查看: 7224|回复: 0

[中枢神经] 11类中枢神经系统疾病的强化模式

[复制链接]

864

主题

373

回帖

299

日志

荣誉会员

积分
7078
QQ
发表于 2023-10-7 23:12:42 | 显示全部楼层 |阅读模式
本帖最后由 hyc3140 于 2023-10-7 23:24 编辑

中枢神经系统疾病的强化模式。
49a52eb62d86240203104e9b921eaecc.png
1、硬脑膜弥漫性强化;2、硬脑膜局灶性强化;3、软脑膜强化;4、脑回样强化;5、脑室周围强化;6、血管或血管周围强化;7、结节或肿块;8、光滑环状强化;9、不规则环状强化;10、开环强化;11、囊壁结节强化。

一、正常增强:
3165a263f8c25bad47e158004b687b55.png
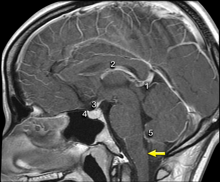
大脑中没有血脑屏障的结构或轴外结构将显示正常的增强。这些结构是硬脑膜、松果体 (1)、血管 (2)、垂体柄 (3) 和垂体 (4)、脉络丛 (5) 和延髓极后区(箭头)。延髓极后区含有丰富的有孔毛细血管,位于第四脑室底部的正下方。

63165c12a0c7629bbaef6791055423d2.png
硬脑膜是轴外结构,因此 没有血脑屏障。约一半的人可以看到对比增强,表现为薄、光滑和不连续的线样强化。

二、弥漫性硬脑膜增强模式

6db7a5f083366593621e08b6edd9e438.png
常见于手术后和低颅压综合征,也见于转移瘤,静脉窦血栓形成,肉芽肿性硬脑膜炎(如结节病,结核等),IgG4相关性硬脑膜炎。
1、低颅压综合征:
低颅压综合征是一种颅内压力或脑脊液容量异常低 。典型表现为持续性直立头痛。可由手术、腰椎穿刺、脑室引流和“自发性”脑脊液漏等引起。自发性脑脊液渗漏见于 硬脑膜前撕裂(1 型)、神经根憩室渗漏(2 型)或 脑脊液静脉瘘(3 型)。进一步寻找脑脊液渗漏病因需要脊柱影像学检查。脑脊液渗漏可以通过放置硬膜外贴片来治疗。
MRI表现:
约10%表现正常;
脑下垂及继发改:胼胝体压部降低;下丘脑低平,可能紧贴垂体和鞍背;中脑缩短;小脑扁桃体下疝等。
静脉压增高:硬脑膜弥漫性增厚,强化;静脉窦扩张;垂体膨隆等。继发改变:如脑室变窄;小静脉牵拉破裂,导致硬膜下血肿等。

1820aa13806f08eb4892fcaf212d71c2.png
硬脑膜弥漫性增厚强化;脑室变窄。

670dcc546a5fd520e12b8f8e5f792c7f.png
图1为治疗前,主要表现为脑下垂(胼胝体压部,下丘脑,中脑及小脑扁桃体等,继发垂体膨隆);图2为治疗后,脑下垂明显改善。

2203e22384c1c2113fb55bbf6918b219.png
T2显示脑外间隙水肿表现,增强扫描显示硬脑膜增厚强化。
d9d8bffeea04227c967669b004524bdf.png
上矢状窦、横窦及颈椎管硬膜囊前静脉丛扩张,脑下垂。

2、IgG4 相关性肥厚性脑膜炎
许多我们过去称之为特发性肥厚性脑膜炎的病例实际上与IgG4有关。IgG4相关疾病是一种自身免疫性疾病,可影响胰腺等许多器官。脑膜可能受累。

