查看: 6311|回复: 0

[腹盆] 小肠淋巴瘤的影像诊断

[复制链接]

864

主题

373

回帖

299

日志

荣誉会员

积分
7078
QQ
发表于 2024-2-3 16:58:06 | 显示全部楼层 |阅读模式
概述  小肠淋巴瘤分为原发性和继发性两种,原发性小肠淋巴瘤(primary small intestine lymphoma,PSIL)是原发于肠道黏膜固有层和黏膜下层淋巴组织的恶性肿瘤。大多数肠道淋巴瘤是全身性淋巴瘤的一种局部表现。小肠任何部位均可发生,但以淋巴组织丰富的回肠远端发生率最高。

目前肠道原发性淋巴瘤的诊断标准:

( 1)无浅表淋巴结肿大;
( 2)(胸片证实)无纵隔淋巴结肿大;
( 3)外周血无异常及无幼稚细胞;
( 4)肿瘤局限于肠道或仅有邻近淋巴结侵犯;
( 5)无肝脾肿大。

病因 目前尚不清楚,PSIL的发病率在长期慢性乳糜泻(谷蛋白性肠病),免疫缺陷病如AIDS病患者,长期免疫抑制剂治疗及免疫增生性肠病的患者可明显增高,故其发病与机体免疫系统失调有关;亦有认为淋巴瘤与某些病毒(如EBV)感染有关。本病绝大多数属于B淋巴细胞来源,仅部分并发慢性乳糜泻的PSIL可能来自T淋巴细胞。

发病机制近年认为小肠原发性恶性淋巴瘤可分为4种类型:①成人型(西方型);②儿童型;③免疫增生型小肠病④肠病相关型T细胞淋巴瘤。小肠恶性淋巴瘤一般起源于小肠黏膜下淋巴滤泡组织,向肠壁各层浸润。可发生于小肠任何部位,但由于远端小肠有较丰富的淋巴组织,故恶性淋巴瘤多见于回肠(约50%),其次是空肠(30%),十二指肠最少(10%~15%)。

组织学分型  小肠恶性淋巴瘤组织学上分为两类:一类是霍奇金病,另一类是非霍奇金淋巴瘤,小肠淋巴瘤绝大多数属于非霍奇金淋巴瘤。

组织学分为B细胞和T细胞淋巴瘤,B细胞以弥散性大B细胞淋巴瘤(DLBCL)最常见,尚有套细胞淋巴瘤、Burkitt 淋巴瘤、黏膜相关淋巴组织边缘区域淋巴瘤、肠病相关淋巴组织淋巴瘤、滤泡淋巴瘤等多种病理类型。

某些组织亚型与发病部位有一定的相关性 , 如套细胞淋巴瘤多见于末端回肠、空肠和结肠 , 肠道相关细胞淋巴瘤多见于空肠 , 而滤泡淋巴瘤多见于十二指肠, 形成分布上的区域变化。B细胞淋巴瘤中瘤细胞,均表达CD20和CD79a。T细胞淋巴瘤均不同程度地,表达 CD3和 CD43。

临床表现  其首发症状中腹痛和 (或 )腹胀、下消化道出血、发热、腹部包块、腹泻、消瘦,极少继发肠穿孔 , T细胞淋巴瘤的肠穿孔发生率明显高于 B细胞淋巴瘤。

临床分型
(1)动脉瘤型:最常见,沿肠壁黏膜下浸润生长,肠壁肌层及肠壁内神经丛受到损害,使肠壁增厚变硬,失去弹性而呈动脉瘤样扩张,故又叫囊样扩张型淋巴瘤。外观可见肿瘤环绕肠管,管壁僵硬呈皮革状,表面为暗红色或灰白色,黏膜常有多个结节样隆起,管腔呈扩张状态,由于肠壁高度增厚,可形成较大肿块。
(2)浸润缩窄型:亦较常见,浸润肠壁引起增厚僵硬,蠕动消失,肠腔变窄,最后缩窄成很小内径。主要见于网状细胞肉瘤的病例,这种类型往往引起肠梗阻。
(3)溃疡型较少见,溃疡位于浸润性肿瘤的中心部位,常为多发性,病变范围较小,但亦可是围绕肠腔的大溃疡,常易发生出血和穿孔。
(4)息肉型:最少见,主要病变在黏膜下层,呈息肉状突入肠腔内,使黏膜皱襞消失,常为多发性病灶,最易发生肠套叠,故有人亦称之为息肉样肠套叠性淋巴瘤。

