胸部X线检查显示片状、斑片状浸润性阴影或间质性改变,伴或不伴胸腔积液
1~4项中任何一款加上第5款,除外……

2016中华医学会呼吸分会CAP诊治指南更新
1.社区发病
2.肺炎相关临床表现:(1)新近出现咳嗽、咳痰或原有呼吸道疾病症状加重,伴或不伴脓痰、胸痛、呼吸困难及咯血;(2)发热;(3)肺实变体征和/或闻及湿性啰音;(4)外周白细胞>10×10^9/L或<4×10^9/L,伴或不伴核左移
3.胸部影像学检查显示新出现的斑片状浸润影、叶或段实变影、磨玻璃影或间质性改变,伴或不伴胸腔积液
1、3及2中任何一项,除外……

在2006年和2016年版的指南的影像学检查中都提到了「斑片状浸润影」,但是2016年与2006年指南不同的是添加了「实变影、磨玻璃影」,这三种阴影并列存在,那么浸润影到底代表什么呢?

浸润也即infiltrate,在Fleischner协会制定的名词术语中有这样一段话 [1],浸润影就是肺内的区域性阴影,可以有气腔性或者间质性病变。但是很有意思的,浸润影的定义存在争议,因为不同的人有不同的理解,所以内容的解释不一定相同。


2d4f79e68fa40d03c6f1c64b7f03df0f.jpg

这是一项针对放射科医师有关浸润影代表什么(可多选)的调查 [2]

fa5a39a41c16aec0dabc72445d04d8a1.jpg
Radiology.2005;235(1):2-8.



结果显示认为浸润影代表细菌性肺炎、非特异性炎症、间质性肺炎、病毒性肺炎、实变等,五花八门。平均5.7,SD±3.2,中位数6,所以浸润影在临床的操作中会存在一些问题。


在Fleischner协会公布的名词指南中确定了「浸润」的定义 [1]

X线或CT:这个术语以前用于描述肺内区域性阴影,可以是肺实质或肺间质病变。目前这个术语仍然存在很多争议,因为不同人有不同的理解,现在已不推荐使用该术语,以「阴影」替代

下面来介绍渗出性病变可能出现的影像学表现

渗出性病变的影像学特点主要分两类——密度和形态:

1密度
实变影;磨玻璃影;液性阴影和含气阴影(空洞)。

69605b7678a11a4c485b83c6c5ed343d.jpg 1 实变影、2 磨玻璃影、3 液性阴影、4 含气阴影(空洞)

  
2
形态
病变的形态包括大叶(段)性阴影、小叶性阴影、腺泡状阴影、小叶中心阴影、类球形阴影(晕征、反晕征)、不规则状等。


12cba5419324241523f2939ba1d1e0bd.jpg 1 中叶大片的大叶性阴影、2 小叶性阴影、3 腺泡状阴影、4 类球形阴影 5 小叶中心结节及晕征 6 不规则改变


影像表现多种多样,如何进一步归类?


弥漫性渗出性病变的影像学分型可以分为以下五大类
•两肺广泛实变影
•多灶性斑片状实变影
•多发空洞性病灶
•多发结节和肿块
•磨玻璃影(以CT为主)

小提示:X线胸片显示的磨玻璃影不太可靠,因为前后重叠的原因,实变影可显示为类似磨玻璃影。如果要确定为磨玻璃影,建议使用薄层CT。

1
两肺广泛实变影
影像学表现为两肺较对称的实变阴影(不论大片阴影或小片阴影),病灶大小可从小斑片状阴影到两肺广泛实变影。



f29e3ee2759884347d78b8e9ee2fa5b2.jpg
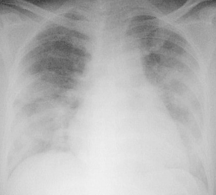
两肺对称、密度增高的阴影


这是一个患有SARS的病人,在2003年非典时期。刚开始只有左下肺有实变影,4天后,两肺的实变影对称,但是发展迅速,又过了1天,表现为两侧肺对称性的实变影,呈类似肺水肿改变。



