查看: 8757|回复: 0

[心胸] NEJM 病例挑战:罕见肺疝一例

[复制链接]

864

主题

373

回帖

299

日志

荣誉会员

积分
7094
QQ
发表于 2022-5-24 21:16:21 | 显示全部楼层 |阅读模式
NEJM 病例挑战:罕见肺疝一例
B1422428629_small.jpg
  基本病史:患者咳嗽后出现胸痛症状
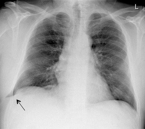
  病例特点:胸部X线片显示左肺的基底部肺实质影延伸到胸廓左肋的外侧。胸部CT检查结果证明上述结论,左肺实质通过左下肋间外侧疝出,同时左侧胸腔伴有中等量胸腔积液。病人接受了肺疝手术,成功修复。
  病例学习
  肺疝可以根据其解剖位置和发生的机制(先天性或后天性)进行分类。
A1422428036_small.jpg
A1422428037_small.jpg
  根据起源,1847年Morel-Lavallee将肺疝分为先天性和获得性:
  1、先天性
  2、获得性(最常见):病理性;感染性;外伤性;医源性(如后胸开口)
  肺疝根据解剖位置可分为:
  1、颈背部:占35%左右,肺组织通过胸廓入口前区,前斜角肌和胸锁乳突肌之间的颈部筋膜薄弱处疝出,最常见于老年伴有肺气肿的患者。
  2、肋间部:占70%左右; 多为为胸壁减弱或异常升高的胸内压导致(如举重运动员,乐器演奏者)。在外伤引起的病例中,肺疝可以外伤冲击后立即发生或数年后发生。
  3、横隔膜:非常少见

来源:丁香园 作者:haitao1230

希望疫情早日结束!
回复 关闭延时

使用道具 举报

您需要登录后才可以回帖 登录 | 注册  

本版积分规则

快速回复 返回顶部 返回列表