临床分期

Ⅰ期:肿瘤局限于肠管,病变为单灶性,无淋巴结转移。
Ⅱ期:肿瘤累及邻近组织。
Ⅲ期:肿瘤累及区域淋巴结。
Ⅳ期:肿瘤广泛性浸润或远处转移。Ⅰ、Ⅱ期手术治疗预后较好。
转移途径小肠恶性淋巴瘤可通过直接蔓延、淋巴道或血道播散。

并发症  贫血、小肠穿孔、肠套叠、肠梗阻是本病的常见并发症;腹泻腹胀;部分病例还有发热、贫血、低蛋白血症及消瘦乏力等

实验室检查
(1)血常规检查约60%病例有小细胞性低色素性贫血表现。
(2)其他血液检查血沉可增快,血清白蛋白可降低。
(3)大便隐血试验 40%~50%病例大便隐血检查可为阳性。
(4)组织病理学检查。

影像表现
X线检查:
X线钡餐检查 尤其是小肠气钡双对比检查是最重要的辅助检查:

(1)弥漫性病变:病变范围广泛,全部小肠都可不正常。小肠正常黏膜皱襞大部分或全部消失,肠腔内可见到无数小的息肉样充盈缺损,由绿豆大至豌豆大,其大小约0.5~1cm直径。肠腔宽窄不一,沿肠壁可见到锯齿状切迹。胃内可见息肉或其他病变;
(2)多发性结节状充盈缺损,病变边缘清楚,黏膜纹紊乱、破坏或消失;
(3)狭窄性病变:中心性狭窄,其边缘僵硬,黏膜皱襞细如线条,狭窄的范围一般较长。偏心性狭窄,狭窄的一侧呈大块状充盈缺损突入肠腔使之变细,病变比较局限。外压性狭窄,肠腔变细并有外压现象,狭窄部位的黏膜皱襞仍然正常,病变范围较长,与正常小肠分界不清。狭窄近端肠腔扩张;
(4)扩张性病变:表现为肠腔不规则扩张,远超过肿瘤的范围,扩张段常与狭窄段相同,黏膜破坏、蠕动消失,肠壁僵硬,呈现动脉瘤样改变,小肠运动力减弱,数小时后,扩张肠管仍可见钡剂潴留;
(5)肠套叠:呈现典型肠套叠X线表现,多由息肉样病变所致,套叠部位多位于小肠远端,最常见为回肠末端。上述征象可交错出现,结合临床常可作出诊断。

CT检查
典型的CT表现:
(1)分叶状软组织肿块,密度均匀,增强呈轻到中度强化。
(2)肠壁阶段性及弥漫性增厚,肠腔扩张。
(3)“夹心面包征”,肿大淋巴结包绕肠系膜血管及周围脂肪。
长(病变范围长)、宽(病变段肠管扩张)多(病变可累及多段肠管)均(CT扫描密度均匀)为其特征。

少见的CT表现:
•   (T细胞淋巴瘤多见)可表现为多灶性 , 肠壁轻中度、斑片状增厚、溃疡及肠腔狭窄;
•   (一般滤泡淋巴瘤多见)多发结节或息肉样表现。

讨论

淋巴瘤多沿黏膜固有层和黏膜下层浸润,当肿瘤侵犯自主神经丛时,肠管可以表现为动脉瘤样扩张,病变肠壁能保持一定的扩张度及柔软度,很少引起肠腔狭窄及肠梗阻,可能与该肿瘤缺乏促纤维结缔组织生长因子,淋巴细胞在肌层的浸润减弱了肠壁的张力有关。病变很少破坏黏膜层,因此黏膜通常完整、连续病变通常不侵犯浆膜层,浆膜外脂肪间隙清晰,肠道周围、肠系膜及腹膜后淋巴结肿大时,与肠道肿块一起包绕肠系膜血管及周围脂肪可形成典型的“汉堡征”或“三明治征”。小肠 T 细胞淋巴瘤病变大多为黏膜病变,通常表现为多灶性,肠壁增厚不明显,大体病理上看,肠壁斑片状增厚、溃疡形成及肠腔狭窄。因此,此类淋巴瘤CT 对肠道 T细胞淋巴瘤的诊断不敏感,不是其最佳检出手段。此外,T细胞淋巴瘤易侵犯血管,引起肿瘤血管或正常血管闭塞,肠壁缺血性坏死而更易于发生穿孔。T细胞淋巴瘤也可表现为肿块改变。由于滤泡淋巴瘤多发小结节(息肉样)病变及T细胞淋巴瘤多灶性、斑片状溃疡样改变,所以CT常不能做出正确诊断,这时胶囊内镜更有优势。