636952ce58533034c23a64b2dd6b8dc8.jpg
SARS


常见的病因有哪些?
首先考虑感染性疾病,比如病毒性肺炎、PCP、重症肺炎,还要考虑非感染性病变,包括肺水肿、ARDS、肺出血、吸入性肺炎、药物反应、毒气吸入、肺栓塞(羊水栓塞、脂肪栓塞)、肺泡蛋白沉积症

我们来看几个小病例

病例1:重症肺炎

男性,85岁,发热、气短。1月17号表现为两肺斑片状实变影,经过一轮治疗,效果欠佳,病情继续进展,两肺比较对称,没有心衰,也没有水肿的改变。最终诊断是重症肺炎,调整碳青霉烯类药物的治疗后有所好转。



c5ab476ddc622fb9cfc67f8a5cfda05b.jpg
病例2:吸入性肺炎

两肺在肺门周围的实变,虽然两侧比较对称,但是对于吸入性肺炎的病人来说,主要看病人的体位。因为不同的体位会表现为对称或不对称,特别是仰卧的时候,可能吸入性肺炎的位置在两下叶肺段,位置比较低,所以可以表现为肺门对称,容易误认为是肺水肿的改变。


31cc62155485dee227ce39989a3d2fac.png
病例3:ARDS

两测有类似肺水肿样改变,对称,但心脏并没有明显增大,也没有显示上肺血管增粗、肺淤血的表现,所以这是ARDS的典型改变。



2729669c5a95bf31123c799d385eb728.jpg


2
多灶性斑片状模糊影
影像学表现为两侧不对称或单侧多发病灶(两侧不对称的病例相对较多),这种类型在感染性肺病中更常见。

常见病因比较多,在感染性病变中包括各种细菌性炎症,特别是肺结核,往往是不对称的,还有真菌感染、支原体肺炎。非感染性病变中还要考虑嗜酸性粒细胞肺炎;吸入综合征、放射性肺炎;SOP或COP;血管炎(EGPA、SLE)、肺肾综合征。还要想到有肿瘤的可能,比如肺腺癌、淋巴瘤、Kaposi’s 肉瘤等,这些也可以表现为两测不对称。

再来看几个小病例

病例1:继发性肺结核

两肺病变,但是以右肺为主,总体的病变都在中上肺。



5b19a871415564924fb368369b9082b2.jpg

病例2:心肌梗塞

这是一个心肌梗塞的病人,入院后出现心衰肺水肿,不是感染,可以看见肺门周围实变影,肺水肿一般是两边比较对称,但本例显示右侧比左侧更明显。不对称时可能与病人的体位有关。这个病人可能是以右侧卧位较多,故表现为以右侧为主的两侧不对称的改变。



bab803909e0660f73d9ae28fd0552dd4.jpg

病例3:肺腺癌

这个病人表现为两肺多灶、多斑片的实变,在右中下叶肺可以看到实变,仔细看两肺还有一些小点状。CT表现为右上叶明显实变,实变外周有小结节影,更低的层面可以看到右中叶明显实变影,另有磨玻璃影,右下叶有些实变影以及小叶中心的结节。在对侧,主要更多的是一些细小的点状。这个病人低烧,刚开始会想到炎症,但是这个病人不是常见的炎症表现,第一是因为边界比较清楚,第二是由于外周伴有小结节,所以这时就要小心,说明这个病变不是急性,要想到炎症之外的病变。这个病人最后诊断为肺腺癌。


15872e82763b62ab153ad12efd5a7116.jpg
a640cd8a3d4eb34070aab3b9c88c4cf0.jpg
3
多发空洞性病灶
影像学表现为肺实质内多发空洞阴影,可合并斑片状实变影或结节影。

这个病人表现为多发病变,在实变内可以看到空洞样改变,这种空洞很漂亮,为典型的空气新月征。诊断比较明确,这个病人有免疫抑制的状态,为真菌感染。


f09fe3116670429bb6ecf96ea595c2d0.jpg

有哪些常见感染疾病?
感染性病变包括细菌性肺炎(金葡菌、假单胞菌、克雷伯菌、厌氧菌、奴卡氏菌);真菌、结核、寄生虫(肺吸虫)。非感染性病变包括GPA、肺梗塞(单纯肺梗塞不会出现空洞,往往是合并感染);囊性支气管扩张并感染。鉴别诊断主要注意转移瘤。