2473035773d7935862fe0de592de0116.png
8293f39ad4c7e375a92017c7c4d9c220.png
男性,患有左侧大脑中动脉供血区梗塞,硬脑膜弥漫性增厚强化,活检证实为IgG4相关性肥厚性硬脑膜炎,皮质类固醇治疗后,好转(最后一幅图)。

bde978f5f763fe1749d4dcfacefa2bf3.png
硬脑膜弥漫性增厚强化,略显不规则,向内听道内延伸。无静脉窦扩张。

三、局灶性硬脑膜强化模式

ff22e41d2f0b540ad1d002df227a1b96.png
见于:脑膜瘤;术后;转移瘤;淋巴组织增生性疾病;肉芽肿(如结节病,结核等);IgG4相关性等。淋巴组织增生性疾病包括淋巴瘤、淋巴细胞白血病、多发性骨髓瘤、LIP 等。硬脑膜淋巴瘤一般为继发性,即淋巴瘤从身体其他部位开始并扩散到大脑。而脑实质淋巴瘤多发原发性。1、脑膜瘤:这里仅举几个示例。
0f767eb2186260ffda8ca3692f15eb17.png
831da9987410e712756de886c8c1ab4c.png
2610527aa16bbdd75ac16f74aa3c7d45.png
62a447eb621b1b03f3617e148c98af8d.png
6743cdd67a90bc2cb0997d48ce8cb259.png
a302b5c3c5c7326d1df2eb1769555c02.png

2、转移瘤:

b16bd660a2f7d424c7f00b4b5b2cdb5c.png
58岁肺癌患者,可见多处硬脑膜肿块,类似脑膜瘤

dc19772c8641f98b70a443393a012ead.png
2个月后复查,肿块明显增大,且边缘不规则。
3、淋巴瘤:

ba52469747ef88cd5fc37aec7627f870.png
硬脑膜肿块,弥散明显受限,胫骨病变活检证实为淋巴瘤。

abdbfcf102c89667198590ba0a272119.png
多发硬脑膜肿块,弥散受限,临床证实为淋巴瘤

四、软脑膜强化模式:

ae466ceb67daece133f0f9cfe5e862af.png
双侧薄层强化常见于感染性脑膜炎(如化脓性,病毒性,真菌性等)和转移瘤;单侧薄层常见于结节病和血管炎;厚层结节状强化常见于转移瘤,淋巴瘤,真菌性脑膜炎和结节病等。
1、感染性脑膜炎:
e321410c2fd238df2cde73e1ffef65d1.png
感染性脑膜炎:CT显示额窦炎和颅骨下小气泡影;T2-FLAIR显示左侧额叶异常信号,双侧脑沟内线样高信号;DWI未见弥散受限;增强扫描可见多发线样强化,额叶明显。

08a2dbf58d106727cb3cb56631974ef8.png CT矢状重建显示额窦后壁小的骨质缺损,提示感染来自额窦炎播散。

0442d7f0a3f9dee69bd12a8dba6884b4.png
软脑膜炎可能并发硬膜下积脓, 脑积水、梗塞和脑室炎等。上图为:2岁,发热,外展麻痹及意识丧失等。桥前池、鞍上池及双侧侧脑室内异常信号,DWI显示弥散受限。最终诊断为:B 型流感嗜血杆菌脑膜炎和脑室炎。
a156d9e56ce16b941f46960fa5e95aa7.png
55岁,免疫功能低下患者。表现为小脑脑沟内线样强化和脑室旁血管周围间隙异常强化,后者提示隐球菌性脑膜炎,部分患者可表现为基底节区假性囊肿。
2、神经结节病:

8ae0720f67c67a8fc9bde90bd376e524.png
以基底部脑膜炎为主要表现,包括鞍上池和小脑上池。脑底部的脑膜炎通常是由结节病、结核病、梅毒或任何其他低毒力慢性肉芽肿过程引起的。
617a0f3f751dd32245d4b7e46bca7301.png
该患者胸部CT提示结节病
0407b4ccbc431f925812561594a96ce0.png
神经结节病:多发软脑膜结节,T2呈相对低信号。

2956eb8e0e7a6c4ea1b8a3393a4fbd7a.png
脊髓神经结节病:软脑膜强化加脊髓周围白质、中央管受累,呈“三叉戟”征。该患者硬脑膜和双侧视神经受累。