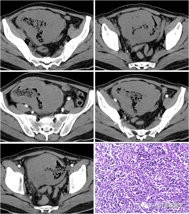
病例1:男,25岁,回盲部Burkitt淋巴瘤

qw2.jpg

CT表现:回盲部肠壁明显环形增厚,轻度均匀强化;血管位于边缘部;病变突破至浆膜层外,周围脂肪层密度增高。

病理:【部分肠管切除标本】回盲部Burkitt淋巴瘤,侵及肠壁全层及肠壁周围组织,近、远侧切缘及环周切缘未查见肿瘤组织,肿瘤距最近切缘11cm,肠系膜淋巴结(1/24)查见肿瘤累及,周围黏膜慢性炎。

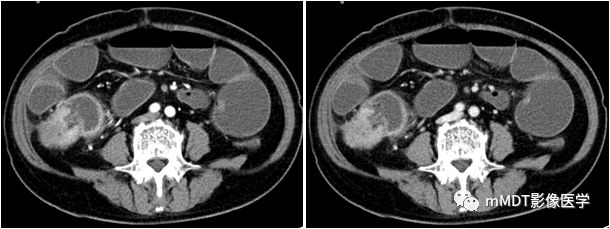
病例2:男,45岁,Burkitt淋巴瘤

qw3.jpg

qw4.jpg

CT表现:十二指肠降段密度较均匀的肿块,轻中度较均匀强化,内部无明显血管,周围境界清楚。

病理:(腹腔)小圆细胞恶性肿瘤,形态符合淋巴瘤,分型考虑Burkitt淋巴瘤,免疫组化结果符合伯基特淋巴瘤。免疫组化结果显示:Bcl-2(-),Bcl-6(+),CD10(+),CD20(+),CD3(-),CD30(-),Ki-67(+接近100%),MUM1(-)。FISH检测结果显示未查见c-myc基因断裂,因此该肿瘤仍分类到弥漫大B细胞淋巴瘤,分子分型倾向于生发中心型。由于Ki-67增殖指数高,不能排除介于Burkitt和弥漫大B细胞淋巴瘤之间的灰区淋巴瘤。

病例3:男,55岁,弥漫大B细胞淋巴瘤
qw5.jpg
CT表现:回盲部肠壁明显增厚,密度均匀,增强后轻度均匀强化,血管基本分布于边缘部,无明显肠梗阻。

病理:【小肠肿物切除标本】弥漫大B细胞淋巴瘤,非生发中心型,肿瘤侵犯肠壁全层,肠管切缘未查见肿瘤组织,肠周淋巴结(20/22)、另送(膀胱壁淋巴结)(1/1)查见肿瘤累及。免疫组化结果:CD20(+),CD79α(+),Bcl-6(+),MUM1(+),CD38(±),ALK(-),CD10(-),CD138(-),CD3(-),CD30(-),CD56(-),Ki-67增殖指数50%,EBER(原位杂交)(-)。

病例4:女,80岁,腹痛半月,弥漫大B细胞淋巴瘤

qw6.jpg

qw7.jpg
CT表现:回盲部肠壁环形明显增厚,中度不均匀强化;肝门部多发肿大淋巴结;肝左叶病变内见血管穿行。

病理:“回盲部”恶性肿瘤,结合免疫组化,首先考虑为弥漫大B细胞恶性淋巴瘤。CD45RO(少数+);CD20(+);CD79α(-);CK(-);CK7(-);CEA(-);

CD30(-);Ki-67(>80%+);CD15(-);CD3(-);。

病例5:男,74岁,右下腹部肿块,弥漫大B细胞淋巴瘤

qw8.jpg
CT表现:回盲部肠壁环状增厚,增强后呈中度至明显强化,伴管腔无张力扩张,病变突破浆膜层,肠梗阻征象不明显。

(回肠末端活检)结合免疫组化,符合弥漫性大B细胞淋巴瘤。CK(-);CK-L(-);Vim(+);Ki-67(约70%-80%);CD3(少数+);CD20(+);CD79α(+);CD45RO(部分+);CEA(-);BCL-2(+);CD23(+);CD5(少量+);CD10(个别+);CyclinD1(少数散在+);Mum-1(+);BCL-6(少数+);CD30(少数+)。