病例1:肺结核

X线胸片表现为在两侧中上肺有斑片状阴影,隐约可以看到小的空洞样病变。CT显示的很清楚,可以看两肺尖空洞,周围有小的点状播散病灶。在上叶前段、左上叶尖后段也有空洞,这些空洞的周围可以看到树芽征,小叶中心的病变。所以这是典型的以中上肺分布的伴支气管播散病灶,为典型的肺结核病变。



8f4450ce4d4da59570a3e19355c2ef50.jpg
cbc2d79e9ae9dbaf2f1eaa48fe964705.jpg

病例2:奴卡氏菌感染

这个病人是肾病综合症,激素治疗,发烧。两肺可以看到类似于结节样病变,还有一些空洞性病变。CT能够明显看到液化坏死、空洞形成。这样就要考虑到感染性病变,特别是要想到真菌感染的可能。患者有免疫受损,空洞内液化很明显,而且似乎可以看到气液平面。这样真菌感染的可能性较小,因为真菌感染往往出现空洞,但是空洞不太容易液化,因为它是一种凝固性坏死。这个病人最终诊断为奴卡氏菌感染。



1e62890536b5712706299c6d86f137ce.jpg

病例3:肺腺癌转移瘤

多发的空洞,但是结节的大小不等,大的可以看到有空洞形成,还有左肺的容积明显缩小,左下叶缺如(术后)。这个病人诊断为肺腺癌两肺转移。



3e5e2167a6c2f5304bad4c2f4326bc47.jpg

4
多发结节和肿块影
影像学表现为多发圆形或类圆形阴影,大小不等。

常见的病因中首先考虑的还是感染,特别是真菌感染,比如隐球菌、念珠菌、曲菌病等,可以表现为结节而没有明确的晕征或者反晕征的表现,比如奴卡氏菌、结核(常见)或寄生虫感染都可以表现为结节。在非感染性病变中要考虑血管炎(GPA)。鉴别诊断包括肿瘤性病变(转移瘤、淋巴瘤)。

病例1:重症肺炎

男,28岁,发热一周,咳嗽气短2天。虽然很年轻,但是住院时的病情很严重。虽然右上肺有斑片实变影,但两肺有广泛不规则的结节。CT显示的大多数边界不清晰,边缘有些类似磨玻璃影,右上叶可以看到磨玻璃样改变。这是不规则结节,不像肿瘤性病变呈边界比较清楚、比较圆的结节。这个病人的诊断是重症肺炎,调整治疗后效果很好。



7105df44d8345d6d12196a10bba092b9.jpg
5b04229458e03c71e7140f00d5f27323.jpg

病例2:曲霉菌感染

血液病病人,治疗后发烧。两肺多发结节,大的团块可以看到充气支气管征,实际上这是一个实变影,有大肿块和小结节。血液病的病人治疗后,如果出现这样的结节,首先想到真菌感染。这个病人最后诊断是曲霉菌感染。


adf61efd631a2a47c55494627805c75e.jpg
病例3:GPA(肉芽肿性多血管炎)

这是一个发烧的病人。CT显示左肺尖有肿块,右肺尖有结节,在膈角区可以看到团块影,右下叶在膈肌下面可以看到结节影。在右肺门也可以看见这种改变,实变边界比较清楚,中间可以看到充气支气管征。像这种不是都是一个肿块,因为肿块主要是一种占位性病变,支气管应该变细或者消失。所以出现这种病变应该想到有肺泡填充性的病变,病人发烧,除了考虑感染外,还要想到非感染。这个病人最终诊断的是GPA。


94d485e7d87b46e28e38f258bf649b21.jpg
7d630447d2b0f5878227019ebcd511e6.jpg

5
磨玻璃影
两肺弥漫的磨玻璃影在鉴别诊断中比较麻烦,因为它涉及的病变很多,形态也差不多。X线平片可以正常或仅呈淡云雾状影,但是CT比较明确,肺密度增高影但不掩盖其中的血管影。


