查看: 801|回复: 0

[中枢神经] 跨中线的脑内占位的影像分析思路

[复制链接]

864

主题

373

回帖

299

日志

荣誉会员

积分
7034
QQ
发表于 2025-10-9 22:51:50 | 显示全部楼层 |阅读模式
本帖最后由 hyc3140 于 2025-10-9 22:55 编辑

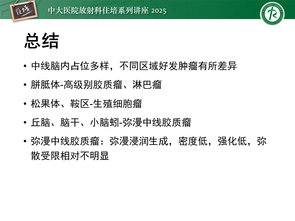
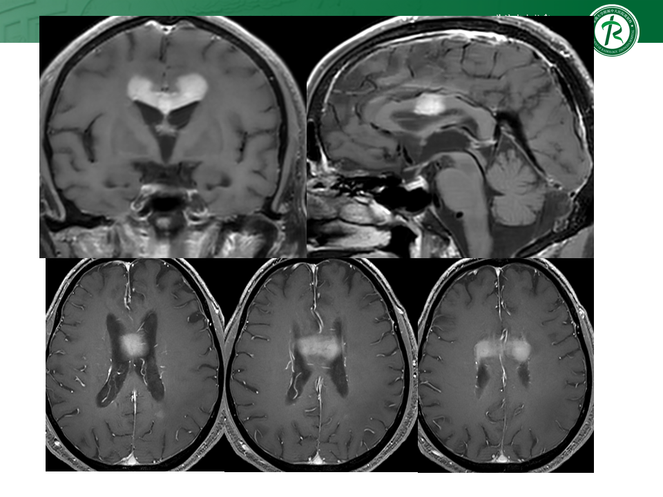
跨中线的脑内占位的影像分析思路
dda4ea374c4a0ec4b6dc10502d61ddd2.png
c61d5e0e336224cefef18d8f280a9d65.png
69ad4679f18bf7d8fa8e8d66a285e113.png
abdca1f69da4e01082a87a5546a1d316.png
0884174beda25b8db54a615f6e1ec332.png
3e8c7b7318b8e01ac75467e58fa3a13e.png
f56c4617602f8fbfa8cb2b01f4438900.png
afcb1b9eea928706c90a215a551d8ad8.png
1ed36222046928f0de973ecf6944ce44.png
15f4d4bed18254bc913297e57ed8ef87.png
d8d953bc92cf0c8680fad263558f09e2.png
874922407fdd061e1e17a425df18e0cf.png
0ebbaadf319799504b61c7b2a452e5b1.png
155a73edd8432c423a47bc9f0e20d3c9.png
08b2f89a493883dfadc52587c7db6109.png
b57f463032422e96ac42f88a31f8709d.png
bb252f01b30feea8e54e9f637ce3ad2b.png
aafb173acf35a3943e53c47ecef70cad.png
81b4a5a1edc07e4d345843bcaf01a3c6.png
da65090450838bee74fb366fb085f398.png
ff67598d759d0de6866dbf1c409b46fd.png
189995e5d71dbd5878c439fc70cae253.png
982574c0308966fbe091cca788897637.png
e45a0ce1f3e473ecb2e6fa0e87333dee.png
1d36ad0918f66491cf437d980930c0a5.png
1887a8288c1361eff94413248fa05983.png
ba1210bf576ebccf9680d6ca1c077ce0.png
a744985bcd0cd040ae33a2aaec7007c1.png
3f717ecae8df0478af58b1494acc2913.png
60a07b136ff47bdc4ae5fba39bff30ef.png
666bb1c6325aa131147d3fd344c47963.png
b8b9bc854602370dd1d0a9d9e5645572.png
5a96990f20dbd92064c5221d510864ff.png
09716c96b1b790f3a582040a54831a4a.png
e0c04608e8ded0dc730790421979e480.png
fb11023f7897a4ae9aed600b13f7a7e7.png
28a3895f44b17a45cf001e8819de23ad.png
81a57e1e3c4ce7f4d36533a0ce328fb1.png
e586ed01f57d951ed23f0929e84c72d9.png
a7c63200c3852f9327b9b0ecd46410cf.png
1051322453cf96b0eb9a9841be2efa93.png
30f304f045572965a01700b5beffe28b.png
1f6a21cead58332161495c658b094a1b.png
c8c9441ed9e1426efeae336433fce165.png
来源:东南大学附属中大医院放射科
回复 关闭延时

使用道具 举报

您需要登录后才可以回帖 登录 | 注册  

本版积分规则

快速回复 返回顶部 返回列表