病例6:男,78岁,腹痛2周,发现腹腔占12天,弥漫性大B细胞淋巴瘤
qw9.jpg

qw10.jpg

CT表现:回肠末端见肿块影,密度均匀,增强后轻度均匀强化。

病理:(小肠)弥漫性大B细胞淋巴瘤。

CK-广(-);CD20(++);CD79α(++);CD3(部分+);CD45RO(+);

CD10(+);BCL-6(+);Mum-1(+);CD5(+);EBV(-);

Ki-67(>90%阳性);BCL-2(+);CD34(-);CD117(±)。

病例7:女,39岁,腹痛2月余,淋巴瘤(未分型)

qw11.jpg

qw12.jpg

CT表现:回肠末端肿块,密度均匀,轻度均匀强化,合并肠套叠,肠系膜及腹膜后多发肿大淋巴结,淋巴结信号均匀,轻度强化。

病理:回肠隆起型淋巴瘤,肿块3.5×2.5×1.5cm,侵及全层。肿块外膜面检淋巴结13枚,见其中5枚为淋巴瘤。   

病例8:男,60岁,腹痛,套细胞淋巴瘤

qw13.jpg

CT表现:下段空肠肠壁明显增厚,增厚肠壁强化密度较均匀,上端形成肿块导致肠梗阻,下端肠腔扩张呈“动脉瘤”样。

空肠B细胞性恶性淋巴瘤,结合免疫组化,考虑为套细胞淋巴瘤。

CD20(部分+);CD79α(-);BCL-6(-);Ki-67(+60%);BCL-2(+);

CD5(+);CD10(-);CyclinD1(极少数散在+);CD23(-);CD43(+);Mum-1(-);TdT(-);CD38(部分+);CD138(-);CD45RO(小部分+);CD3(部分+);ALK(-);CK(-);CD21(-);Mpo(-);CD30(-)。

病例9:男,70岁,粘膜相关B细胞淋巴瘤

qw14.jpg

CT表现:回盲部肠壁增厚但不显著,病变侵及浆膜层外,无肠梗阻,临近髂血管旁见显著肿大淋巴结,淋巴结内见境界清楚的坏死。

回盲部B细胞恶性淋巴瘤,结合免疫组化,考虑粘膜相关淋巴瘤。

CD79α(+);CD20(+);CD3(部分+);CD45RO(+);Ki-67(+约5~10%);CD5(+);CD10(-);CyclinD1(-);CK(上皮+);BCL-2(+)。

病例10: 女 69y 体检发现右下腹占位半月余,粘膜相关淋巴瘤。

qw15.jpg

CT表现:回盲部肠壁增厚、不规则溃疡,伴肠腔无张力扩张。

病理:回盲部粘膜相关淋巴瘤,侵及全层,溃疡型。

免疫病理:CD3(部分+);CD5(-);CD10(+);CD45RO(灶+);

CD20(+);HMB45(-);CK广(-);EMA(-);Syn(-);CgA(-)。

病例11:男45岁,粘膜相关T细胞淋巴瘤

qw16.jpg

胃肠及CT表现:回肠肠壁增厚伴溃疡,肠腔见动脉瘤样扩张。

病理:粘膜相关T细胞淋巴瘤。

病例12:男,25岁,间变大细胞淋巴瘤

qw17.jpg

qw18.jpg

CT表现:回肠肠壁明显增厚呈肿块样,伴邻近肠系膜明显肿大淋巴结,中度均匀强化。

病例13,男,74岁,腹痛2小时入院,T细胞淋巴瘤。

qw19.jpg

CT表现:回肠肠壁增厚,伴穿孔。

“回肠”:考虑恶性淋巴瘤,肿块5×2.5cm,侵及深肌层。两切缘正常。肠系膜内检及淋巴结4枚为反应性增生。待免疫组化确诊。

免疫组化结果:左图:CD3(阳);右图:CD20(阳)、Ki-67(阳性约85%)、CD79a(阴)、 EMA(阴)、 CD45RO(阳)、结合HE切片符合“回肠”恶性淋巴瘤(T细胞)。

鉴别诊断

①小肠间质瘤:肠道内外生长,肠道间质瘤体积较大时,容易坏死、囊变,形态不规则,周围肠系膜淋巴结肿大少见。病灶可呈均匀及混杂密度,增强扫描强化程度不一,大多数明显强化。