两肺弥漫磨玻璃影的常见病因,感染方面主要是病毒性肺炎、PCP,这两种疾病的主要表现为两肺磨玻璃影,一部分支原体肺炎也可以表现为磨玻璃影,但很少两肺对称,一般不对称或者是一个肺叶或两个肺叶的改变。对于非感染病变来说,包括ARDS、AIP、肺水肿、肺出血、急性嗜酸性细胞肺炎、放射性肺炎

病例1:PCP

这是一个47岁男性患者,发烧。X线胸片显示两上肺有些实变,仔细看在肺门周围有淡淡的密度增高。CT显示上肺实变影,在肺门周围及更低的层面都可以看到磨玻璃影,下肺相对较少,两肺病变以磨玻璃影为主。如果发烧的病人出现这种改变首先考虑病毒性肺炎和PCP,但病毒性肺炎往往在下肺多一些。所以对于这个病人而言,放射科怀疑PCP并提醒临床检查HIV,结果为HIV阳性,后来诊断为卡氏肺孢子虫肺炎。


a0f45db108e41f1bcb74fd780c728ee6.jpg
2b5f858992b4207e117aa03a19edcd0d.jpg

病例2:吸入性肺炎

这是一个89岁的老年男性,低烧。胸片显示淡淡的密度增高阴影,但CT很明确的显示为两肺磨玻璃影,在两下叶肺门后区域,中叶比较贴近叶间裂的位置。对于这样的位置,考虑吸入性肺炎,但是肺水肿也可以表现为两肺密度增高、磨玻璃影,通过追问病史发现病人因为喝水呛到了,所以诊断就比较简单。


当两肺对称的弥漫性磨玻璃影,在鉴别诊断时除了考虑病毒性肺炎或卡氏肺孢子虫肺炎,还有肺出血、肺水肿,这几种疾病在影像学上可以一模一样,但是临床表现明显不同,较容易鉴别。


50e880b8afc43b3721b048525c1786d3.jpg
117fb63173f9f6bfb4503fba9d21834c.jpg
病例3:弥漫性肺泡出血

女性,45岁,胸闷咳血。影像学表现比较典型,两肺磨玻璃影,外周无小叶间隔增厚,另外未见胸水。



2564d5dab80db198bed1d51f1053839b.jpg



9f6b74f099b735c7e55596bf77c9299d.png
小结
渗出性病变是肺部炎症最主要病理生理改变,影像学从密度上可以表现为实变、磨玻璃、液性、含气病变,形态上可呈多种多样,比如大叶、小叶、树芽征等。鉴别诊断需考虑感染和非感染两类疾病,影像学根据不同影像分型,有助于缩小诊断范围,但对于判断何种病菌感染无明确价值。



* 参考文献
[1] Hansell DM, et al. Radiology 2008;246:697–722
[2] Radiology.2005;235(1):2-8.



专家介绍



f291b819f6c71d2d4ad189dad4d1f8a5.jpg 陈起航

北京医院呼吸病学研究中心副主任,放射科主任医师,副主任;中华放射学分会心胸学组顾问;中华呼吸病学分会间质病学组成员;中华预防医学会呼吸预防与控制专业委员会委员;中国医师协会呼吸医师分会呼吸放射工作委员会副主任委员;亚洲胸部影像学会执委。




推荐阅读
1
肺部网状影通常提示间质性病变,哪些其他征象需与之鉴别?
2
肺栓塞的影像学诊断常见哪些困惑?如何从细微差距中鉴别诊断?
3
肺部感染患者的影像学多有奇怪之处,哪种少见病的影像检查是诊断及确定分型的关键?



56736467621a6c2b81379ad5f6193b09.gif 点击文末「阅读原文」,搜索《呼吸界》更多往期文章



0117fe07bca18c62dca6f0260e38fb38.gif
9f6b74f099b735c7e55596bf77c9299d.png
回复 关闭延时

使用道具 举报

您需要登录后才可以回帖 登录 | 注册  

本版积分规则

快速回复 返回顶部 返回列表