3、结核性脑膜炎:同样易累及脑底部

e576730fd2724a23aa56bf692b74303d.png
环池脑膜增厚强化,注意右侧海马和左侧枕叶环状强化灶。
4、转移瘤:伴脑膜厚线结节样强化和脑内病灶时转移瘤可能性更大。同时需要注意颅神经受累情况。强化后T2-FLAIR有时显示效果更佳,主要原因是脑脊液被抑制和血管不显影,脑膜病变对比度更高。
4057feeeef4aaf9f278af33306ed9e77.png
9岁男孩,髓母细胞瘤,软脑膜播散转移,多发线样强化,伴结节状强化。桥脑前缘可见“糖衣”征。

fa94a8578dfecc1c11117ebde8c14800.png
肺癌软脑膜转移,颅神经受累情况。

df3b2cec2fbbbdeea575308094e90e4e.png
强化后T2-FLAIR更好的显示脑桥周围和小脑脑沟内异常强化。

五、脑回样强化:

0c5790352c82ff67e4063406e86cbafb.png
脑回样强化见于:缺血;偏头痛;缺血后再灌注或皮层下层状坏死;可逆性后部脑病综合征PRES;放疗后卒中样偏头痛SMART;脑炎等。1、亚急性梗塞:

518536efbe36f0046cf270f54be061df.png
097ffde96c743ac7dbf9c1fa6e197ae1.png
亚急性期梗死,平扫显示皮层和皮层下T1高信号,提示皮层下层状坏死;T2-FLAIR显示皮层下血管源性水肿;增强扫描脑回样强化,提示再灌注的发生。脑回样强化出现于梗死后2天-2周,可能持续2个月的时间。
皮层下层状坏死出现于梗死后1-2周,持续时间较长,可达两年;该征象提示预后不良。

723712d94034991dbd7fc7161cf9f425.png
这是一个乳腺癌患者,T2-FLAIR显示皮层点状高信号,平扫考虑转移瘤可能,增强扫描显示脑回样强化,提示小灶梗死,后续随访排除了转移瘤的可能。

7dd8eed107e5dab68ff7da95bd52844f.png
eb22e9dfe70912bfc2736116091c0aa9.png COVID感染患者,由于凝血机制障碍导致多发分水岭区梗死,增强扫描可见脑回样强化。

2、放疗后卒中样偏头痛SMART综合征:

这是一种罕见的脑放疗迟发性并发症,其特征是皮质肿胀和脑回样增强。这些患者通常表现为偏头痛,但也有可能出现癫痫发作和轻偏瘫。这是一种自限性疾病。及时诊断对于避免不必要的侵入性检查至关重要。

4e98a9062b73a16184fe050ac842acb6.png
32ae16116dc67e8227c6c90547655b37.png
患者2008年诊断为基底节区胶质瘤,2021年复查未见特殊改变,2022年可见右侧颞叶皮层弥散受限和脑回样强化,提示SMART综合征。
3、单纯疱疹病毒性脑炎:

75474a14ae0f21e0e9ec49c874408d96.png
2a24f770ac1132ab1a88fe5a741f7955.png
13岁,双侧颞、岛叶T2-FLAIR高信号,弥散受限,增强扫描显示岛叶脑回样强化。
边缘叶脑炎通常有类似的影像学表现,但病程倾向慢性病程,而疱疹性脑炎多为急性病程。边缘叶脑炎多为副肿瘤性或自身免疫性。

六、血管或血管周围强化
沿小的血管或血管周围分布,呈点状或线状。可见于一些罕少见疾病,鉴别诊断相对困难。

6f443accf98988eadf50f321fab12672.png
见于:进展性多灶性脑白质病-免疫重建炎症综合征PML-IRIS;抗MOG抗体脑炎;中枢神经系统血管炎;类固醇激素反应性慢性淋巴细胞性炎症伴脑桥血管周围强化症CLIPPERS;血管中心淋巴瘤;放射性坏死;脑炎(如单纯疱疹病毒);转移瘤等。1、PML-IRIS是免疫改善后对JC病毒感染的激活,表现为免疫改善后临床症状反而恶化。

37c39641df4714e229abba7af32bcb05.png
右侧额叶白质高信号,增强扫描显示多发点状(实为线样)强化。
c6bbf8d43cbd4126ecf79b4dc749b31c.png
另一例脑白质高信号内多发点线状强化。
2、CLIPPERS是一种慢性淋巴细胞炎症,脑桥血管周围增强对类固醇有反应。
很难将这种淋巴细胞炎症与淋巴瘤区分开来,这就是为什么一些最初被诊断为CLIPPERS的病例被证明是淋巴瘤的原因。