②小肠癌:病变往往局限,很少能触及包块,易浸润邻近组织结构,MSCT常出现管壁僵硬、管腔狭窄,浆膜层及周围脂肪多受侵,并发肠梗阻常见,可临近器官转移。

③小肠克隆恩病:小肠壁不同程度增厚,双晕征或靶征,肠腔变窄,周围脂肪间隙模糊。往往因局部炎症穿孔形成内瘘,肠系膜肥厚,病变肠襻与正常肠襻分离,肠间距增大,增强扫描可见“梳样征”。随病情发展,可出现肠瘘及腹腔脓肿。X线可有卵石样充盈缺损。在临床表现上,肠淋巴瘤与克罗恩病有以下鉴别点:(1)好发年龄与病程:小肠淋巴瘤发病年龄较晚,起病急、进展迅速,好发于回肠特别是回肠末段,其次是空肠、十二指肠。克罗恩病好发于青壮年男性,起病缓慢、病程较长。回结肠同时受累多见。(2)临床症状:克罗恩病和肠淋巴瘤可表现为腹痛、排便习惯改变、发热等,但克罗恩病常伴有肛周脓肿,合并肠外表现(3)其他表现:病变节段性分布是小肠Crohn病的特征,受累肠壁增厚一般较轻,厚度较均匀规则,累及范围较广泛,肠管狭窄较明显,增大的肠系膜淋巴结一般体积较小。PSIL肠壁增厚常较明显,累及范围相对较局限,肠管狭窄多不明显,肠系膜淋巴结多明显肿大,典型者呈“夹心面包征”。

④小肠结核:一般都有结核病史,有低热、盗汗及血沉加快;不呈阶段性分布,多有肺结核。腹部检查有揉面感,周身情况一般不出现进行性恶化,小肠结核X线见增殖型者表现为单发或多发的局限性肠腔狭窄,边缘较恶性淋巴瘤光滑,近端扩张亦较明显;溃疡型者龛影一般与肠管纵轴垂直,恶性淋巴瘤的溃疡部位不定,龛影较大而不规则。

⑤  小肠淋巴结为主的小儿亦可见于隐球菌,马尔菲尼青霉,亚急性粒细胞白血病,非典型分枝杆菌等;系膜淋巴结多而2cm以下者要与嗜酸细胞胃肠炎,紫癫,SLE肠病,炎性肠病鉴别。有慢性蛋白丢失性肠病者则要与地中海淋巴瘤,小肠淋巴管扩张症,SLE等鉴别。

病例14,女,49岁,小肠间质瘤。

qw20.jpg

CT表现:回肠巨大肿块,坏死明显,与肠腔相通。

病理:粘膜下梭形细胞肿瘤,肿块15×13×6cm,侵及肠壁全层,与肠粘膜包裹、粘连。

免疫组化结果:左图:Vimentin(阳+);右图:CD34(阳)、Dog-1(阳+)、 Ki-67(阳约80%)、 SMA(阳)、CD117(阴)

符合小肠粘膜下胃肠道间质瘤,核分裂像多见,细胞生长活跃,灶性伴坏死,生物学行为高度危险程度。

病例15:女,58岁,回盲部癌。

qw21.jpg

CT表现:回盲部肠壁局限性明显增厚,增强呈明显强化,肠腔狭窄致肠梗阻,病变突破浆膜层,周围脂肪、脏/壁层腹膜受侵。

病理:回盲部癌。

病例16,男,34岁,Crohn病。
qw22.jpg

qw23.jpg

CT表现:青壮年男性,回盲部跨升结肠(回、结肠同时受累)见大范围肠壁增厚,肠腔狭窄,回盲部周围脂肪密度增高伴多个稍增大淋巴结;结肠肝区另见肠壁增厚。

肠镜及病理提示:回盲部及升结肠慢性炎伴溃疡,考虑Crohn病。

病例17,女,76岁,回盲部肠结核。

qw24.jpg

CT表现:回盲部肠壁增厚,伴分层现象。

【内窥镜活检标本】(回盲部)黏膜慢性炎急性活动伴溃疡形成,局部肉芽肿形成,建议临床首先排除结核。病理:黏膜内急慢性炎细胞浸润,局部上皮样细胞聚集,可见隐窝炎及隐窝脓肿。(补充:无明显原因发热6月余,最高40,伴寒战,自服强的松可控制,无腹痛腹泻,Tspot升高)

qw27.jpg

来自于:《mMDT影像医学》公众号。




qw1.jpg
希望疫情早日结束!
回复 关闭延时

使用道具 举报

您需要登录后才可以回帖 登录 | 注册  

本版积分规则

快速回复 返回顶部 返回列表