3bfb922a67e3930474ee8acfedfb3d4d.png 脑干高信号和点线样强化。

fdec73191c7f89d16922bf9dd68a651d.png 患者接收类固醇治疗后强化消退。
3、转移瘤
754a7ef9e81e1c3e755887c52631d701.png 接收免疫治疗的IV期肺癌患者,最初诊断为PML-IRIS,最后证实为转移瘤(沿小血管分布)

七、脑室周围强化

df9cece11f71ef8789ada34a69daf7f0.png
薄层强化见于化脓性室管膜炎;病毒性室管膜炎(如巨细胞病毒CMV)。
厚层强化见于淋巴瘤;室管膜下转移;GBM室管膜播散等。

fb0a0ddc35481f2d0eb86b6c21f01776.png
89d8b7bebf1c50fafb7b2280d96e6530.png
62岁男性,头痛,发热和嗜睡。MRI显示室管膜线样高信号和异常强化,DWI可见弥散受限。这些影像表现没有特异性,当出现颅神经异常强化时,影像学需考虑莱姆脑膜炎可能。临床证实为莱姆脑膜炎,室管膜炎。

dab465469254ba9e8dcd4b8f227fd52f.png
脑脓肿室管膜受侵

4060ce1f552b918fbcc9d4cd1e0dde5b.png
淋巴瘤:CT呈高密度,T2稍低信号,明显厚层强化。

4f6e2ca27f887bed08405ba799da11ed.png
GBM室管膜播散

八、结节强化:

7b34c9d3fb222982771523c3c4aba11c.png
见于:转移瘤,淋巴瘤,多发性硬化和脓毒栓子等。

6e853877e7daeb15b441d764f76010f0.png
3f0fe87579c423e7ff9e3508d23a41c0.png
两例转移瘤:通常位于分水岭区和/或灰白质交界区。

d469508d1b9c967ce1ffd6a775433b5f.png
76岁女性的原发性中枢神经系统淋巴瘤。占所有中枢神经系统肿瘤的6-7%,组织学是B-cel NHL。它们大多位于室膜下、胼胝体和基底神经节中。CT显示高密度,T2W影像显示轻度低信号, 扩散受限。许多情况下水肿非常有限在免疫功能低下患者中,增强可以是环状的。

de8ea6de843e27b58c0168fcdfad8982.png
81岁,巨球蛋白血症。中枢神经系统浸润罕见,称为Bing-Neel综合征

0dfa6674e7883d6ec0925c8758f47ebf.png
脓毒栓子:患有败血症的年轻患者,分水岭区和灰白质交界区多发异常信号,弥散受限,结节状或环状强化。

995acfa84b87ba9da9e771f2fcf0387f.png
多发性硬化:结节或开环状强化提示活动性;可见典型胼胝体病变,脑室旁(道森指)和煎蛋征。

九、光滑环状强化

8360dfb0902f409933f50af1c2a242f6.png
见于:脓肿;低级别胶质瘤;吸收期血肿;多发性硬化;弓形体病;亚急性期梗塞等。
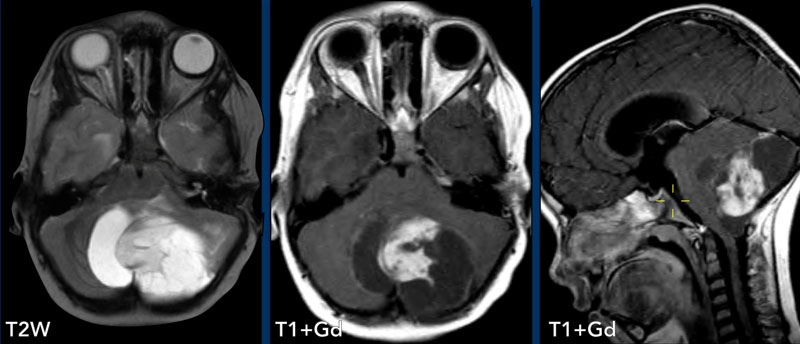
1660478f3a5a44f40f657a9fafeffb8f.png
脓肿:最典型的发现是伴中央弥散受限的外周增强病变。
8258540ab9e2760c89f37af22f7fa193.png
928a9a5d3c9750d8ca4e23f1ead77113.png
T2可见双环征,中央弥散受限,光滑环状强化。
faf92acc7841b74bafd464937a16e663.png
SWI常见脓肿壁低信号;PWI显示rCBV减低。

760b2c92d017d35505a8b9bffac9e012.png
这是一例亚急性梗塞患者,诊断较为困难,环状强化通常由过度灌注引起。

十、不规则环状强化:

e45b2c9f2f65d54e2b2d8d06cc878087.png
见于:转移瘤;GBM;免疫力低下患者的淋巴瘤;血肿吸收期等。
5f63e770789b523222cd39f1cf86a604.png
GBM:中心无弥散受限。
b070d139d40d33d0ca7cab317b16146a.png
GBM
08cce59c006301b8076682291c1b4daf.png
肺癌脑转移:左图为黑血序列,病变显示更清晰。

7d30ff3a90b7669e0473e123bad8eb20.png
多发转移瘤,尽管右侧顶叶病变更像胶质瘤。

6d53674c9d79a62296bab5d0b02e9626.png
脓肿和继发的室管膜炎,中心弥散受限提示诊断。

44c9a67e262c57f5c4e43bc27dd9fdae.png
50岁女性,靶征高度提示弓形虫病。

92d0ed94775215ef66eab490e6ef6125.png
另一例弓形虫病:靶征和边缘性弥散受限。

4a173f4160cf00854c6489b84c4e91e0.png
T1边缘高信号,SWI边缘和中心低信号,DWI中心弥散受限。提示血肿吸收期,手术未见肿瘤。

十一、开环状强化:

c3381a28346099944f9d6e2acc7a80d1.png
脱髓鞘病变的开口多朝外,而脓肿的开口多朝向脑室。

9f2ae985a1065177afcef86867318246.png
多发性硬化:DWI中心无弥散受限,无占位效应,开环强化开口向外。
9b5fe5c0ca3cf8d730353d439549af52.png
f5077eae20d2b7a2656b0a87efef0d2f.png
另一例多发性硬化:可见中央静脉扩张征。虽然开环强化显示开口朝向脑室,但中央静脉扩张征更有说服力。

79f4552b78fd350a5b8b454afca05bc3.png
桥脑的开环强化,提示脱髓鞘病变

e81c62c346822c84fcad4cb5954d223b.png
PML患者可见桥臂的脱髓鞘病变

8a50c00db0c903f4d58dbf25eb884efb.png
继发于额窦炎的脑脓肿,可见开环强化,开口朝向脑室

十二、囊壁结节样强化:

0fbc03a62237200571d24bcb56887f3d.png
见于:毛细胞型星形细胞瘤;血管母细胞瘤;节细胞胶质瘤;多形性黄色星形细胞瘤PXA;转移瘤少见。

f495bc69ad357bc5c7e6df6efd7e7639.png
9岁,毛细胞星形细胞瘤

7b426431a2f2d9dbbb875ac4539c1d06.png
25岁,鞍上囊实性肿块,考虑视交叉毛细胞星形细胞瘤(颅咽管瘤多有钙化)。

733b7c22020bacc8716095a5cb895a97.png
血管母细胞瘤:多见于成人,壁结节多为脑膜侧。多发性肿瘤几乎总是与冯·希佩尔-林道病有关。

d2a1855b7acaad5de5bc3dfddf246337.png
血管母细胞瘤:27岁男性,壁结节位于软脑膜侧

8bf0e508501c38018ab33f6fd5ec57ac.png
节细胞胶质瘤:13岁

2b5f3cb0090c025e238f2c3fea860211.png
GBM,与节细胞胶质瘤类似

a1b66592de68ccc7d640002354c1619e.png
58岁女性,主要鉴别包括:血管母细胞瘤和转移瘤。结节没有位于软脑膜表面,强化不明显,最后证实为神经内分泌肿瘤转移。
回复 关闭延时

使用道具 举报

您需要登录后才可以回帖 登录 | 注册  

本版积分规则

快速回复 返回顶部 返回列表